Прыщи после шугаринга: причины появления и способы лечения

Прыщи после шугаринга: причины появления и способы лечения

Прыщи после шугаринга – самое распространенное осложнение. Чтобы лечение раздражения было адекватным и не усугубило проблему, необходимо правильно определить причину осложнения. Только тогда вы сможете вернуть красоту кожи и уверенность в своей неотразимости.

Почему после шугаринга появляются прыщи?

Удаление волос сахарной пастой считается одним из безопасных методов эпиляции. Но, как и любая косметическая процедура, шугаринг имеет ряд осложнений, и появление прыщей – наиболее встречаемое из них. Почему после шугаринга появляются прыщи:

  • Погрешности в проведении шугаринга.
  • Вросшие волосы.
  • Индивидуальная непереносимость процедуры.
  • Нарушение санитарных норм.
  • Гистаминовая реакция.
  • Нарушение запретов и гигиены после шугаринга.
  • Погрешности в проведении шугаринга

    Несмотря на простоту шугаринга, необходимо иметь определенные навыки в работе с сахарной пастой. Чаще всего погрешности возникают у новичков, выполняющих шугаринг в домашних условиях. Хотя и опытный мастер не застрахован от ошибок.

    Часто после шугаринга появляются прыщи, если паста была удалена неверным движением, с нарушением параллели по отношению к коже. Срыв производится резким движением вдоль кожи, без рывка кверху. Если паста снимается вертикальным движением, может произойти обламывание, дальнейшее врастание волосков, а это неизменно приведет к воспалению фолликул и возникновению белых прыщей после шугаринга.

    Еще одной погрешностью становится некачественно просушенная кожа перед нанесением пасты для депиляции. После дезинфекции на кожу наносится специальная пудра и только затем паста. У людей с повышенным потоотделением во время процедуры кожа снова становится влажной. Если повторно не просушить кожу, поры закупорятся пастой, соответственно, возникает побочное явление в виде прыщей.

    Вросшие волосы

    Во время шугаринга может произойти травма фолликулы, после чего волосяной стержень выходит не по направлению естественного роста, а в сторону, и не может пробиться через кожу.

    На поверхности появляются воспаленные прыщики. Вторая причина врастания волос – некачественное удаление растительности.

    Не удалённый волос загибается книзу и начинает расти внутрь, вызывая последствия в виде прыщей на коже.

    При появлении вросших волос и воспалительного процесса необходимо обратиться к врачу-косметологу. Проведение повторной эпиляции в этом случае только усугубит воспаление. Можно попробовать помочь себе самостоятельно, хотя процедура удаления вросших волос кропотливая, требует специальных условий, и делать ее себе неудобно. Для удаления вросших волосков в домашних условиях:

    • распарьте участок с вросшим волосом в ванной или с помощью горячего компресса;
    • продезинфицируйте участок спиртовым раствором или специальным спреем;
    • простерилизуйте рабочий инструмент – пинцет либо иглу;
    • пинцетом (иглой) подденьте вросший волосок, аккуратно его вытащите;
    • протрите участок антисептиком, приложите холод.

    Обратите внимание, что вытащить вросший волос можно, если он имеет видимый стержень. Если же врастание внутреннее, появившееся из-за травмы фолликула, удалить его без помощи специалиста не удастся.

    Индивидуальная непереносимость

    В редких случаях причиной, почему появляются прыщики, становится индивидуальная непереносимость шугаринга. Обычно это явление наблюдается у людей с тонкой или чувствительной кожей. В процессе сахарной депиляции поры раскрываются, и чувствительная кожа может среагировать на любое внешнее воздействие: попадание влаги, пота, косметических средств и даже частичек пыли.

    Нарушение санитарных норм

    Если после шугаринга появились прыщи белого цвета, возможно, были нарушены нормы санитарии. Инструменты и принадлежности для шугаринга должны быть стерильными. Специальными дезинфицирующими средствами обрабатывается и кожа. Если нормы не соблюдались, произойдет инфицирование кожи, главным признаком которого становятся гнойные, белые прыщи в местах обработки.

    Гистаминовая реакция

    Гистаминовая реакция после шугаринга появляется при удалении пушковой растительности. Пушковые волосы наш организм воспринимает как защитные, и их удаление иногда провоцирует выброс гистаминов.

    Происходит аллергическая реакция, последствием которой становится зуд, отеки, воспаление и покраснение обработанных участков. Во время гистаминовой реакции для защиты волосяных фолликул от инфицирования организм активизирует белые кровяные тельца.

    Такая реакция приводит к возникновению воспаленной сыпи в виде красных прыщиков.

    Нарушение запретов и гигиены после шугаринга

    После шугаринга запрещены любые процедуры, связанные с повышенным потоотделением и загаром. Нельзя посещать бассейн, парилку, солярий, пляж. Занятия спортом также невозможны на этапе восстановления кожи после шугаринга. Необходимо отказаться от применения любых косметических средств на обработанных участках.

    В качестве антиперспиранта используется тальк, а в качестве ухода – дезинфицирующее средство Хлоргексидин и заживляющее – Пантенол. Антисептиком могут выступать отвары и настои трав. Запрет на бассейн, парилку, спорт и солярий после шугаринга действует 24 часа, на применение косметических средств – 48 часов. Дополнительные меры, которые предотвратят появление гнойничков после шугаринга:

    • принимайте душ не ранее, чем через 6 часов после процедуры, мыться в ванной не рекомендуется в течение 48 часов после шугаринга;
    • на 4 – 5 день проведите легкий пилинг скрабом, это предотвратит возникновение вросших волос;
    • на протяжении недели используйте специальные косметические средства для ухода после депиляции, они обладают комплексным действием – одновременно дезинфицируют, смягчают и увлажняют обработанную сахарной пастой кожу;
    • желательно применение средств с эффектом замедления роста волос;
    • после депиляции интимной зоны откажитесь от белья в ночное время — это предотвратит возникновение раздражения в виде воспаленных прыщиков.

    Лечение прыщей после шугаринга

    Лечение воспаления на коже после депиляции сахаром может быть медикаментозным и с помощью народных средств. Медикаментозное лечение красных прыщиков и гнойных образований белого цвета отличается. Белые гнойнички нужно обрабатывать спиртом и мазью Мирамистин.

    Для лечения красной сыпи без признаков инфекции используются мази с салициловой кислотой, например, средство Боро Плюс. Хорошо помогают в лечении неинфекционного раздражения мази Пантенол, Спасатель, Бепантен, Зинерит.

    Все они обладают восстанавливающим и заживляющим эффектом.

    Из народных средств можно выбрать компресс из настоя ромашки. Для этого на стакан кипятка понадобится столовая ложка травы. Ромашка обладает успокаивающим и антисептическим действием. Женщинам с сухой кожей ромашку лучше заменить чередой, шалфеем, календулой.

    Отвары этих трав смягчат кожу, снимут раздражение. Против белых гнойничков хорошо действует сок и мякоть картофеля. Кашицу из натертого на мелкой терке картофеля накладывают на пораженные места, для удобства используют ватный тампон или марлю.

    Компрессы выполняют 2 – 4 раза в сутки по 15 минут.

    Помощь специалиста

    Если раздражение в виде прыщей не проходит на третий день после шугаринга, необходимо обратится к дерматологу.

    Не вылечивающаяся сыпь может свидетельствовать о нарушениях в работе организма или о наличии скрытых заболеваний вирусно-инфекционного характера.

    В случаях постоянного появления прыщиков после шугаринга можно говорить об индивидуальной непереносимости процедуры. От шугаринга лучше отказаться и выбрать альтернативный метод удаления волос.

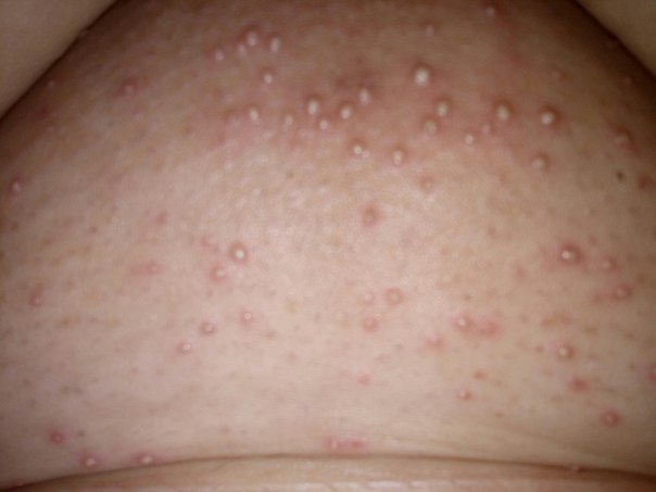
    Прыщики после шугаринга. Причина образования гнойничков и как с ними бороться

    Прыщи после шугаринга: причины появления и способы лечения

    Шугаринг (сахарная депиляция) – процедура удаления нежелательного волосяного покрова, давно полюбившаяся дамам. Она эффективна и сравнительно недорога.

    У сахарной депиляции мало побочных эффектов, но их проявление возможно. Самый распространенный – прыщи после шугаринга. Прежде чем винить мастера после появления недуга и обращаться к доктору, нужно разобраться в ситуации.

    Почему появляются прыщики после шугаринга?

    Если у вас после шугаринга появились гнойнички, то сначала нужно определиться с причиной. Роль провокаторов проблемы играют эти факторы:

    • Чувствительность эпидермиса. Если кожный покров подвержен аллергическим реакциям и высыпаниям при контакте с вредными микроорганизмами, прыщики появятся быстро.
    • Плохая переносимость механических воздействий. После шугаринга тонкая кожа нередко покрывается бледными частыми пузырьками.
    • Некомпетентность мастера. Процедура несложна, но ее нужно выполнять без ошибок. Неграмотные манипуляции приводят к неприятным последствиям.
    • Игнорирование правил гигиены. Во время удаления волосков снимается верхний кожный покров и оголяются места, где находились фолликулы. Но не стоит винить только мастера — микробы могут проникнуть как во время процедуры, так и после нее.
    • Вросшие волосы. Проблема возникает из-за индивидуальных особенностей организма и допущения ошибок во время процедуры. На местах врастания волоса часто появляются красные прыщи с гноем.
    • Применение лосьонов, кремов и подобных средств. После депиляции любая кожа становится чувствительнее. Даже привычный крем способен вызвать раздражение.

    Внимание! Провокатором гнойных образований может быть аллергия на косметические продукты. Реакция возникает на средства для обработки зоны перед шугарингом.

    В каких зонах появляются прыщи после шугаринга?

    Высыпаниям подвержены любые зоны, на которые воздействовал мастер. Чаще всего это:

    • Ноги. Обычно прыщики локализуются на области выше колена, так как она чувствительнее кожи голеней. Летом повышается риск появления проблемы. Пыль, попадающая на ноги, провоцирует раздражение.
    • Прыщики после шугаринга в подмышечных впадинах. Кожа в них особенно чувствительна. Ситуация усугубляется при использовании дезодорантов с отдушками.
    • Зона бикини. Почему после шугаринга появились гнойнички в зоне бикини? В этой области очень тонкая кожа, соприкасающаяся с нижним бельем. Трение провоцирует высыпания. Кроме того, если вы делаете сахарную эпиляцию, а после отрастания волос бреете данную зону обычным бритвенным станком, то есть риск врастания волос и гнойнички после шугаринга.
    • Лицо. Декоративная косметика и средства для ухода проникают в поры чувствительного эпидермиса – распространенная причина появления прыщиков после шугаринга на лице.

    Что делать и как лечить?

    Не стоит паниковать после обнаружения недуга. В большинстве случаев проблема решается легко и быстро. Главное узнать причину и начать лечение.

    Перед вами подходящий алгоритм действий:

    • Выявите причину. Это особенно легко сделать, если до инцидента процедура шугаринга уже проводилась, но подобных неприятностей не было.
    • Примите первичные меры. О них можно прочитать ниже.
    • Начните лечение. Выберите подходящую методику и приступайте к устранению прыщей.

    Меры предосторожности

    Чтобы не столкнуться с проблемой, рекомендуется соблюдать правила:

    • При возможности распарьте зону воздействия. Это снизит риск возникновения раздражения. После распаривания нужно ополоснуть зону воздействия прохладной водой.
    • Убедитесь в компетентности мастера и в соблюдении гигиенических условий. Вы вправе попросить диплом об окончании курсов на рассмотрение. Следите за тем, чтобы специалист работал в защитных перчатках.
    • Не игнорируйте обеззараживающие средства. Ими следует пользоваться до и после депиляции. Используйте смягчающую и успокаивающую косметическую продукцию после сеанса, если кожный покров чувствительный.

    Если высыпания появились, нужно следовать рекомендациям:

    • Не расчесывайте и не выдавливайте дефекты на кожном покрове. Манипуляции усугубят положение, и прыщиков будет больше. Также повышается риск занесения инфекции и повреждений верхнего слоя эпидермиса. Желательно как можно реже прикасаться руками к прыщам.
    • Дезинфицируйте кожный покров. Используйте противомикробные средства в виде лосьонов и растворов.
    • Не носите тесную одежду из синтетики. Вещи не должны натирать и раздражать зону. Глее локализуются прыщи.
    • Берегите кожу от загрязнений и солнца. Летом старайтесь меньше пребывать на улице.
    • Воздержитесь от эпиляции и депиляции до исчезновения прыщей. Далее нужно подобрать другую методику удаления нежелательных волосков, если у вас слишком чувствительная и тонкая кожа.

    Важно! В любом случае нужно отказаться от пребывания в соляриях, банях и бассейнах. Если процедура шугаринга прошла без последствий, ограничение действует 3 дня. При появлении гнойных образований нужно отказаться от водных и ультрафиолетовых процедур до выздоровления.

    Средства от гнойных прыщей после эпиляции

    Все медикаменты, способные помочь в данной ситуации, продаются в аптеках и без рецепта врача. Их можно разделить на три группы:

    • Успокаивающие и заживляющие. К ним относится мазь Бепантен и ее аналоги (Пантенол и т.п.). Можно наносить на всю пораженную область несколько раз в день.
    • Подсушивающие. К ним относятся медикаменты с салициловой кислотой. Наносятся точечно один раз в день.
    • Против прыщей. Зинерит и его аналоги подходят. Их следует использовать по инструкции.

    Народные средства от гнойных прыщиков после депиляции

    Примите во внимание несколько полезных рецептов:

    • Ромашковый лосьон. Отварите три больших ложки сухой аптечной ромашки в двух стаканах воды. Процедите смесь и ополаскивайте ей пораженную область.
    • Мазь из алоэ. Сделайте из мякоти алоэ кашицу и накладывайте ее на прыщики.
    • Компресс из подорожника. Хорошо промойте листья подорожника и порубите их на мелкие кусочки. Приложите к пораженной зоне и прибинтуйте на час.

    Внимание! Будьте осторожны, так как компоненты народных средств могу вызвать аллергию. Если у вас наблюдалась аллергическая реакция на какой-либо из компонентов, откажитесь от использования.

    Нужно ли обращаться к врачу?

    Обращение к специалисту необходимо, если вы ходили к мастеру на шугаринг при имеющихся кожных, серьезных хронических заболеваниях, или кожный покров в зоне воздействия был поврежден.

    В остальных случаях нужно следить за реакцией. Обычно от проблемы можно избавиться в течение нескольких дней. Если прыщи не исчезают, необходима помощь специалиста.

    Прыщи после шугаринга – нужно ли переживать?

    В большинстве случаев от недуга избавляются в домашних условиях и без неприятных последствий. Главное, чтобы все правила и меры предосторожности были соблюдены. Чтобы избежать неприятности, рекомендуется посоветоваться со специалистом перед сеансом сахарной депиляции.

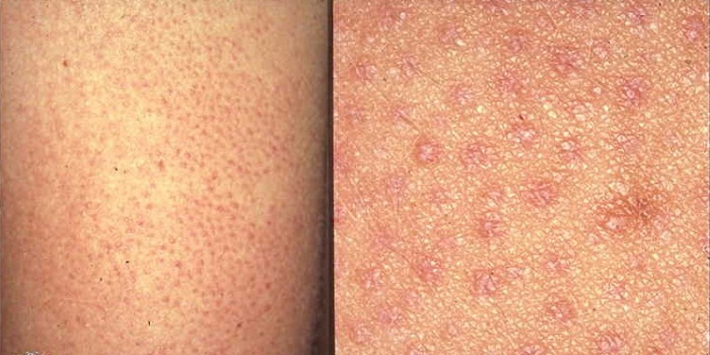
    Раздражение после шугаринга (прыщи, гнойнички, красные точки, покраснения): причины и что делать

    Прыщи после шугаринга: причины появления и способы лечения

    Шугаринг характеризуется тем, что после удаления ненужных волосков на теле практически не возникает никаких проблем с кожей. Это является несомненным преимуществом сахарной депиляции. Однако иногда неприятные последствия всё же возникают.

    Причины появления раздражений на коже

    Все способы удаления волос с тела создают стрессовую ситуацию для кожи. Но шугаринг является наименее агрессивным из них.

    Сахарная паста накладывается против роста волосков, поэтому она поднимает их и склеивается с ними, при этом не прилипая к коже. Удаление сладкой массы делается в противоположную сторону. Такой алгоритм выполнения депиляции позволяет удалить волоски вместе с корнями, минимально раздражая кожу.

    Однако иногда после сладкой депиляции на поверхности кожи возникают раздражения в виде:

    • покраснений;
    • красных точек;
    • прыщей;
    • гнойничков;
    • пятен;
    • фурункулов.

    Каковы же причины их появления? Существует четыре основных фактора, которые способствуют образованию раздражений:

    • нарушение техники выполнения процедуры депиляции;
    • некачественные материалы, используемые во время удаления волос;
    • несоблюдение правил гигиены;
    • физиологические особенности организма.

    Неправильное выполнение шугаринга

    Если нарушается техника сахарной депиляции, кожа может серьёзно на это отреагировать.

    Неверное или слабое натяжение кожного покрова

    В момент удаления сахарной пасты кожа должна быть хорошо натянута в сторону, противоположную рывку. Если этого не сделать, то сладкая масса потянет за собой кожный покров, что вызовет не только болезненные ощущения, но и покраснение кожи, а в дальнейшем — появление красных точек.

    Кроме того, при отсутствии должного натяжения, волоски во время рывка могут обломаться, а фолликулы — травмироваться. Это грозит врастанием. Часто этот процесс сопровождается появлением гнойничков. Вросший волос не так сложно удалить, но после него могут остаться тёмные пятна.

    Несоответствующий угол отрыва

    Сахарную пасту удаляют параллельно кожной поверхности. Многие женщины, выполняя шугаринг в домашних условиях, делают рывок вверх или под углом 45°. Это приводит к таким последствиям:

    • покраснению кожи;
    • появлению красных точек;
    • врастанию волос.

    Многократная обработка

    Один и тот же участок кожи можно обрабатывать сахарной пастой не более 2 раз за одну процедуру. Если не соблюдать это правило, то поверхностные слои повреждаются и возникает вероятность попадания в них вредной микрофлоры. Поэтому, помимо покраснения, могут появиться прыщи и фурункулы.

    Неразумная экономия карамели

    Чем дольше один и тот же шарик сахарной пасты используется и разминается в руках, тем хуже становится его способность склеиваться с волосками, а на поверхности скапливаются вредоносные микробы. Это может привести к образованию прыщей, фурункулов и вросших волос.

    Сахарная паста после нескольких применений теряет не только свои свойства, но и цвет: она становится непрозрачной и белой — это признак того, что её больше нельзя использовать

    Длина волосков

    Для проведения шугаринга оптимальная длина волос составляет 3–5 мм. Если они короче, то паста их плохо захватывает и высока вероятность обламывания. Если волосы слишком длинные, то их удаление станет более болезненным.

    Некачественные материалы

    Часто в целях экономии бюджета женщины используют дешёвые аналоги сахарной пасты. Как правило, в такие сладкие средства добавляются химические компоненты, которые улучшают пластические и другие свойства. Однако использование подобных паст для депиляции чревато появлением на коже раздражений и аллергических реакций.

    Кроме того, многие вместо специального талька, который наносится на кожу перед удалением волос, применяют детскую присыпку. Однако она полностью не поднимает волоски и забивает поры. Это провоцирует обламывание волос в момент рывка, а также появление воспалений.

    Несоблюдение гигиены

    Чтобы максимально исключить возможность возникновения раздражений и воспалений, необходимо соблюдать правила гигиены. Если делать шугаринг на неочищенной от грязи и жира коже, то высока вероятность появления нежелательных реакций. После процедуры за кожей также необходим гигиенический уход.

    Кроме того, в ближайшие 2–3 дня после депиляции не рекомендуется носить:

    • Одежду и бельё из искусственных тканей. Они не дают коже полноценно «дышать» и появляется пот, который является идеальной средой для размножения патологических микроорганизмов.
    • Тесную одежду. Она провоцирует изменение направления роста волос, что влечёт врастание. Также тесная одежда сильно натирает травмированную после процедуры кожу, что способствует появлению раздражений.

    Физиологические особенности

    Раздражения на коже после шугаринга могут возникнуть в силу физиологических особенностей организма.

    Состояние кожи

    Кожа каждого человека относится к тому или иному типу, и это может повлечь за собой появление определённых раздражений после депиляции:

    • Если кожа чувствительная, то после шугаринга она как минимум покраснеет.
    • В случае когда кожный покров довольно плотный, ослабленные после предыдущих процедур волоски не могут пробиться наружу, т. е. они врастают.
    • Сухая кожа после сахарной депиляции подвержена шелушению и раздражению.

    Структура волос

    Плотность и жёсткость волос на теле также определяют, насколько высока вероятность появления раздражений:

    • Слишком жёсткий волос имеет, как правило, крепкий фолликул, который сложно вытащить из-под кожи. Поэтому во время сахарной депиляции такие волоски часто обламываются и оставшиеся «пеньки» врастают под кожу. Кроме того, волосяная луковица окружена сетью капилляров, которые разрываются при удалении корня. Поэтому в этих местах часто возникают красные точки, и они тем ярче, тем толще и жёстче волос.
    • Если же волос чрезмерно тонкий и слабый, то в момент удаления сахарной пасты он рвётся, а из повреждённой луковицы также появляются вросшие волосы.

    Из-за жёстких волос и чувствительной кожи в зоне бикини после шугаринга появляется много раздражений

    Ослабленный иммунитет

    Если иммунная система организма слаба сама по себе, то даже небольшой стресс для кожи может привести к появлению:

    • герпетической сыпи;
    • фурункулов;
    • прыщей и прочих высыпаний.

    Если иммунитет ослаблен, то перед проведением шугаринга необходимо проконсультироваться у специалиста и получить рекомендации, как избежать неприятных последствий.

    Как устранить раздражения

    Если после шугаринга раздражения всё же возникли, то их нужно устранять как можно скорее.

    Покраснение

    Покраснение можно снять лосьонами с подсушивающим и охлаждающим эффектом. Если таких средств не оказалось под рукой, то можно использовать кусочки льда. Их необходимо подготовить заранее. Вместо воды рекомендуется заморозить зелёный чай или отвар целебных трав (например, ромашки, мяты, череды), которые окажут успокаивающее и заживляющее воздействия.

    Красные точки и прыщи

    Возникающие после шугаринга красные точки и прыщи могут вызвать зуд и жжение. Для их устранения можно использовать аптечные мази:

    • Малавит;
    • Мирамистин;
    • Солкосерил;
    • Боро Плюс.

    Выбранный препарат наносится тонким слоем 1–2 раза в сутки на очищенную кожу до исчезновения проблемы.

    Мази Мирамистин, Солкосерил, Боро Плюс и Малавит — это антисептические и заживляющие средства, помогающие избавиться от раздражений после депиляции

    Эффективно помогает справиться с этими раздражениями настойка календулы или чистотела:

    • Календула убирает воспаление, бережно дезинфицирует и ухаживает за кожей, не сушит и не раздражает.
    • Об эффективности чистотела можно догадаться из названия. Это растение обладает антисептическими и противовоспалительными свойствами.

    Ватный диск нужно смочить в настойке травы и протирать кожу 2–3 раза в день.

    Эффективно устраняет проблему красных точек и прыщей следующий рецепт:

  • Лист алоэ разрезать.
  • Нанести на него 3–4 капли масла чайного дерева.
  • Протирать кожу средством 2–3 раза в день.
  • Гнойнички

    Если на коже образовались гнойнички, то их ни в коем случае нельзя выдавливать, потому что:

    • это может привести к занесению вторичной инфекции и усугубить проблему;
    • может ещё больше травмироваться повреждённая луковица, в результате чего из неё в течение 2–3 месяцев будут появляться вросшие волосы.

    Гнойнички без вросшего волоска можно удалить с помощью следующих средств:

    • салициловой (2%) или борной (2%) кислоты. С помощью растворов гнойные воспаления нужно точечно обрабатывать 3–4 раза в день;
    • кремов или гелей для устранения прыщей на лице — Метрогила, Зинерита;
    • противовоспалительных и заживляющих препаратов общего действия — Пантенола, Левомеколя, Спасателя, Фолливита. Их нужно использовать по инструкции;
    • антисептиков — Мирамистина, Хлоргексидина, перекиси водорода;
    • йода;
    • мази Вишневского;
    • ихтиоловой мази.

    Среди народных средств с гнойничками эффективно справляется настой ромашки или календулы:

  • 1 ст. л. сухой травы залить 250 мл кипятка.
  • Дать настояться в течение 20 мин.
  • Процедить и протирать проблемные участки 2–3 раза в день.
  • Эффективно вытягивает гнойнички лист алоэ:

  • Свежесрезанный лист растения промыть и разрезать на маленькие кусочки.
  • Мякотью приложить к гнойному прыщу на ночь, зафиксировав лейкопластырем.
  • Если гнойное воспаление возникло в результате вросшего волоса, то сначала необходимо удалить волосок:

  • Взять тонкую иглу, продезинфицировать её конец и кожу.
  • Аккуратно проткнуть гнойничок.
  • Концом иглы поддеть волос, вытащить его наружу и удалить пинцетом.
  • После этого нужно обрабатывать кожу одним из способов, использующихся при гнойничках без вросших волос.
  • Фурункулы

    Фурункулы после шугаринга могут появиться из-за попадания на раздражённую кожу бактерии стафилококка. Микроорганизм добирается до волосяного мешочка и там начинает активно размножаться, в результате чего появляется болезненный нарыв.

    После возникновения фурункула следует немедленно обратиться к врачу, поскольку самолечение может принести серьёзный вред здоровью и тяжёлые осложнения в виде сепсиса, артрита, лимфаденита и других патологий.

    Профилактические меры

    Риск появления раздражений на коже минимизируется, если выполнять некоторые меры профилактики:

    • Перед процедурой и после неё кожу следует обязательно обрабатывать антисептическим средством.
    • Руки необходимо вымыть с мылом и также продезинфицировать.
    • Перед шугарингом обрабатываемую кожу лучше распарить: можно принять душ или приложить горячий компресс. Это облегчит удаление волосков и снизит травмирование кожи. После процедуры обработанную зону желательно ополоснуть прохладной водой, чтобы поры сузились: это минимизирует риск попадания в них патологической микрофлоры.
    • Полностью соблюдать технику выполнения шугаринга.
    • Использовать только качественные материалы для депиляции.
    • После проведения процедуры 2 раза в неделю кожу необходимо обрабатывать скрабом. Это позволит смягчить эпидермис и снизить риск появления вросших волос.
    • Через 24 ч после шугаринга специалисты рекомендуют обработать кожу средством, снижающим вероятность врастания волос (Aravia Professional AHA-cream post-epil с AHA-кислотами и др.);
    • Если процедура проводилась в зоне подмышек, в первые сутки не стоит пользоваться дезодорантом.
    • В течение 2–3 дней после шугаринга нельзя посещать бассейны и сауны, чтобы случайно не занести инфекцию.

    Средства с фруктовыми кислотами снижают риск появления вросших волос

    Вероятность появления раздражений на коже после шугаринга достаточно мала. Однако существует ряд причин, по которым проблемы всё же возникают. От них можно избавиться самостоятельно. Но лучше изначально прибегнуть к профилактическим мерам, чтобы исключить неприятные последствия.

    Прыщи после эпиляции: что делать если появились гнойнички

    Прыщи после шугаринга: причины появления и способы лечения

    Гнойники, раздражения, припухлости образуются по разным причинам. Необходимо ознакомиться со всеми возможными факторами, чтобы впредь их исключить.

    Итак, причины возникновения прыщей после депиляции:

  • Очень чувствительная кожа. Эпидермис имеет повышенную чувствительность к внешним раздражителям. Любое агрессивное воздействие на кожу приводит ее в состояние раздражения. Часто с такой проблемой сталкиваются девушки, которые только начали делать эпиляцию. Со временем дерма может привыкнуть и прыщи не будут появляться, но бывает, что кожа долго продолжает реагировать на процедуру воспалением.
  • Пренебрежение нормами гигиены и стерильности. Во время депиляции, особенно такой, где удаление волос происходит вместе с корнем, верхний кожный слой нарушается, лунки, где были волоски остаются открытыми. Микробы мгновенно проникают в поврежденные слои эпидермиса и начинают размножаться. Очень важно, чтобы во время процесса все было стерильным, продезинфицированным.
  • Аллергическая реакция. Тело может среагировать на материал для эпиляции или саму процедуру аллергией. Гнойнички возникают после шугаринга, ваксинга, химического крема-эпилятора, как реакция на материал. Такая аллергия может сопровождаться зудом, отечностью эпилируемых мест.
  • Занесение инфекции. Во время процедуры есть риск занести инфекцию, провоцирующую гнойные образования на коже. Вредоносные микроорганизмы могут находится где угодно: на руках мастера, вспомогательных инструментах, в самом воске (если в него погружали грязные руки).
  • Гормональные нарушения. По причине гормонального дисбаланса часто появляются гнойнички в зоне бикини, паха, на лице в нижней его части. Агрессивное воздействие на кожу еще больше стимулирует их размножение.
  • Закупоривание волосяных пор. Некоторые косметические средства, используемые после депиляции (кремы, лосьоны), закупоривают волосяные лунки, не давая им зажить естественным образом. Внутри пор начинаются воспалительные процессы, следствием которых становятся гнойники.
  • Особенности прыщей, возникающих после депиляции

    Прыщи после эпиляции различаются по характеру высыпаний. Бывают белые прыщики, красные с гнойным содержимым, черные точки, болезненные крупные шишки, волдырники.

    Они появиться в любой части тела, где была проведена депиляция.

    Лицо

    Некоторые женщины удаляют волоски над губой, в области подбородка. Чаще всего в этой зоне появляется мелкая гнойничковая или красная сыпь. Кожа на лице нежная и чувствительная, реагирует раздражением на внешнее агрессивное вмешательство.

    Подмышки

    Прыщи после бритья, восковой эпиляции, шугаринга или любого другого метода, чаще всего возникают из-за несоблюдения правил ухода за кожей подмышками после процедуры. Некоторые сразу же наносят подмышки антиперспирант, который полностью закупоривает лунки волосяных фолликулов. Это способствует появлению угрей, болезненных крупных прыщей и красноты.

    Бикини

    Раздражения, прыщи, гнойники на лобке после бритья – явление очень частое. Неприятность может появиться в интимной зоне после бритья, крема-эпилятора, машинки, воска, лазерной депиляции. Кожа в зоне бикини также очень чувствительна и постоянно контактирует с нижним бельем. Причиной реакции бывают самые различные факторы, от индивидуальной чувствительности до занесения инфекции.

    Ноги

    Кожа на ногах менее чувствительна. Гнойные и красные прыщи после эпиляции, в основном, локализуются на бедрах, где эпидермис тоньше. Проблема чаще бывает летом, когда на открытые ноги попадает пыль или женщина, не соблюдая правила, загорает и купается в открытых водоемах в первые дни после депиляции.

    Способы лечения прыщей

    Лечение прыщей после депиляции можно разделить на два вида:

  • Медикаментозное
  • Народными способами
  • Мази с антибиотиками

    Мирамистин, Левомеколь, Эритромицин, Тетрациклин, Банеоцин, Фузидерм – эти препараты обладают широким спектром действия, борются с вредоносными микроорганизмами, снимают воспаления, заживляют ранки и гнойники. Ими можно обрабатывать прыщи на лобковой части, на ногах, руках, лице. Каждая мазь содержит инструкцию, в которой указаны правила применения и противопоказания.

    Заживляющие противовоспалительные мази/кремы

    Радевит, Зинерит, Бепантен, Д-пантенол, Боро Плюс – эти мази и кремы содержат в себе регенерирующие и заживляющие компоненты, быстро снимают красноту, сыпь, мелкие гнойнички, припухлости, зуд.

    Антибактериальные растворы

    Мирамистин, Хлоргексидин, Гексикон, Фурацилин, Хлорофиллипт, Перекись водорода – препараты в жидком виде предназначены для обработки воспаленных участков кожи. Все они обладают мощным антисептическим, бактерицидным действием, и быстро снимают воспалительные процессы.

    Народные средства от прыщиков после депиляции

    • Если после бритья интимной зоны появляются прыщи, можно обрабатывать кожу слабым раствором марганца сразу после процедуры и еще несколько дней после. Марганцовка не только обладает антисептическими и противовоспалительными свойствами, но и препятствует росту волос. В других зонах применять ее не рекомендуется, так как кожа может на некоторое время немного потемнеть.
    • Сок алоэ – прекрасное средство от любых воспалений. Можно сделать из него компресс или просто смазывать раздраженные места. Такими же лечебными свойствами обладает каланхоэ и подорожник.
    • Чтобы не возникли прыщи после шугаринга, ваксинга, машинки-эпилятора (методов, при которых волосы удаляются с корнем), рекомендуется обрабатывать кожу настоем ромашки или календулы.
    • После бритья в зоне бикини, ног или подмышек можно протирать кожу отваром череды. Трава обладает противоаллергическими и антисептическими свойствами.
    • Эфирные масла эвкалипта, пихты, лимонника, шафрана, мяты препятствуют воспалениям. Но их стоит применять в разведенном виде: на 10 капель базового масла (любого косметического) 2 капли эфирного.
    • Прыщи на ногах не появятся или их будет меньше, если сразу после депиляции припудрить кожу детской присыпкой.

    Как не допустить вероятность возникновения прыщей

    • Необходимо соблюдать правильность техники: станком волоски сбриваются по росту волос, химический крем нельзя держать дольше указанного времени, при ваксинге волоски выдергиваются против роста волос, при шугаринге по росту.
    • Все предметы личной гигиены должны использоваться только одним человеком.
    • Чтобы не появились прыщи после процедуры депиляции, обязательно следует соблюдать правила ухода за кожей.
    • Первые 2–3 дня желательно носить свободную одежду из натуральных тканей.
    • Не стоит часто касаться руками проэпилированной зоны первых пару дней.
    • После восковой, механической или сахарной депиляции рекомендуется поскрабировать кожу через 5 дней, чтобы уменьшить риск врастания волос, которые тоже вызывают воспаления.
    • Нельзя после сеанса пользоваться средствами, содержащими спирт.
    • Чтобы не появлялись прыщи на чувствительной коже, ее заранее следует обрабатывать антисептическими противовоспалительными средствами.

    Нужно ли обращаться к врачу?

    Если проблема возникает постоянно и воспаления держаться долго, желательно посетить дерматолога и выявить причину, которая может заключаться во внутренних заболеваниях.

    Появились прыщи после шугаринга: причины и лечение

    Прыщи после шугаринга: причины появления и способы лечения

    Прыщи после шугаринга могут появиться по разным причинам. Важно не только выявить их, но и знать, как избавиться от гнойных воспалений и предотвратить их дальнейшее появление. Тогда кожа после депиляции будет радовать своей красотой и идеальным состоянием.

    Причины прыщей после шугаринга

    Появляются прыщи после процедуры шугаринга по следующим причинам:

  • Пренебрежение правилами личной гигиены. Следует помнить, что при удалении волос с помощью этого варианта депиляции, затрагивается также и верхний слой кожи. В результате после подобной процедуры она становится очень уязвима для микробов. Они могут находиться как на вашем теле, так и на руках мастера. При активной деятельности микробов на коже могут появляться многочисленные гнойные прыщи.
  • Повышенная чувствительность кожи. Когда дерма реагирует на малейшие раздражения, то шугаринг лучше не проводить. Если же все-таки прибегнуть к такой процедуре, то удивляться появившимся гнойничкам не стоит. Риск их возникновения на чувствительной коже повышается в разы. Если человек вспотеет либо на обработанную кожу попадет пыль, то ситуация может усугубиться. Поэтому косметологи советуют людям с чувствительной дермой использовать более щадящие средства для депиляции, в числе которых специальные кремы.
  • Реакция кожи на первую процедуру. Появление гнойничков на участке тела, который раньше не подвергался шугарингу — нормальное явление. Дело в том, что кожа таким образом реагирует на непривычную для нее процедуру. На ней также могут появиться и синяки. Но с каждым разом их количество, как и число прыщей, будет меньше.
  • Инфекция. Она может попасть непосредственно с рук мастера. Вот почему так важно проводить шугаринг в проверенных местах.
  • Вросший волос. Даже шугаринг не гарантирует отсутствие закупоривание сальных желез. Такая проблема провоцирует врастание волоса. Из-за это начинается воспаление и возникают белые прыщи.
  • Аллергия. Не стоит забывать, что в ходе шугаринга используется сахар и ряд других компонентов. Далеко не всегда кожа реагирует на такие средства нормально. У некоторых женщин на них возникает аллергическая реакция. Она, в свою очередь, провоцирует возникновение прыщей.
  • Гормональный сбой. После удаления волос гнойные прыщи появляются и по причине проблем со здоровьем. Это может быть не только ослабленный иммунитет, но и гормональный сбой. При наличии таких проблем высыпания чаще всего наблюдаются в зоне бикини и на лице.
  • Закупоривание волосяных фолликул. Нередко после процедуры шугаринга женщины сразу наносят на кожу лосьоны и крема. Они могут привести к закупориванию пор. Подобная проблема провоцирует появление гнойных воспалений.
  • Меры предосторожности

    Появляться прыщи на коже после эпиляции не будут, если обстоятельно подойти к процедуре шугаринга. Для этого необходимо перед удалением волос обработать участки тела любым антисептиком. Отлично подойдет Мирамистин. Он стоит недорого, есть практически в каждой семейной аптечке. Благодаря его использованию, снизится количество микробов на коже.

    Делая шугаринг самостоятельно, обязательно дезинфицируйте руки. Для этого можно воспользоваться любым спиртосодержащим раствором и антибактериальным мылом. При проведении такой процедуры в салоне, следует убедиться в том, что мастер работает в одноразовых перчатках. Они должны быть вскрыты перед вами.

    После процедуры эпиляции следует отказаться от посещения саун, бассейнов и бань. Ведь общественные места — идеальная среда, где можно подхватить микробы.

    После проведения эпиляции несколько дней носите только свободную одежду. Если вещи будут натирать обработанные зоны, то не стоит удивляться, что появилось много воспалений и прыщей.

    В течение первых 3 дней следует скрабировать кожу. За счет этого удастся избежать появления вросших волос. В последующие дни применяйте смягчающие кремы и спреи для кожи.

    Избавление от прыщей

    Что же делать, если все меры предосторожности предприняты, а прыщи все-таки появились? В этом случае следует приступить к их немедленному лечению, после чего рекомендуется использовать другой метод эпиляции.

    При такой проблеме прийти на помощь могут следующие аптечные средства:

    • крема от прыщей на лице — Зинерит и Метрогил;
    • заживляющие гели — Пантенол и Спасатель;
    • обеззараживающие средства — салициловая кислота, Боро Плюс.

    Можно использовать в борьбе с гнойничками медицинский спирт, йод, Мирамистин, ихтиоловую мазь (с ней лучше делать компрессы). Они отлично подходят для решения такой проблемы.

    Избавиться от прыщей после шугаринга можно при помощи народных средств:

  • Возьмите по 2 ст. л. календулы и ромашки. Залейте 200 мл кипятка и оставьте на 20 минут в закрытой посуде. Процедите настой и используйте его для примочек: берите ватный диск, смачивайте его в жидкости и прикладывайте к проблемному месту на 5 минут.
  • Возьмите аптечный спиртовой настой календулы. Смачивайте в нем ватную палочку и протирайте ею гнойные воспаления.
  • Возьмите лист алоэ, тщательно промойте его и разрежьте пополам. Стороной с мякотью приложите к проблемному месту и зафиксируйте пластырем. Оставьте такой компресс на 5 часов, а потом смените.
  • Если же прыщи после шугаринга будут появляться постоянно, а смена способа эпиляции не поможет, как и использование специальных средств от их избавления, то обязательно обратитесь к дерматологу. Он назначит комплексное лечение.

    Прыщи после шугаринга — распространенная проблема, с которой нужно обязательно бороться. Нужно не только использовать способы для устранения гнойных воспалений, но и прибегать к профилактическим мерам, чтобы предотвратить их появление.

    Тогда вы будете довольны полученным результатом от процедуры шугаринга.

    Почему после шугаринга появляются прыщи

    Прыщи после шугаринга: причины появления и способы лечения

    Процедура депиляции с применением сахарной пасты, шугаринг, имеет наилучшие показатели по безболезненности проведения, наименьшим проявлениям врастания волосков и отличной эффективности удаления лишнего волосяного покрова. Но по некоторым причинам, девушки, прошедшие эпиляцию карамелью, профессиональной или собственного приготовления, обнаруживают на следующий день прыщи после шугаринга.

    Ряд причин возникновения раздражения и прыщей после сахарной эпиляции

    Вопросом, почему после шугаринга появляются прыщи, задаются и профессиональные косметологи, выполнившие процедуру в стерильных условиях с соблюдением технологии, и девушки, которые после многократных депиляций вдруг обнаружили несвойственное раздражение. Негативные последствия шугаринга могут вызываться:

    • Высокой чувствительностью кожи
    • Несоблюдением технологии проведения эпиляции сахарной пастой
    • Нарушением требований соблюдения гигиены косметологом и клиенткой
    • Многократной обработкой одного участка кожи

    Осложнения и методы их лечения.

    Болезненные последствия, когда после шугаринга появились прыщи, обусловлены многими факторами, связанными с:

    Состоянием здоровья кожи:

    • Сухая кожа после процедуры шелушится и на ней возникает раздражение, потница от повреждения кожных покровов. Такая проблема требует предварительного увлажнения кожи за один день до эпиляции и лечения раздражения заживляющей мазью или спреем Пантенол.
    • Появление герпетической сыпи на фоне ослабления иммунитета связано с полученным кожей стрессом и устраняется с помощью антисептика Хлоргексидина, настоек на ромашке и календуле.
    • Фурункулез на фоне общего состояния организма, если есть гнойные прыщики на лице. В такой ситуации требуется комплексный подход к очищению организма и точечная обработка воспалений и гнойничков салициловой, борной кислотой с периодичностью каждые 2 -3 часа.

    При проведении шугаринга, рекомендуется первые 6 часов не подвергать кожу воздействиям солнечных лучей, исключить спортивные нагрузки, посещение бассейнов, саун и принятие ванн. Нельзя в подмышечной зоне использовать дезодорант и лучше при прохождении процедур на интимных зонах в первые сутки исключить ношение синтетического белья.

    Невыполнением технологии шугаринга. Процедура сахарной депиляции проста, но имеет несколько нюансов, не выполняя которые, удаление волос окажет раздражающее действие на кожу:

    • Недостаточное натягивание кожи перед процессом срывания аппликатора приводит к травмам кожного покрытия, обрыву волоска и его последующего врастания. Заживление микротравм производится с помощью успокаивающих лосьонов, а с вросшими волосинками придется бороться компрессами с ихтиоловой мазью. Гнойнички, которые возникают в месте вросшей щетинки, на ночь закрываются компрессом с мазью для снятия воспаления, а затем продезинфицированной иголкой выводятся наружу.

    Нарушением требований гигиены:

    • При несоблюдении правил запретов и рекомендаций на следующий день после шугаринга возникают гнойничковые воспаления кожи. Бороться с высыпаниями можно антисептическими средствами, содержащими спирт, заживляющими мазями с антибиотиком, увлажнением детским кремом с витамином Е.
    • Использование нестерильной лопатки для нанесения пасты, ненадлежащее хранение тканевых полосок также способствует возникновению воспалительных процессов. Поможет обработка антисептиками и препаратами типа Мирамистин.

    Срывание тканевой полоски более 2-х раз на одном участке приводит к повреждению кожи и последующим воспалениям, которые требуют применения заживляющих мазей.

    Прыщи после шугаринга – явление не частое, такими проблемами страдает до 10 % клиенток салонов и до 20% девушек, производящих процедуру самостоятельно. Но в любом случае, требования гигиены и соблюдение технологии, как и постоянный уход за состоянием здоровья кожных покровов исключат возможность появления негативных последствий сахарной депиляции.

    Раздражение после шугаринга: красные точки, белые прыщики и гнойнички

    Прыщи после шугаринга: причины появления и способы лечения

    Раздражение после шугаринга — серьезная проблема, возникающая у обладательниц особо чувствительной кожи. Часто после процедуры появляются прыщи, гнойнички, красные точки и пятна, сильный зуд и сыпь. Особенно неприятна такая ситуация, если депиляция проводилась в преддверии важного события, требующего идеального внешнего вида.

    4 причины появления раздражения

    Косметологи и мастера, проводящие удаление волос при помощи сахарной смеси не всегда гарантируют отсутствие побочных эффектов после шугаринга. Поэтому женщинам следует знать, что делать в такой ситуации. И лучше запастись парочкой способов, позволяющих быстро снять раздражение и вернуть своему телу здоровый вид. О них мы сегодня и расскажем.

    Главная проблема женщин, часто прибегающих к использованию сахарной пасты для удаления волосков на лице, в зоне бикини или на ногах — появление красных точек, зуда и раздражения на коже после депиляции. Проблема может появиться, даже если процедура проводилась профессиональным косметологом в условиях полной стерильности.

    Основные причины, почему после шугаринга может появиться сильное раздражение:

  • Сверхчувствительная кожа;
  • Несоблюдение технологии проведения процедуры;
  • Несоблюдение правил гигиены и стерильности как мастером, выполняющим шугаринг, так и клиенткой;
  • Частое и многократное использование сахарной смеси на отдельно взятом участке тела.
  • Даже те девушки, которые использовали процедуру шугаринга несколько раз и не замечали после нее никаких негативных последствий на коже, не могут с полной уверенностью полагать, что причина раздражения после сахарной депиляции не их забота.

    Как снять раздражение

    Если даже после правильно проведенной процедуры и тщательного ухода в последующие дни появляется раздражение, необходимо серьезно подойти к решению возникшей проблемы. Каждый вид побочных проявлений требует своего подхода к лечению:

  • Красные или белые прыщи после шугаринга. Их появление говорит о том, что в трещинки, образовавшиеся после процедуры, попала инфекция. Гнойнички как после шугаринга, так и любого другого метода удаления волос, можно убрать ромашковым компрессом. Компрессы с ромашкой обладают подсушивающим, обеззараживающим действием и быстро убирают воспаление, позволяют уменьшить красных или белые прыщики после шугаринга.Подобных гнойников можно избежать если следить за личной гигиеной после процедуры. При появлении смажьте их мазью Вишневского или Тетрациклиновой.
  • Красные точки, пятна и обширные покраснения возникают обычно сразу после шугаринга и являются одним из вариантов нормальной реакции кожи на травматическое воздействие. Такое раздражение быстро проходит. Но для того чтобы после шугаринга не появились гнойнички и прыщи, необходимо успокоить зону депиляции и нанести обеззараживающий лосьон или мазь, а после обрабатывать зону Пантенолом, пока покраснение после шугаринга не прошло.Подобные мелкие прыщики — аллергическая реакция кожи. Они проходят сами собой через пару дней. Для ускорения исчезновения можно выпить таблетку от аллергии, подсушивать их, обрабатывать Мирамистином или Хлоргексидином.
  • Кроме того, необходимо внимательно следить за кожей первые несколько дней после процедуры и использовать снимающие раздражение после шугаринга мази и кремы. Особенно это касается предотвращения появления раздражения после шугаринга на коже в зоне бикини. Все средства необходимо наносить чистыми руками, чтобы не допустить появление новых угрей.

    Правила обработки кожи после депиляции

    После проведения процедуры по всем правилам раздражение не должно появляться даже на особо чувствительных участках, таких как подмышки и интимная зона. Однако неправильный уход за кожей или его полное отсутствие может спровоцировать сильнейшее раздражение после шугаринга в зоне бикини и на более плотных участках.

    Через 5 дней после проведения процедуры кожному покрову необходимо обновление. Для этого можно сделать легкий пилинг. Эта несложная процедура позволит не только убрать отмершие частички кожи, но и предотвратит врастание волосков.

    Многие принимают вросшие волосы за обычное раздражение, однако эта проблема гораздо серьезнее. Поэтому процедуру скрабирования кожи необходимо проводить минимум 1 раз каждые 4–5 дней, чтобы не появились прыщи. После пилинга нужно нанести увлажняющий питательный крем, не забивающий поры и предотвращающий рост волос.

    Народные методы борьбы

    Кроме аптечных косметических средств широко используются домашние рецепты, позволяющие снять раздражение и уменьшить видимые нагноения после удаления волос сахарной пастой. Простые и доступные ингредиенты домашних масок и мазей делают такие процедуры очень распространенными среди женщин:

  • Медовые маски и аппликации. Мед — натуральное средство, богатое всеми необходимыми организму микроэлементами и веществами. Густой мед помогает успокоить травмированную кожу, насыщает ее витаминами и борется с воспалительными процессами, развивающимися в сальных железах. Для быстрого избавления от прыщиков, зуда и сухости можно нанести небольшое количество растопленного на паровой бане меда на кожу, растереть его мягкими массажными движениями и оставить на несколько часов. После 3–4 часов раздражение должно уменьшиться или совсем пройти.
  • Картофельный сок. Такое простое средство помогает достаточно быстро избавиться от раздражения и заживить травмированный кожный покров. Прикладывания натертого на мелкой терке картофеля позволяет снимать красноту и сухость в течение суток. Кроме того, такой метод лечения раздражения предотвращает развитие патогенной микрофлоры в глубоких слоях кожных покровов и не позволяет развиться сложным формам дерматита.
  • Шугаринг является новой и модной процедурой по удалению нежелательных волос. Однако не каждой девушке подойдет депиляция сахарной пастой. Важно учесть все особенности собственного организма и тела, проверить нет ли аллергии на подобные сахарные смеси и выбрать грамотного косметолога, который хорошо знаком со всеми тонкостями процедуры и последующего ухода.

    Правильная техника проведения процедуры

    Перед началом процедуры, связанной с травматическим воздействием на кожные покровы, специалист обязан провести обработку своих рук и кожи клиентки специальными лосьонами, которые обезжиривают и предотвращают развитие болезнетворных бактерий. После этого участок кожи, на котором будет производиться депиляция, дополнительно обезжиривается с помощью белого талька. Таким образом контролируется потоотделение, впитываются остатки кожного сала, которые не были удалены лосьоном.

    Важно проследить за правильностью приготовления самой смеси для депиляции.

    Салоны, предоставляющие подобную услугу, часто используют уже готовые варианты сахарной пасты, которые сейчас доступны каждому желающему.

    Такую пасту необходимо разогреть до определенной температуры, которая обычно указывается на банке. Для этой цели подойдет как аппарат для плавки воска, так и бытовая микроволновая печь.

    Густота и консистенция сахарной смеси подбираются в зависимости от зоны депиляции. Например, для удаления жестких волосков в интимной зоне используется плотная паста. Мягкие и тонкие волоски лучше удалять более нежной пастой, чтобы предотвратить появление раздражения.

    Разогретая паста наносится на кожу клиентки строго против роста волос и оставляется на несколько секунд до застывания. Перед тем как снять массу, мастер должен убедиться, что она застыла. Для экономии времени многие салоны используют специальные бандажные техники, позволяющие быстро удалять пасту для депиляции.

    Важно уделить внимание обработке кожи после завершения процедуры. Остатки массы смываются мягкой салфеткой, смоченной теплой водой. После депиляции кожные покровы травмированы и нуждаются в особом уходе.

    У косметолога, проводящего процедуру удаления волос, есть специальные лосьоны и тоники, позволяющие предотвратить развитие патогенной микрофлоры в микроскопических повреждениях, а также увлажняющие и питающие кремы и гели, способствующие замедлению роста волос.

    Если процедура была проведена правильно и с соблюдением всех санитарно-гигиенических норм, раздражение на коже после шугаринга, как правило, не возникает.

    Понравилась статья? Поделиться с друзьями:
    Все о сантехнике
    1 / 10
    2 / 10
    3 / 10
    4 / 10
    5 / 10
    6 / 10
    7 / 10
    8 / 10
    9 / 10
    10 / 10