Прыщи на животе: лечение, в зависимости от болезни

Прыщи на животе: лечение, в зависимости от болезни

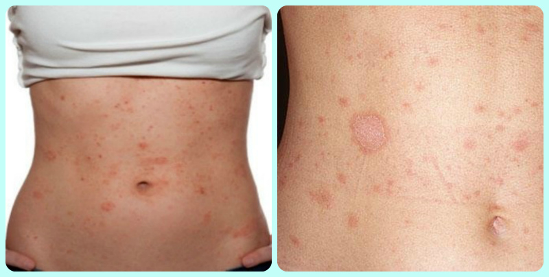
Прыщи на животе могут появиться у людей любого возраста и пола. Причины появления высыпаний на животе разнообразны, и могут носить как инфекционный, так и неинфекционных характер.

Причины появления прыщей на животе

Людям, у которых появились прыщи на животе, следует знать, что основная причина их появления — инфекционные заболевания. Если у вас появились прыщи на животе, и вы связываете их с возможными заболеваниями, вот описание некоторых из них:

  • Заболевания, передающиеся половым путем (ЗППП) могут стать причиной появления прыщей на животе. Например, при такой болезни, как вторичный сифилис. Проявления прыщей при этой болезни специфичны: выглядящие как узелки или мелкие папулы высыпания на животе совершенно не болят и не чешутся. Через одну-две недели начинаются повторные высыпания не только на животе, но и на верхней части туловища. При повторном высыпании прыщи менее выражены и склонны к слиянию. При малейшем подозрении на сифилис, ни в коем случае не стоит тянуть с походом к врачу, а тем более нельзя заниматься самолечением. Сифилис — это очень серьезное заболевание, вызывающее разрушение не только внутренних органов, но и головного мозга.
  • Гнойные прыщи внизу живота, также требуют срочной консультации дерматолога, потому что это могут быть проявления полового герпеса или другого не менее серьезного заболевания.
  • Красные прыщи на животе могут быть проявлением аллергической реакции, вызванной как внутренними, так и внешними раздражителями (например, стиральный порошок, пряжка ремня, гель для душа и т.д). Внутренними раздражителями, чаще всего, являются продукты питания, вызывающие аллергию, а также медикаменты. Сыпь на животе при аллергии может также напоминать крапивницу, то есть прыщи стремительно распространяются, «растекаются» в красноватые пятна или сливаются между собой. Если вы наблюдаете такое быстрое развитие сыпи —  немедленно вызывайте скорую помощь.
  • Всевозможные инфекционные заболевания, передающиеся воздушно-капельным путём — частая причина появления прыщей. Особенно опасны эти болезни при отсутствии прививочного иммунитета у заразившихся. Если разного рода прыщи на животе сопровождаются резким повышением температуры, катаральными явлениями (кашель, чиханье), головной болью и ломотой в суставах — это также повод для немедленного обращения за врачебной помощью.
  • Прыщи на животе у взрослых, также могут быть симптомом опоясывающего лишая. В этом случае, в месте высыпания возникает сильная болезненность.
  • Кожные заболевания весьма разнообразны в своем проявлении. Это может быть дерматит, экзема, контагиозный моллюск и другие кожные болезни.
  • Чесоточный клещ (чесотка), начинаясь обычно с кожи между пальцами рук и ног, может в дальнейшем, поражать любые участки тела. При чесотке сыпь на животе сначала похожа на мелкие папулы, одиночные и множественные, склонные к слиянию. При дальнейшем развитии болезни сыпь становится везикулярной (то есть, похожей на мелкие пузырьки). Для чесотки характерен сильный зуд в местах высыпаний. При расчесывании в местах высыпаний могут образоваться гнойничковые элементы.
  • Прыщи на животе у ребенка

    Прыщи на животе у ребенка также, как и у взрослых, могут появляться по разным причинам.

    Из неинфекционных причин самыми распространенными являются все те же, аллергические реакции (у детей вероятность появления крапивницы во много раз выше), а также банальная «потница».

    Потница может привести к образованию мелких красных прыщей на животе у ребенка, впрочем, как на любых других участках тела.

    Очень часто, прыщи на животе у ребенка, могут быть следствием таких инфекционных заболеваний как:

  • Ветрянка. Проявления ветряной оспы часто сопровождаются появлением на теле мелких прыщиков-пузырьков красноватых у основания. Локализация высыпаний детей не строгая: обычно они сначала появляются на верхней части тела, но иногда могут начаться и с живота.
  • Корь. Как правило, при этом заболевании высыпания начинаются с лица, постепенно опускаясь ниже.
  • Краснуха. При этой болезни, также характерно постепенное распространение прыщей на теле сверху вниз, однако, дети могут перенести и легкую форму краснухи, с неяркими красными прыщиками на разных частях тела, в том числе и на животе.
  • Все эти заболевания протекают, как правило, с повышением температуры, увеличением лимфоузлов и с другими характерными признаками, что помогает их отличить от других заболеваний, вызывающих появление сыпи на животе.

    Прыщи на животе у женщин

    Прыщи на животе у женщин чаще всего связаны с колебаниями гормонального фона, происходящего, например, по время беременности. Прыщи при беременности могут появиться и на животе. Обычное это мелкая красноватая сыпь, иногда сопровождающаяся зудом.

    Прыщи на животе беременной, обычно, проходят сразу после того, как ребенок появляется на свет, или спустя несколько месяцев после этого. Как и у детей, прыщи на животе женщины могут быть вызваны краснухой (что опасно для беременных) и другими инфекционными заболеваниями, особенно если женщина не была от них привита или не переболела ими в детстве.

    Кроме того, женщины не застрахованы от таких болезней как чесотка, контагиозный моллюск и заболеваний передающихся половым путем.

    Все эти болезни могут сопровождаться появлением прыщиков в области живота.

    Прыщи на животе у мужчин

    Прыщи на животе у мужчин в целом появляются по тем же причинам, что и у женщин, включая половые инфекции. Кроме того, у мужчин в подростковом и юношеском возрасте прыщи на животе иногда являются признаком гормональной нестабильности.

    Представители сильного пола, к сожалению, уделяют не так много внимания личной гигиене, как женщины, поэтому прыщи на разных частях тела — следствие закупорки пор на грязной коже.

    К тому же, у мужчин обычно есть волосы на нижней части живота, поэтому они больше подвержены воспалению волосяных фолликул, что вызывает появление красных и белых прыщей на животе.

    Мужчины чаще носят ремни, поэтому сыпь на животе может быть вызвана также и механическим натиранием, и избыточным выделением пота под плотной тканью.

    Как избавиться от прыщей на животе

    Поскольку, как стало ясно из вышеописанного, инфекционные заболевания — одна из самых частых причин появления прыщей на животе, то лучше всего, сразу после их появления обратиться за помощью врачу.

    Визит к дерматологу — это единственная «универсальная» рекомендация в этом случае. Дальнейшее лечение будет зависеть от того, какой диагноз вам поставит врач.

    При каждом заболевании лечение сыпи на животе будет иметь свои особенности. Например:

  • Аллергическую сыпь на животе лечат антигистаминными (противоаллергическими) препаратами. Ими могут быть таблетки, сиропы и мази. Главное же в лечении любого вида аллергии — установление аллергена и устранение контакта с ним.
  • Дерматологические заболевания, при которых возможно появление прыщей на животе (таких, например, как экзема или дерматит) лечится, в зависимости от стадии заболевания, лекарственными препаратами, настоями, лекарственными смесями и т. п.
  • Чесотка, которую диагностировали у пациента с прыщами в области живота, предполагает обязательную изоляцию больного, дезинфекцию помещений, одежды и бытовых предметов, и лечение кожных проявлений специальными мазями.
  • Инфекционные заболевания, в зависимости от того, чем они вызваны и как проявляются, лечатся при помощи иммуностимулирующих препаратов и жаропонижающих средств, а также противовирусными и антибактериальными препаратами.
  • Гнойные прыщи, появившиеся на животе без какой-либо выявленной причины – повод обратиться к иммунологу, поскольку такие высыпания могут свидетельствовать об иммунных проблемах.
  • Если прыщи на животе чешутся, то справиться с зудом помогут растирания пораженных мест яблочным уксусом, или отваром лекарственной травы Вероники Красивой (принимать по половине стакана отвара в сутки).

    Налаживание правильного питания — одна из основных рекомендаций, при любых высыпания на коже. И хотя прямая связь появления прыщей на животе с состоянием кишечника не выявлена, многие дерматологи считают, что корректировка рациона необходима и в этом случае.

    Профилактика появления прыщей на животе

    Чтобы не появились прыщи на животе, необходимо, прежде всего, соблюдать правила личной гигиены: тщательно мыть тело (особенно в жаркие дни), используя качественные очищающие гели для принятия душа. В жаркие дни принимать душ необходимо два раза в день.

    Если у вас есть предрасположенность к аллергии, то стоит соблюдать большую осторожность, вводя в рацион новые продукты. Также, аллергикам лучше всего использовать уже проверенные марки мыла и гелей для душа, на которые у них точно нет аллергической реакции. Летом лучше всего носить одежду из натуральных, «дышащих» тканей.

    А чтобы избежать возможных инфекций, необходимо очень тщательно мыть руки.

    Прыщи на животе, о чем могут сигнализировать?

    Прыщи на животе: лечение, в зависимости от болезни

    Высыпания, приносящие дискомфорт, возникают в виде всевозможных прыщей, на любой части тела. Причин развития такого состояния множество: от инфекционного поражения до несоблюдения правил личной гигиены. Чаще всего они наблюдаются на лице, шее, а также на спине.

    Сыпь на спине – не самая популярная проблема, но очень серьезная, она может сигнализировать о различных заболеваниях и других внутренних процессах. Все без исключения высыпания вызывают сильный дискомфорт и неприятные ощущения, поэтому люди пытаются поскорее с ними разобраться. Но перед этим стоит точно определить причину и подобрать правильный метод.

    Причины появления сыпи

    Прыщи на животе способны появляться у представителей обоих полов, независимо от возраста. В 70% случаев причинами являются патологические процессы. Однако, кроме того, сыпь на животе может возникнуть в результате воздействия иных факторов.

    Наиболее распространенные причины образования прыщей на животе:

    • Гормональный сбой. Чрезмерное или неполное гормональное выделение вызывает сбой в работе кожных секретов. В результате, высыпания могут появиться на всем теле, включая живот.
    • Беременность. Высыпания на животе в результате физиологических изменений наблюдается у 8% женщин.
    • Инфекционные заболевания. Это большая группа болезней, симптомами которой являются различные прыщи.
    • Дерматиты различной этимологии.
    • Опоясывающий лишай.
    • Потница, в результате несоблюдения правил ухода за малышом и нечастая смена подгузника.
    • Аллергические реакции на продукты питания, косметические и моющие средства и синтетические ткани.
    • Заболевания, передающиеся половым путем.

    В результате воздействия таких факторов, на животе могут появиться прыщи различной формы: мелкие, красные, пятнообразные, угри и другие высыпания.

    Общие симптомы прыщей на животе

    Очень трудно определить точные признаки, они отличаются в зависимости от причин развития заболевания. На животе можно наблюдать самые различные высыпания, которые отличаются этимологией. Чаще всего они проявляют такие симптомы:

    • Покраснения. Такой симптом наблюдается в самом очаге поражение, часто сопровождается отечностью. Иногда отечность присутствует постоянно, а в других случаях заметна только на начальных стадиях высыпаний.
    • Зуд. Этот признак проявляется не всегда, чаще, когда прыщи имеют инфекционное или аллергическое происхождение.
    • Наблюдается развитие. Сначала прыщи небольших размеров, затем увеличиваются в размере, появляется гной и наблюдаются угри. Особенно это можно заметить при аллергии.
    • Болевой синдром. Боль возникает из-за поражения нервных окончаний. Часто это наблюдается при опоясывающем лишае. Боль имеет тянущий характер и постоянно меняет свою интенсивность.
    • Дискомфорт. Все без исключения прыщи на животе вызывают сильный дискомфорт, они постоянно раздражаются. Потоотделение, тесная одежда, косметические средства могут вызвать усиленное поражение и развитие симптома.

    Заболевания, вызвавшие прыщи на животе

    В большинстве случаев прыщи на теле, включая зону живота, появляются в результате инфекционного поражения. Такие заболевания обычно имеют ряд внешних и внутренних симптомов, высыпания, среди которых, занимают почетное место.

    Самые распространенные заболевания, которые могут вызвать прыщи на животе:

    • Вирусные инфекции: корь, скарлатина, оспа и другие. При этих болезнях прыщи имеют мелкую форму и наблюдаются по всему телу. Дополнительно повышается температура, наблюдается ломота в теле, появляется кашель и чувствуется общая слабость.
    • Опоясывающий лишай. Это очень болезненная патология, когда прыщи в виде водянистых папул наблюдаются вокруг талии, на бедрах и ягодицах.
    • Заболевания кожи: экзема, дерматиты и другие болезни. Обычно такие патологии вызывают сухие, зудящие прыщи. Дополнительные симптомы проявляются в зависимости от рода заболеваний.
    • Чесотка. Чесоточный клещ также поражает все тело. Прыщи на животе имеют вид мелких папул, которые сильно зудят. При развитии заболевания, папулы сливаются в более крупные.
    • Половые заболевания. Прыщи на животе и ягодицах могут вызвать разные заболевания. Самые распространенные из них – это половой герпес и инфекционное заболевание – сифилис. Высыпания появляются в форме пузырьков и очень сильно зудят.

    Если прыщи возникли в результате развития таких заболевания, то лечение стоит начинать с комплексной терапии по исключению причин. Важно понимать, что эти патологии, особенно инфекционного характера, очень быстро развиваются и, при отсутствии лечения, могут вызывать различные осложнения.

    Что делать, если на животе появились прыщи?

    Самостоятельно заниматься лечением такого симптома очень опасно. Люди в домашних условиях пытаются подобрать универсальные средства, при этом, не обращая внимания на причины происхождения прыщей.

    Специалисты рекомендуют при появлении прыщей на животе обратиться к врачу. Если причина высыпаний – это бытовые факторы, то он даст общие рекомендации. Если же есть инфекционное или другие заболевание, то специалист назначит терапию.

    Существует только несколько общих рекомендаций для избавления от прыщей:

    • Соблюдать правила личной гигиены, пользоваться только качественными и гиипоаллергенными косметическими средствами, регулярно принимать душ;
    • По минимуму носить синтетические и ненатуральные ткани;
    • После проезда в общественном транспорте, или длительном пребывании в общественных местах, необходимо мыть руки с мылом;
    • Бывает, что основная причина прыщиков — аллергическая реакция, то в лечении нужно следовать таким правилам, во-первых, исключить влияние аллергена, во-вторых, подобрать антигистаминный препарат, можно пользоваться местными мазями и средствами в форме таблеток;
    • Болезни дерматологического характера требуют терапию исключительно специализированными средствами (курс и препарат назначает врач после осмотра), это касается и инфекционных, и половых заболеваний, если патологии имеют вирусную этимологию, то стараться ограничить контакты с людьми, чтобы не стать очагом заражения;
    • Гнойные образования обычно сигнализируют о пониженном уровне иммунитета, поэтому в таком случае необходимо обратиться не только к дерматологу, но и к иммунологу.

    Прыщи в области живота могут возникнуть практически у всех и в любом возрасте. Чтобы не навредить, для начала необходимо определить точную этимологию и только после этого начинать специализированное лечение.

    Прыщи на животе у женщин

    Прыщи на животе: лечение, в зависимости от болезни

    Некоторые люди не обращают внимания на сыпь и прыщи, которые появляются на животе. Это очень большая ошибка, так как такие образования могут свидетельствовать о заболеваниях, которые, если их не начать лечить вовремя, могут нанести значительный вред здоровью человека.

    Главной проблемой, которая появляется при диагностировании прыщей на животе, стает именно выявление истинной причины их появления. Иногда человек даже не подозревает, что именно стало предпосылкой.

    Таких причин может быть много: от кори и оспы – и до сифилиса.

    Самым правильным решением будет своевременно обратиться к врачу, который сможет правильно поставить диагноз пациенту. Самолечение редко дает положительный результат, скорее – наоборот.

    Причины появления прыщей на животе

    Если прыщи появляются на животе, то это неспроста. Потому что живот — это совсем не то место, где они могут образоваться без всякой на то причины.

    Прыщи на животе могут быть следствием некоторых инфекционных заболеваний. К ним могут относиться описанные ниже.

  • Корь. Если человек болён корью, то, как правило, прыщи сначала появятся на лице, а уж потом опустятся и до уровня живота. Но прыщи это ещё не все симптомы. Они обычно сопровождаются сильным кашлем, насморком и слезотечением.
    • Ветряная оспа. Ветряная оспа это такое инфекционное заболевание, которое поражает все кожные покровы человека. Как правило, на животе и других частях тела образуются мелкие пузырьки. Сначала они появляются только на лице и животе (то есть на верхней части туловища), а уж потом спускаются и ниже. Такие прыщики будут отличаться от обычных тем, что они имеют красное основание.
    • Краснуха. Такая болезнь, как краснуха тоже сопровождается появлением прыщей на животе и всем теле (сверху вниз). У таких больных наблюдаются не только прыщи, но и увеличение лимфатических узлов.

    К вышеописанным заболеваниям можно добавить и такую неприятную и опасную болезнь как сифилис (вторичный сифилис). При таком заболевании на коже живота будут появляться прыщики в виде папул или узелков. Эти прыщики появляются и исчезают абсолютно самостоятельно и при этом не приносят никакого дискомфорта.

    После первого исчезновения такие папулы появляются заново на верхней части туловища и могут быть менее выраженными. В этой ситуации строго-настрого запрещено заниматься каким бы то ни было самолечением.

    Сифилис должен диагностировать и лечить только опытный квалифицированный специалист, а если запустить этот процесс, то он может поразить не только состояние половых органов, но и деятельность головного мозга.

    Если человек обнаружил на себе гнойные прыщи. которые локализуются внизу живота, то это тоже сигнал того, что срочно нужно обратиться к врачу-дерматологу. Это может быть простым кожным заболеванием, но лучше лечить его в лёгкой форме, чем уже с запущенной ситуацией.

    Иногда причинами появления прыщей на животе стают следующие факторы:

    • приём медикаментов;
    • синтетическая одежда.

    Порою, прыщи на животе – это проявление аллергической реакции. Такая реакция может возникнуть в ответ на продукты питания, на внешние раздражители, одежду, психологические потрясения или беременность. Чтобы избавится от них, нужно всего-навсего не контактировать с раздражителем (не носить одежду, которая вызывает дерматит или исключить из рациона некоторые продукты питания).

    Если прыщи на животе имеют аллергического происхождения, то они будут напоминать крапивницу.

    Прыщи на животе: что делать

    Универсальной рекомендации по поводу того, как следует лечить прыщи на животе, попросту не существует. Все очень сильно зависит от того, какая причина возникновения этих самых прыщей.

    Очень часто люди принимаются за самолечение, так и до конца не выяснив, что же стало причиной появления этих прыщей.

    Единственной «универсальной» рекомендацией может считаться визит к врачу после того, как было замечено обилие прыщей на животе.

    Вот несколько рекомендаций по лечению прыщей на животе:

  • Если причиной появления стала аллергия – нужно пользоваться противоаллергическими препаратами. Это могут быть мази и таблетки. Не следует забывать и об устранении появления аллергена (продуктов, животного и т. д.).
    • Если причиной сыпи стало дерматологическое заболевание – экзема или дерматит, то тоже следует воспользоваться мазями и таблетками. В зависимости от запущенности случая, врач может назначить дополнительные процедуры – приём настоев, лекарственных смесей и т. д.
    • Если виной чесоточный клещ – нужно обязательно изолировать больного, продезинфицировать помещение, выкинуть все его гигиенические принадлежности и лечить больного мазями. Очень важно ограничить контакт больного со здоровыми людьми. Степень заразности чесотки очень высокая.
    • Инфекционное заболевание, которое стало причиной сыпи, должно лечиться антибиотиками, иммуностимулирующими препаратами и жаропонижающими.
    • Если на животе были замечены гнойники, то, кроме обращения к дерматологу, стоит обратиться к иммунологу. Такие прыщи могут свидетельствовать об иммунных нарушениях или стать предпосылкой для более серьёзного заболевания.
    • Корь и краснуха лечатся обычным путём. Главное – не удалять такие прыщи, ведь после них останутся шрамы. Также существует высокий риск занести инфекцию в рану.

    Немаловажным будет и правильно питаться. Хотя кишечник очень редко стает причиной прыщей и сыпи именно на животе, дерматологи склонны считать, что плохой рацион тоже влияет на их появление.

    Такие болезни время не лечит. В любом случае стоит практически мгновенно обратиться к врачу за консультацией и не прибегать к самолечению.

    Если неправильно начать лечить прыщи на животе, можно только усложнить ситуацию. Нелогично будет лечить сыпь, которая вызвана аллергией, мазью от чесотки. Это, как минимум, не принесёт никакого эффекта, а в крайних случаях – только усугубит ситуацию.

    Прыщи на теле – о чем говорят высыпания на разных участках кожи?

    Прыщи на животе: лечение, в зависимости от болезни

    Высыпания далеко не всегда поражают область лица, их значительное количество может образоваться на любом участке туловища. Прыщи на теле не только придают коже неэстетичный вид, но также могут вызывать боль, зуд, выступать проявлением разнообразных патологий. Поговорим о том, какие бывают прыщи, почему они появляются, и как от них избавиться.

    Виды прыщей на теле

    Невзирая на то, что кожный покров на теле более плотный и обладает более мощными по сравнению с эпидермисом лица защитными функциями, нередко на нем формируются воспалительные элементы.

    Это могут быть как первичные образования на участках здорового эпидермиса, так и вторичные – появляющиеся на месте первичных при отсутствии лечения или под действием других негативных факторов.

    При этом прыщи на коже различаются по внешним признакам: форма, размер, окраска, наличие содержимого, количество. Рассмотрим некоторые разновидности прыщей.

    Водянистые прыщи на теле

    Данные образования имеют вид возвышающихся над кожей полушаровидных пузырьков, располагающихся в тканях эпидермиса и содержащих внутри прозрачную или слегка мутноватую жидкость. Окраска их может иметь как телесной, так и красной, розоватой. Водяные прыщи на теле могут свидетельствовать о следующих патологиях:

  • Чесотка – кожное заболевание, провоцируемое чесоточным клещом, которое вначале проявляется зудящими высыпаниями в виде узелков, на следующей стадии превращающимися в пузырьки, часто осложняющиеся бактериальной инфекцией.
  • Опоясывающий лишай – патология, вызываемая активацией в организме вируса варицелла-зостер и проявляющаяся множественными прыщами та теле с одной стороны по ходу нервного ствола, предшествуют которым розовые отечные пятна.
  • Пузырчатка – редкое тяжелое аутоиммунное заболевание, симптомом которого является болезненная водянистая сыпь разной величины по всему туловищу, быстро вскрывающаяся и оставляющая после себя эрозии.
  • Дисгидроз (водяница) – множественные прыщи на теле с прозрачным светлым содержимым, которые чешутся, вскрываются с образованием болезненных трещинок, появление которых связано с разладами в эндокринной, нервной, пищеварительной система.
  • Фотодерматит – реакция кожных тканей на солнечное излучение, проявляющаяся водянистыми прыщиками разного размера на фоне покраснения, часто сопровождаемая сильным жжением и зудом.
  • Красные прыщи на теле

    Прыщи на теле, характеризующиеся красной окраской, могут иметь вид узелков или пятен разного размера.

    Для того, чтобы определить происхождение такой сыпи, важно принимать во внимание, под влиянием каких факторов находился организм в последнее время, какие пищевые продукты и медикаменты принимались, какие еще имеются сопутствующие симптомы. В большинстве случаев этот вид высыпаний связан со следующими болезнями:

  • Чесотка – если красные прыщи на теле чешутся, и интенсивность зуда усиливается в вечернее и ночное время, это может свидетельствовать о поражении эпидермиса чесоточным клещом, заражение которым чаще происходит при тесном прямом контакте с больным человеком.
  • Аллергия – реакция на внешние и внутренние раздражители (пищевые продукты, медикаменты, пыль, синтетические ткани, средства косметологии и бытовой химии, бижутерия и пр.).
  • Сифилис – одним из проявлений этого венерического заболевания выступает хаотично расположенная на туловище безболезненная сыпь, которая на разных стадиях может иметь вид красноватых пятен, мелких розовато-красных или синеватых бугорков, плотных багровых бугров.
  • Бактериальный менингит – при воспалении оболочек головного и спинного мозга, вызванном менингококками, на ранней стадии может появиться ярко-красная узелковая сыпь, выступающая над кожей и не исчезающая при надавливании.
  • Инфекционный эндокардит – эта болезнь затрагивает ткани сердечного клапана и в качестве одного из проявлений может иметь красные прыщи, не бледнеющие при нажатии, впоследствии приобретающие коричневатый оттенок.
  • Геморрагический васкулит – асептическое воспаление стенок сосудов кожи с множественным микротромбообразованием, что может являться осложнением некоторых микробных патологий.
  • «Детские» инфекционные заболевания – корь, краснуха, скарлатина, ветрянка.
  • Белые прыщи на теле

    Зачастую высыпания, имеющие белую или беловато-желтую «головку» и характеризуемые болезненностью, – это гнойные прыщи на теле. Такие элементы появляются при инфекционно-воспалительных процессах в тканях, они заполнены мутным экссудатом, выходящим наружу при надавливании. Возникновение гнойничковых прыщиков может быть обусловлено такими основными факторами:

  • Присоединение вторичной бактериальной инфекции при травмировании или ненадлежащем уходе за уже имеющимися первичными высыпаниями (гной образуется в результате жизнедеятельности патогенных микроорганизмов).
  • Фолликулит – воспаление волосяного фолликула с образованием красного пятнышка или узелка вокруг волосинки на коже, из которого вскоре образуется гнойный прыщик.
  • Фурункул – гнойно-воспалительное образование, охватывающее волосяной Фолликул, сальную железу и участок соединительной ткани, обусловленное зачастую деятельностью золотистого стафилококка.
  • Акне (угревые высыпания) – прыщи на теле, появление которых в большей степени связано с избыточным жирообразованием кожных сальных желез и нарушением процесса ороговения эпителия.
  • Большие прыщи на теле

    Крупные высыпания нередко бывают глубокими, затрагивающими не только эпидермис, но и нижние слои кожи. Такие прыщи на теле болезненные, ткани вокруг характеризуются отечностью, покраснением.

    К ним требуется проявлять особую внимательность, ведь при инфекционной природе таких прыщей велика вероятность распространения патогенных микробов по организму.

    После исчезновения подобных элементов могут оставаться рубцы, участки гиперпигментации.

    Мелкие прыщи на теле

    Появившиеся маленькие бугорки или пятнышки могут доставлять не меньше дискомфорта, чем крупные подкожные образования, т.к. нередко мелкие прыщи на теле чешутся, вызывают сухость или мокнутие тканей, опасны инфицированием с развитием гнойных процессов. Кроме этого, мелкая сыпь зачастую выступает проявлением опасных и заразных заболеваний, требующих срочного лечения.

    Прыщи на теле – причины какой болезни?

    Далеко не всегда посредством одного лишь визуального осмотра возможно определить, почему на теле появляются прыщи. Во многих случаях для этого требуется провести дополнительные исследования, к числу которых относятся:

    • общий анализ крови и мочи;
    • биохимический анализ крови;
    • анализ крови на половые гормоны, гормоны щитовидной железы;
    • ультразвуковое исследование органов пищеварения;
    • анализ мазка из горла;
    • аллергопробы и пр.

    Распространенными виновниками прыщей на теле являются:

    • изменения гормонального фона;
    • нарушения пищеварительных и обменных процессов;
    • психологические и неврологические проблемы;
    • аллергены;
    • отсутствие должной гигиены;
    • ношение некачественной синтетической одежды;
    • инфекции.

    Прыщи по всему телу – причины

    Сыпь у взрослых, рассредоточенная по всей поверхности тела, может говорить как об инфекционных, так и о неинфекционных патологиях: аллергия, заболевания крови и сосудов, острые и хронические инфекционные заболевания, передающиеся контактным, воздушно-капельным, половым путем. На патологии, провоцируемые микроорганизмами (бактериями, вирусами, грибками), во многих случаях указывают общеинтоксикационные симптомы: увеличение температуры тела, слабость, головная боль, тошнота.

    У некоторых людей наблюдаются так называемые простудные прыщи на теле – воспалительные ярко-красные болезненные высыпания, затрагивающие разные области туловища, связанные с переохлаждением организма, снижением иммунной защиты в осенне-зимний период. К появлению таких прыщиков склонны спортсмены, которые после интенсивных тренировок принимают холодный душ.

    Прыщи на ногах

    Если сыпь локализуется на нижних конечностях, вероятная причина может связываться с аллергическими проявлениями.

    Спровоцировать неадекватную реакцию способно использование некачественного стирального порошка, ношение капроновых колгот, средства для депиляции.

    Нередко прыщи на ногах у женщин образуются при травмировании кожных покровов во время бритья, при врастании волос. Если высыпания имеются на стопах, в межпальцевых зонах, это может свидетельствовать о дисгидрозе, грибковом поражении.

    Прыщи на руках

    У людей с чувствительной кожей аллергия в виде прыщей на теле, особенно на верхних конечностях, – частое явление.

    В большинстве случаев это вызывается контактом со средствами бытовой химии, некоторыми металлами, провоцируется воздействием низких температур, сухого воздуха.

    Локализация сыпи ладонях характерна для сифилиса, на кистях рук и между пальцами – для экземы (множественные высыпания при этом склонны к слиянию).

    Прыщи на животе

    Если прыщи на теле чешутся, сосредотачиваясь в области живота, это может являться проявлением чесотки, дерматоза, псориаза, герпесвирусной инфекции.

    Также такие прыщики частенько свидетельствуют об аллергическом дерматите, вызванном влиянием пищевых продуктов, лекарственных препаратов, внешних раздражителей.

    У людей, склонных к полноте, прыщики на животе нередко появляются в жаркое время года при чрезмерном потоотделении под стесняющей одеждой.

    Прыщи на груди и спине

    В верхней части туловища могут локализироваться так называемые гормональные прыщи – угревые высыпания, связанные с дисбалансом половых гормонов в организме.

    У некоторых женщин склонность к таким высыпаниям наблюдается практически на протяжении всей жизни, причем обострения связаны с менструальным циклом.

    Еще подобные образования в области спины и грудной клетки возможны при переохлаждении, опоясывающем герпесе, псориазе.

    Как избавиться от прыщей на теле?

    Так как прыщи на теле появляются в результате огромного количества разнообразных факторов, многие из которых можно выявить лишь при тщательном специфическом обследовании, желательно при обнаружении любых высыпаний обратиться к врачу. Кроме этого, если сыпь имеет инфекционное происхождение, при ненадлежащей терапии увеличивается риск заражения близких и окружающих.

    В некоторых случаях лечение прыщей вообще может не потребоваться – сыпь исчезнет самопроизвольно после излечения основного заболевания (например, в случае кори, ветряной оспы, краснухи).

    Если прыщики возникают в результате аллергических реакций, важно посредством кожных проб определить раздражитель и ограничить контакт с ним, в результате чего высыпания перестанут появляться.

    Огромную роль при этом играет соблюдение здоровой гипоаллергенной диеты, нормализация психоэмоционального состояния.

    При дерматологических заболеваниях прыщи на теле лечатся комплексно – с использованием местных и системных лекарственных препаратов, физиотерапевтических методов, корректировкой образа жизни и правил гигиены. Инфекционные поражения обязательно требуют назначения антибактериальных препаратов, противогрибковых или противовирусных средств, наружных антисептиков.

    Средство от прыщей на теле

    В зависимости от вида и этиологии высыпаний на кожных покровах могут назначаться лекарственные средства с противовоспалительным, антизудным, подсушивающим, обеззараживающим действием.

    Нередко требуется применение антигистаминных препаратов, топических кортикостероидов.

    Какая мазь от прыщей на теле окажет наилучший эффект, сможет подсказать специалист, а мы рассмотрим перечень наружных средств, которые зачастую назначаются при подобных проблемах:

    Мелкие прыщи на животе – распознаем высыпания, начинаем лечение

    Прыщи на животе: лечение, в зависимости от болезни

    Такое явление как прыщи никак нельзя назвать приятным, однако с ним сталкиваются очень многие люди.

    При этом образование подобных элементов на коже лица или спины, как правило, серьезных переживаний не вызывает, доставляя лишь огорчение, то на других частях тела подобные проявления у большинства людей вызывают опасения, особенно в тех случаях, когда появились мелкие прыщи на животе, ведь факторов, которые могли к этому привести, существует немало.

    Причины появления высыпаний на коже живота

    Чтобы установить определенную причину появления высыпаний в этой зоне, необходимо осмотреть  прыщи, оценить их внешний вид и определить тип.

    Среди основных причин, вызывающих образование мелких прыщей на животе можно назвать:

    • Изменение уровня некоторых гормонов, что нарушает общий фон. В этом случае сальные железы тела начинают работать неправильно, вырабатывая слишком много секрета, который закупоривает поры. Гормональные прыщи практически всегда мелкие, одиночные, но могут располагаться достаточно плотно друг к другу, особенно в том случае, если на имеющуюся проблему долго не обращают внимания. При воспалении таких элементов, появившихся на животе, требуется помощь доктора.
    • Период беременности, когда прыщи на коже лица, рук, живота, на ногах и спине в большинстве случаев возникают из-за постоянных изменений уровня гормонов. Но на животе мелкие высыпания могут появиться и по причине ношения бандажа, поскольку такой предмет нарушает циркуляцию воздуха. Чтобы этого избежать, следует выбирать бандажи из натуральных хлопковых тканей, без добавления искусственных и синтетических волокон, а также отдавать предпочтение продукции известных компаний. Кроме этого, важно помнить и о том, что носить бандаж круглосуточно не нужно, надевать его следует лишь на определенные периоды дня.
    • Потница. Подобное проявление можно наблюдать не только у младенцев при перегреве тела, но и у взрослых людей. Чаще всего такое нарушение возникает у людей с большой массой тела, особенно в жаркое время года, а также у тех, кто носит синтетическую одежду и нижнее белье. В такой одежде кожа не может дышать, нарушается воздухо- и теплообмен, из-за чего достаточно часто и появляются мелкие прыщи на животе, как сыпь.
    • Аллергическая реакция. Сделать вывод о наличии аллергии можно в том случае, если появились мелкие прыщи на животе, и они чешутся. Конечно, сыпь при аллергии образуется и на других участках тела, и при этом вид ее может быть различен. В частности, высыпания могут иметь вид красных пятен с бугристой поверхностью, мелких папул или волдырей с водянистым содержимым. Для устранения таких проявлений, необходимо точно определить аллерген и исключить любые контакты с ним.

    Заболевания, при которых на животе могут появиться высыпания

    Обычные самые распространенные причины появления высыпаний на коже живота, как правило, не представляют серьезной угрозы и устраняются простыми методами, но существуют и ситуации, когда образование прыщей в этой зоне требует срочного обращения к врачу.

    Среди заболеваний, которые сопровождаются появлением сыпи на животе, можно назвать:

    • Опоясывающий лишай и герпес, при которых на коже живота образуется множество мелких высыпаний в виде пузырьков или пустул. При пузырьковой сыпи внутри каждого элемента находится вязкая жидкость, не имеющая цвета. Если образования представляют собой пустулы, то внутри них может содержаться гной, при этом поверхность кожи будет весьма болезненной. В таких ситуациях требуется правильная постановка диагноза и длительное адекватное лечение у квалифицированного специалиста.
    • Некоторые заболевания инфекционного характера. В этих случаях одновременно с высыпаниями можно наблюдать появление болей в горле, сильного кашля и значительное повышением температуры. В подобных случаях прыщи на животе можно назвать второстепенным симптомом. Сюда можно отнести корь, оспу, в том числе и ветряную, а также другие инфекционные недуги.
    • Целую группы заболеваний, которые передаются половым путем, часть из которых среди общих симптомов имеет и сыпь. В частности, при развитии сифилиса (в его начальной стадии) на коже живота появляются мелкие прыщики, не причиняющие никакого дискомфорта, и быстро исчезающие через короткое время, в чем и заключается основная опасность заболевания. На начальной стадии недуг нередко путают с обычной аллергией, а потому, не обращаются к доктору, и когда высыпания исчезают, человек перестает уделять внимание этому вопросу. Однако такая сыпь возвращается через некоторое время в совокупности с другими симптомами, но при этом время, в течение которого заболевание можно было легко устранить, уже упущено. По этой причине тем людям, кто проводит незащищенные половые акты или часто меняет партнеров, при появлении любой сыпи рекомендуется сразу обращаться к специалисту.
    • Чесотка, вызываемая особым чесоточным клещом. В большинстве случаев прыщи при этом заболевании появляются между пальцами конечностей, но могут локализоваться и в нижнем сегменте живота. Такие высыпания сильно чешутся и в дальнейшем начинают сливаться в одно пятно, поверхность которого покрывается плотной коркой.

    Лечение высыпаний на коже живота

    Перед тем, как предпринимать какие-либо меры и выбирать способ терапии сыпи, необходимо точно установить причину ее появления.

    Часть факторов, вызвавших образование прыщей, может быть совершенно безобидной, поэтому с проявлениями удается справиться самостоятельно и без лишних проблем. Другая часть является следствием заболевания и требует квалифицированной помощи.

    Поэтому при возникновении прыщей на коже живота необходимо обратиться к доктору, который поставит точный диагноз и даст правильные рекомендации при необходимости.

    В остальных случаях, когда сыпь не представляет серьезной опасности, можно справиться с проблемой самостоятельно с помощью медикаментозных средств наружного применения или рецептов народной медицины.

    Для устранения воспаления и снижения интенсивности зуда можно протирать кожу отваром лекарственной ромашки, череды или цветков календулы, так же можно накладывать и компрессы с водным настоем этих растений.

    Можно обрабатывать патогенные элементы свежим соком алоэ, который отлично снимает воспаление и устраняет раздражение.

    Немалую роль при лечении прыщей на животе играет и питание, поэтому важно исключить из своего рациона некоторые продукты, которые могут дополнительно провоцировать образование прыщей. Рекомендуется отказаться от употребления выпечки и сладостей, копченостей, солений и маринадов, тяжелой, жареной и жирной пищи.

    Необходимо соблюдать и все правила личной гигиены, не забывая ухаживать за кожей и ежедневно принимать душ, смазывая после этого очищенную кожу травяным детским кремом для смягчения.

    Конечно же, одним из важных моментов лечения прыщей на животе является и замена некоторых предметов одежды или средства для ее стирки.

    Вполне возможно, что появившиеся мелкие прыщи в этой области является обычным аллергическим раздражением на синтетические и иные искусственные ткани или на стиральный порошок.

    Поэтому для стирки одежды лучше выбирать средства мягкого действия или жидкое мыло, а из общего количества современных тканей следует отдать предпочтение натуральным хлопковым полотнам.

    Причины появления и методы лечения прыщей на животе у ребенка

    Прыщи на животе: лечение, в зависимости от болезни

    Многие молодые родители сталкиваются с таким явлением, как прыщи на животе у ребенка. Почему так возникает, норма это или патология, симптомом каких заболеваний могут быть высыпания и как с ними бороться, рекомендуется рассмотреть подробнее.

    Виды прыщей на животе у ребенка

    Разновидность высыпаний различается, в зависимости от того, какая причина вызвала их появление. Прыщи могут быть таких видов:

  • Пятнышки маленьких размеров, которые могут сливаться между собой.
  • Маленькие прыщики, которые располагаются на различных участках живота, их обычно немного.
  • Прыщики, которые дополняются гиперемией кожного покрова.
  • Пузырьки с мутным или светлым содержимым, вокруг обычно наблюдается шелушение эпидермиса.
  • Чешуйчатые образования.
  • Сыпь различного окраса.
  • Зачастую такие симптомы возникают не только на поверхности живота, но и на других частях тела.

    Причины появления

    Не всегда такой симптом может свидетельствовать о развитии инфекционного заболевания. Если прыщики небольшие, окрашены в красный или ярко-розовый цвет, это может быть признаком развивающейся потнички у новорожденного или у грудничка.

    Кроме этого, одной из распространенных причин появления прыщей на животе является аллергическая реакция (в том числе и диатез). Раздражителями могут стать: косметическое средство, которое используется для ухода за ребенком, применение некачественных синтетических пеленок или детской одежды, стиральный порошок.

    Чесотка тоже сопровождается появлением прыщей на животе. Но появляется дополнительный симптом, который характеризует именно это заболевание — сильный зуд.

    Вызвать появление высыпаний могут и различные инфекционные заболевания, к которым относят:

    • Ветрянку.
    • Корь.
    • Скарлатину.
    • Краснуху.

    Диагностика

    При появлении прыщей на животе у ребенка рекомендуется посетить детского врача, поскольку только он может точно установить причину такого симптома и назначить грамотную терапию. Обычно причины появления устанавливаются на глаз и принимается одна из методик лечения, указанных ниже. В случае же, если лечение не помогает в течение нескольких дней, ребенок отправляется на сдачу анализов.

    Лечение

    Лечение появившихся на животе ребенка прыщиков происходит по методикам в зависимости от причины их появления:

    • Если причиной стала аллергическая реакция, назначаются антигистаминные препараты, разрешенные в детском возрасте. Наружная обработка проводится с помощью препаратов Фенистил, цинковая мазь, бепантен. Хорошими помощниками в борьбе с аллергией являются травяные ванночки с использованием календулы и череды.
    • Если причиной стала потница, рекомендуется как можно чаще оставлять малыша без подгузника, чтобы кожа дышала, достаточным будет соблюдение простых правил гигиены и применение детской присыпки, пользоваться бепантеном или деситином, купать ребенка в отваре череды и ромашки. Обычно потница проходит в течение 2-3 дней. Если это не происходит, рекомендуется посетить дерматолога, возможно понадобится дополнительное обследование и прохождение курса лечения.
    • При наличии чесотки, лечение проводится в условиях стационара. Если прыщи на животе являются признаком развития инфекционных заболеваний, лечение проводится в зависимости от тяжести болезни. Корь, скарлатина и краснуха обязательно лечится в условиях стационара. Ветрянка в легкой форме может лечиться амбулаторно.

    Профилактика

    Чтобы предотвратить появление высыпаний на коже живота у ребенка, рекомендуется соблюдать все правила гигиены, выбирать только вещи из натуральных материалов, пользоваться гипоаллергенными средствами для ухода за малышом и средствами для стирки.

    Если самочувствие ребенка ухудшается, повышается температура или другие тревожные симптомы, обязательно посетить врача.

    Независимо от причины, вызвавшей появление прыщиков на животе у малыша, очень важно вовремя обратиться к врачу и провести все необходимые мероприятия, чтобы избавиться от высыпаний и не получить осложнений.

    Прыщи на животе у женщин и мужчин: причины, лечение, как избавиться. Красные, гнойные, мелкие угри и акне на животе

    Прыщи на животе: лечение, в зависимости от болезни

    Прыщи на животе не всегда говорят об акне. Причины красных прыщей на животе могут быть более опасными, например, говорить о прогрессирующей аллергии либо развитии инфекционного процесса. Чтобы приступить к лечению потребуется установить истинную причину.

    Причины прыщей на животе у женщин

    Почему возникают прыщики на животе? Возникновение прыщей на животе, причинами которых могут стать самые различные заболевания, приносят сплошной дискомфорт. Существует целый ряд первопричин по котором они возникают:

  • Беременность. У большинства представительниц прекрасного пола в период вынашивания малыша происходят физические нарушения. В результате возникают высыпания не только на животе, но и спине, груди и других участках.
  • Гормональный фон. Нарушение уровня гормонов может спровоцировать повышенную выработку кожного секрета. В итоге сыпь возникает не только на лице, но и появляются мелкие прыщи на животе.
  • Инфекционные болезни. Некоторые возбудители провоцируют высыпания или акне на животе.
  • Лишай.
  • ЗППП. Ряд половых болезней провоцирует образование угрей по всему телу.
  • Дерматиты.
  • Это лишь наиболее часто встречаемые причины возникновения прыщей на животе у женщин.

    Причины прыщей на животе у мужчин

    Прыщи на животе у мужчин, причины которых устанавливаются только после сдачи анализов и обследования, могут быть опасными для здоровья. Они могут быть как внешними, так и внутренними. К внешним относят:

  • Аллергия. Чаще всего контакт с аллергеном происходит именно в зоне пупа. Прыщи на животе чешутся и характеризуются ярко-красным окрасом.
  • Потничка. Чаще всего такие высыпания проявляются в жаркое время, когда кожный покров живота прикрывает одежда и чрезмерно потеет.
  • Применение анаболиков. Некоторые виды анаболических препаратов провоцируют возникновение угревой сыпи в этой области.
  • Неправильная гигиена. У многих мужчин внизу живота есть достаточное количество волосяных фолликул. При несоблюдении гигиены они засоряются. Фурункулы, образованные внутри фолликула, могут вырастать до больших размеров.
  • Стрессовые ситуации. Регулярные нервозы и переживания провоцируют нарушение функционирования сальных желез.
  • Кроме всего, несбалансированное питание с употреблением слишком жирной и острой пищи также становится причиной того, что появились прыщи на животе.

    Красные прыщи на животе

    Красные прыщи чаще всего появляются около пупка после недавно пережитого стресса. Обычно проходят через пару дней и не доставляют дискомфорта. Но они могут говорить и о наличии серьезного заболевания: начиная от банального раздражителя и заканчивая венерическими болезнями. Причину установить сможет только врач, после осмотра больного и сдачи им всех анализов.

    Прыщи на животе: причины, признаки, разновидности, лечение и профилактика

    Прыщи на животе: лечение, в зависимости от болезни

    В случае появления сыпи в области живота люди редко, когда придают этому особое значение. Несмотря на то что подобные проявления не представляют опасности для человеческого организма, при множественных высыпаниях, локализующихся в одном месте, обращаться за медицинской помощью все же стоит. Причины формирования прыщей как у мужчин, так и у женщин любого возраста могут быть различные.

    Содержание

    • Виды
    • Причины
    • Симптомы
    • Диагностика
    • Лечение
    • Профилактика

    Если образования приобретают красный цвет, чешутся, сопровождаются воспалительным процессом и стремительно распространяются по телу также откладывать с визитом к врачу не рекомендуется.

    Виды

    Специалисты выделяют следующие разновидности сыпи, которая может быть в области живота:

  • Мелкие прыщи красного цвета. Причиной их возникновения может быть неправильная гигиена, аллергическая реакция, проникновение вируса.
  • Высыпания внизу живота. Как правило, появляются у представительниц прекрасного пола в предменструальный период.
  • Белые прыщи.
  • Болезненные образования. Являются признаком начала воспалительного процесса. Могут выступать на поверхности кожного покрова или подкожно.
  • Водянистые. В большинстве случаев имеют инфекционный характер происхождения.
  • Единичные высыпания небольшого размера, имеющие белую головку. Зачастую проходят самостоятельно и не представляют опасности.
  • Кроме того, прыщи на животе могут быть четырех форм:

    • комедональные;
    • папуло-пустулезные;
    • узловые;
    • тяжелые.

    В последнем случае происходит формирование глубоких узелков, которые поражают большие участки тела.

    Причины

    Основной причиной высыпаний на животе являются патологии инфекционного характера. Прыщи могут возникнуть при наличии следующих болезней:

  • Заболевания, которые могут передаваться при половом контакте, например, вторичный сифилис.
  • Половой герпес. В этом случае прыщи представлены в виде гнойничков.
  • Аллергическая реакция на внутренние и внешние раздражители.
  • Инфекционные патологии, которые передаются воздушно-капельным путем.
  • Опоясывающий лишай.
  • Чесоточный клещ.
  • Корь.
  • Краснуха.
  • Ветрянка.
  • В некоторых случаях спровоцировать высыпания на животе могут такие факторы, как:

    • несоответствующее выполнение гигиенических процедур;
    • прием некоторых медикаментозных препаратов;
    • ношение одежды из синтетических тканей.

    У женщин в большинстве ситуаций появление прыщей в области живота может быть спровоцировано беременностью. Это объясняется тем, что в данный период происходит изменение гормонального фона.

    Если высыпания не приносят дискомфорта, то причин для беспокойства нет. Необходимо только запастись терпением, поскольку после родов симптомы, как правило, исчезают самостоятельно.

    Однако, не нужно забывать о том, что во время вынашивания ребенка появление прыщей может свидетельствовать о наличии такого опасного заболевания, как краснуха, что может привести к развитию патологий плода.

    Кроме того, при наличии половых инфекций, также у женской половины населения могут проявиться различного рода высыпания. Для сифилиса характерны маленькие по размерам прыщи, которые периодически исчезают и появляются вновь. Чтобы полностью избавиться от проблемы, необходимо сначала излечить основную болезнь.

    У мужчин возникновение сыпи провоцируют практически те же факторы, что и у женщин.

    Симптомы

    Установить точную симптоматику сыпи на животе специалистам до сих пор так и не удалось, поскольку признаки будут отличаться в зависимости от факторов, на фоне которых началось развитие патологии. В области живота высыпания могут иметь самую различную симптоматику.

    В большинстве случаев данное патологическое состояние сопровождается такими симптомами, как:

  • Покраснение. Такой признак можно наблюдать в центре очага поражения. Чаще всего это сопровождается отеком, который в некоторых случаях может присутствовать постоянно, а иногда только на начальном этапе формирования прыщей.
  • Зуд. Не всегда беспокоит пациента. Наблюдается, только если появление прыщей имеет инфекционную или аллергическую этиологию.
  • Прогрессирование. Вначале сыпь имеет незначительные размеры, но с течением времени постепенно начинает увеличиваться. Иногда образуется гнойное содержимое и формирование угрей.
  • Болезненные ощущения. Болезнь сопровождается болью только в том случае, если поражены нервные окончания. Чаще всего данный симптом можно наблюдать при наличии опоясывающего лишая. Боль, как правило, тянущая и постоянно изменяющая свою интенсивность.
  • Кроме того, вне зависимости от характера высыпаний, все они доставляют немало дискомфорта. Это связано с постоянной раздражительностью в результате контакта с одеждой и косметическими средствами.

    Диагностика

    При появлении первых симптомов патологического состояния, независимо от характера сыпи, рекомендуется обратиться за консультацией к дерматологу. Прежде чем ставить окончательный диагноз, врач должен как можно точнее определить причину, которая спровоцировала появление прыщей в области живота.

    На приеме в первую очередь проводится визуальный осмотр больного, а также собирается информация, позволяющая установить, что могло вызвать сыпь, как долго это длиться, какими симптомами сопровождается данное состояние и какую имело первоначальную форму.

    При необходимости могут быть назначены дополнительные обследования, а также сдача необходимых анализов.

    Только на основании полученных результатов ставится окончательный диагноз и подбираются наиболее эффективные методы терапии.

    Лечение

    При диагностировании таких заболеваний, как краснуха или ветрянка, в обязательном порядке назначают использование антисептических препаратов, например, зеленку. Чтобы не допустить дальнейшего распространения инфекции каждый прыщ необходимо обработать данным средством, обладающим обеззараживающим свойством.

    Иногда врач при ветряной оспе может прописать препараты противовирусной группы. Они могут применяться как местно, так и перорально. К таким средствам относят:

    • Ацикловир;
    • Зовиракс и прочие.

    Лекарства этой группы способствуют снижению симптоматики и уменьшению вероятности формирования рубцов.

    В качестве дополнительного лечения назначаются антигистаминные средства (Супрастин, Тавегил), также помогающие снятию жжения, раздражения и зуда.

    При выявлении такой патологии, как чесотка, могут быть назначены:

    • Ивермектин;
    • Бензилбензоат;
    • серная мазь.

    Содержащиеся в составе активные вещества способствуют уничтожению чесоточного клеща. При этом прекращается дальнейшая его патогенная деятельность и размножение.

    Иногда бывает достаточно разового приема медикаментов. В целях профилактики препараты можно применять повторно.

    Для лечения фурункулеза и фолликулита применяют:

  • Антибиотики – Амоссициклин. Доза лекарства и продолжительность курса определяется индивидуально в каждом конкретном случае.
  • Борный или салициловый спиртовой раствор. Используют, как правило, в течение первых нескольких дней с начала развития болезни.
  • Эритромициновая и тетрациклиновая мази.
  • Левомеколь – применяют также на начальных этапах. После того как гнойник вскроется, рекомендуют наносить на пораженное место ихтиоловый состав.
  • Иммуностимуляторы. Это могут быть пробиотики и витаминные комплексы.
  • Не менее главную роль в лечении прыщей на животе играет и правильное питание. Чтобы результат от проведенных терапевтических мероприятий был более эффективным, врачи советуют исключить из рациона соленую, жирную, острую пищу. Также желательно отказаться от:

    • фастуда;
    • полуфабрикатов;
    • кондитерских изделий;
    • различной выпечки.

    В меню обязательно должны присутствовать свежие овощи и фрукты, кисломолочная продукция, растительная и белковая пища.

    Профилактика

    Чтобы предотвратить появление высыпаний на животе, необходимо, в первую очередь следить за личной гигиеной и ежедневно, а по возможности по несколько раз в день, тщательно выполнять все процедуры по уходу за телом.

    При наличии аллергической реакции на что-либо, нужно с осторожностью употреблять новые продукты. В теплое время года лучше носить одежду только из натуральных тканей. После каждого выхода на улицу руки нужно мыть обязательно с мылом.

    Если придерживаться этих общих рекомендаций, то можно максимально снизить вероятность проявления прыщей.

    Кроме того, важно не забывать и о следующих правилах:

  • При чрезмерной потливости, особенно в жаркую погоду, не допускать, чтобы пот долго задерживался на коже. По возможности для его устранения можно использовать влажные салфетки или носовой платок.
  • Не перегревать и не переохлаждать организм.
  • Не выходить на улицу сразу после принятия душа.
  • Принимать пищу желательно в одно и то же время.
  • Спать нужно не менее 8 часов.
  • Снизить к минимуму употребление жирных, соленых и острых блюд.
  • Принимать ванны с добавлением морской соли.
  • Если при возникновении сыпи вовремя обратиться за медицинской помощью, то лечение прыщей не займет много времени и сил. Только опытный специалист сможет правильно определить причину болезни и назначить максимально эффективные терапевтические процедуры.

    Ни в коем случае нельзя заниматься самостоятельным лечением, особенно при помощи средств народной медицины. Любое действие должно быть согласовано с лечащим врачом. Только соблюдение всех рекомендаций позволит не только за короткие сроки избавиться от проблемы, но и не допустить еще более серьезных последствий.

    Понравилась статья? Поделиться с друзьями:
    Все о сантехнике
    1 / 11
    2 / 11
    3 / 11
    4 / 11
    5 / 11
    6 / 11
    7 / 11
    8 / 11
    9 / 11
    10 / 11
    11 / 11