Волдыри на небе, губах, щеках: профилактика, симптомы, лечение

Волдыри на небе, губах, щеках: профилактика, симптомы, лечение

Волдыри во рту – самое частое и неприятное, крайне болезненное явление.

Оно может быть вызвано как ожогом, термическим или химическим, так и одним из десятков заболеваний.

Появлению волдыря может предшествовать зуд, жжение, сухость слизистой.

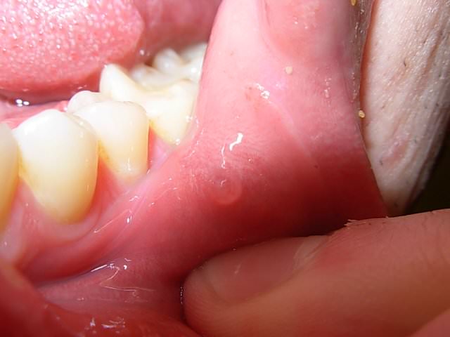
Волдырь на нёбе обнаруживается при осмотре и попытке определить, что мешает нормально есть и пить, вызывает дискомфорт. Давайте подробнее рассмотрим, волдыри на небе — что это такое и с чем может быть связано.

На небе вскочил волдырь — что это? Причины возникновения

Любители очень горячих напитков, пищи нередко обнаруживают на небе слегка отекшие участки кожи, которые по цвету отличаются от обычного цвета слизистой. Они могут быть светлее или иметь алый, ярко-красный оттенок, быть розоватыми или белыми.

Четкие ровные круглые пятна с отеком и приподнятой коже, под которой явно видна прозрачная или белая с желтоватым оттенком жидкость могут говорить о заражении инфекционным заболеванием или рецидиве хронической болезни.

С неровными отеками, внутри которых также есть содержимое, жидкое или очень плотное, дело обстоит сложнее, такой волдырь может говорить как об ожоге, так и о болезни.

Симптоматика ожогов

Термические

  • Боль появляется сразу после употребления еды, глотка чая или кофе, острая в течение нескольких секунд, она сменяет ноющей, усиливающейся при прикосновении.
  • Отек имеет размытую форму, участки ярко-красные, при серьезном поражении почти сразу кожа отслаивается, образуя волдырь.
  • Боль и дискомфорт не позволяют нормально пить и есть, возможен прием только жидкой чуть теплой пищи.
  • При нормальном течении ожог заживает в течение недели, не оставляя следов и рубцов.
  • Нежная кожа слизистой неба часто травмируется, поэтому волдырь лопается, отслоившаяся кожа «сходит», оставляя крошечные язвочки или воспаленные участки с белесым налетом.
  • Химические

  • Резкая острая боль после попадания в полость рта кислоты или щелочи, имеющих практически всегда очень характерные вкус и запах.
  • Отек, с отчетливо видимыми границами поражения.
  • Волдырь или множество волдырей, которые сливаются между собой, либо изъязвления неба с участками отслоившейся в виде волдырей кожи.
  • Длительное выздоровление сопровождается болью почти на всем протяжении, могут оставаться рубцы.
  • Важно. Химические ожоги опасны тем, что глубину поражения определить очень сложно, вещества нередко разрушают не только слизистые, но и твердую ткань, кость.

    Иногда для устранения последствий требуется не только длительное лечение, но и оперативное вмешательство для удаления коллоидных рубцов.

    Лечение воспалений в гортани и глотке ультрафиолетом, кварцем способно вызвать серьезный ожог с появлением волдырей, если неверно выставить длительность процедуры или мощность излучения,

    Высокая температура тела с пересыханием слизистых, сохраняющимся длительное время, сильная и длительная жажда при дефиците воды также могут вызвать появление волдырей: нежная слизистая отмирает без необходимого количества слюны или влаги, это может грозить куда более серьезными осложнениями, чем просто волдырь на небе, ведь поражена будет вся ротовая полость.

    Именно поэтому медики всегда стараются смачивать губы больных, давать понемногу питья, чтобы была возможность хоть смочить рот, прополоскать его.

    Травмы

    Травмы неба встречаются не менее часто, чем ожоги.

    Волдырь может оказаться следствием механического повреждения твердой пищей, после употребления, например, большого количества орехов, сухарей, сухофруктов.

    Заболевания

    На небе вскочил твердый волдырь — что это? Появление волдыря на небе может быть симптомом целого ряда болезней.

  • Грибковое поражение: слизистая неба, как и языка, щек, десен воспаляется, покрывается серым налетом. На небе отчетливо заметны волдыри или один большой волдырь, после вскрытия которого остается трудно заживающая язва.
  • Стоматологические болезни – пульпит, кариес, другие. Воспалительные процессы легко переходят в ротовой полости на все слизистые оболочки, могут спровоцировать отслоение отдельных участков кожи.
  • Стоматит – инфекционное поражение полости рта, при котором на слизистой появляется сыпь из волдырей, которые вскрываются и заживают в течение 10 – 14 дней при соответствующем лечении.
  • Герпес – опасное и очень неприятное заболевание, острозаразное, чреватое осложнениями. Затрагивает не только кожу и слизистые. Вирус способен поражать внутренние органы. Коварен, так как почти не поддается полному уничтожению и дает о себе знать обострениями при малейшем ослаблении иммунитета.
  • Ангиома – разрастание кровеносных сосудов, образующее уплотнения, похожие на шишки, волдыри ярко-красного цвета.
  • Киста – доброкачественное новообразование, полость со стенками, удерживающими жидкость. Может оставаться одного размера долгое время, увеличиваться, самостоятельно вскрываться и вновь начинать расти. Образуется на небе при закупорке желез. Опасна тем, что внутри полость может начаться воспаление.
  • Отравления – волдырь на небе может быть симптомом отравления свинцом, другими тяжелыми металлами.
  • Ветрянка – при несоблюдении правил ухода за больными ветряной оспой или тяжелом течении болезни волдыри, свойственные этому заболеванию, могут появиться и в ротовой полости, на небе.
  • Аллергии – реакция на продукты, соки, многое другое может быть непредсказуемой при аутоиммунных заболеваниях или склонности к необычному ответу организма на некоторое соединения.Волдырь на небе может оказаться тем, что мы называем крапивницей, только внутри ротовой полости. Такие волдыри очень болезненны, легко травмируются, доставляют массу хлопот, но проходят без следа, как и при обычной крапивнице, через 1 – 5 часов.
  • Половые инфекции – заболевания, передающиеся половым путем, могут проявиться в ротовой полости после орального секса. Зараженные представляют опасность для окружающих, а как при определенных условиях могут выделять вирус в окружающую среду при кашле, чихании, попадании слюны на предметы личной гигиены, посуду.
  • Важно. Любое новообразование на небе, в ротовой полости вообще, требует консультации со специалистами. Какой бы природы оно ни было, опасность заражения, дальнейшего распространения по организму очень высока.

    Волдырь как от ожога, так и появившийся в результате болезни, аллергической реакции нельзя оставлять без внимания. Необходимо уточнить причину его появления, четко следовать рекомендациям по лечению, чтобы не возникли осложнения, не пострадали окружающие в случае заражения вирусом.

    Варианты лечения

    Масса вариантов лечения волдыря во рту вовсе не означает, что можно легко и просто устранить как сам симптом, так и болезнь, вызвавшую его. Самостоятельно можно лишь временно облегчить состояние, лечение же должно проводиться комплексно и под наблюдением врача.

    Микроорганизмы из ротовой полости легко попадают в желудочно – кишечный тракт, способны спровоцировать воспалительные процессы во всех органах. Небо легко травмируется, что усложняет лечение. Но помочь себе на некоторое время можно.

    Аптечные средства

    Мази и спреи, предлагаемые в аптеках, могут снять болезненность, зуд и жжение. Существует немало препаратов, содержащих антибиотик, которые предотвратят распространение воспаление, ускорят процесс заживления.

  • Прополоскать рот раствором, содержащим антибиотик.
  • Ватной палочкой или турундой взять нужное количество мази (Солкосерил, Тетрациклиновая, цинковая, мазь Вишневского, Левомиколь).
  • Нанести на кожу вокруг волдыря и сам волдырь, стараясь не нарушить его целостность.
  • Дать впитаться и высохнуть мази. Больному в это время лучше держать рот открытым, голову – запрокинутой, чтобы слюна не смыла лекарство. Поможет в этом вставленная в рот между зубами пробка, спичечная коробка, катушка ниток, если нет специального устройства.
  • Процедуру повторять каждые 4 – 5 часов в соответствии с рекомендациями врача.
  • Часто такие волдыри обрабатывают перекисью водорода, йодом, слабым раствором марганца. При любых инфекциях ротовой полости, в том числе и с волдырем на небе, помогают орошения пораженных участков хлоргексидином, полоскания Йодинолом.

    Хороший эффект имеют таблетки для рассасывания при инфекциях ротовой полости, Септолете, Стрепсилс, Грамидин и другие, но необходима аккуратность. Любой твердые предмет, в том числе леденцы и таблетки, способен повредить небо.

    Остановить инфекцию или облегчить состояние при волдыре на небе помогают полоскания отваром березовых почек, ромашки, мяты, чистотела.

  • Заварить в 1 л воды 1 ст.л. сухих цветов тысячелистника.
  • Кипятить на медленном огне 15 мин.
  • Орошать полость рта или полоскать каждый час, можно использовать опрыскиватель или клизму.
  • Важно. Обязательна полная стерильность, кипячение предметов, использующихся неоднократно, болезнь может оказаться заразной, а ранки внутри рта легко инфицируются. Любые средства нужно применять только после консультации с медиками, обращение к ним для диагностики обязательно.

    Хорошо снимает отеки при возникновении волдырей полоскание отваром березовых почек, листьев крапивы, корней одуванчика.

    Ротовую полость можно смазывать медом, обладающим замечательными антибактериальными свойствами, его можно рассасывать или разводить в кипяченой воде и полоскать рот. Мед поможет снизить боль при ожогах, как и содовый раствор.

    Чего делать не стоит?

    Не нужно самостоятельно вскрывать волдыри на небе, пытаться удалить или прижечь. Самодиагностика приводить ко множеству осложнений, в запущенных формах болезнь поддается лечению намного хуже.

    Прием антибиотиков, гормональных препаратов без назначения врача смажет картину заболевания, что затруднит диагностику профессионалам, так что принимая их, нужно четко запоминать дозировку.

    Не нужно заниматься самолечением, в случае появления волдыря на небе лучше всего немедленно обратиться к медикам.

    В каких случаях обращаться к врачу?

    Консультация дерматолога, инфекциониста нужна обязательно, можно попросить помощи как в обычной поликлинике, так в частных дерматологических клиниках:

    • немедленная помощь необходима, если отечность быстро распространяется – это угрожает жизни больного;
    • скорую нужно вызывать, если болен ребенок, у него появилась одышка, он несколько часов не может есть и пить;
    • при плотном налете во рту, высокой температуре и волдырях врача тоже лучше вызвать на дом, это может быть инфекция, передающаяся по воздуху.

    Внимание. Быстрое ухудшение состояния, подозрение на анафилактический шок, увеличение отека или другие угрожающие жизни состояния – все это должно заставить вызывать скорую помощь.

    Во всех остальных случаях на прием к дерматологу можно записаться в обычном порядке.

    Профилактика и уход

    При наличии аллергической реакции или воспалительного процесса на небе нужно обязательно обеззараживать полость рта как можно чаще.

    После каждого приема пищи тщательно полоскать рот.

    Избежать же заражения помогут самые обычные меры профилактики:

    • не брать чужие предметы личной гигиены;
    • чистить зубы и полоскать рот минимум дважды в день;
    • не пить слишком горячие напитки;
    • беречь слизистые оболочки и не допускать их травмирования.

    Волдырь на небе может быть как следствием травмы, ожога, так и симптомом болезни, в том числе и опасной. При появлении пузырьков на небе нужно обязательно обратиться за помощью в больницу для диагностирования болезни и назначения необходимого лечения.

    Возможные причины образования пузырьков во рту

    Волдыри на небе, губах, щеках: профилактика, симптомы, лечение

    Заболевания полости рта встречаются не только у ребенка, но и у взрослого человека. Они часто сопровождаются болью, доставляют неудобство во время еды и эстетический дискомфорт.

    Справиться с таким патологическим процессом, а также устранить неприятные проявления можно только после выявления причины появления и с помощью правильных врачебных рекомендаций.

    Возможные причины пузырьковых образований

    Различные волдыри во рту и на губах сигнализируют о развитии в организме внутреннего заболевания или инфекции. В некоторых случаях подобные образования возникают вследствие бытовых повреждений.

    Основные причины образования пузырей:

  • Ожоги. Появление их чаще всего происходит вследствие приема горячих напитков. В этом состоянии слизистая рта сначала приобретает красноватый оттенок, а затем только формируются пузыри. Терапевтические методы заключаются в применении противовоспалительных гелей и полосканий.
  • Герпетический стоматит.Герпетический стоматитЭто заболевание имеет вирусное происхождение. Оно сопровождается общим недомоганием, повышенной температурой, жжением на внутренней стороне слизистой рта, красными точками на верхнем небе и появлением пузырей. Тактика лечения зависит от типа вируса.
  • Дерматит Дюринга (герпетиформный).Заболеванию присуще появление на небе, внутренней стороне щек различных по виду и форме пузырьков. Патология в большинстве случаев протекает в хронической форме, поэтому часто рецидивирует после исчезновения основных симптомов.
  • Пузырчатка. Подобный диагноз выявляется еще в детстве.Лечебные мероприятия подбираются с учетом формы болезни (простой или дистрофической), поэтому могут проводиться курсом или выполняться при появлении симптомов.
  • Вирус Корсаки. Болезнь встречается в детском возрасте до 5 лет. После выздоровления формируется иммунитет к вирусу, поэтому заразиться им повторно нельзя.Характерными симптомами болезни являются мелкие пузырьки на ногах, руках и во рту.
  • Эритема. Для этого заболевания характерно воспаление слизистых оболочек. В острой фазе происходит появление волдырей, папул или пузырьков, которые вызывают не только недомогание, повышение температуры, боль, но и затрудняют прием пищи.
  • Сахарный диабет.Известно, что это заболевание сопровождается различными неприятными симптомами, включая кожные проявления и образования в полости рта.
  • Инфекционные заболевания, включая сифилис и скарлатину.
  • Повреждения инородными предметами поверхности слизистой во время чистки зубов, прикусывания или других травм.В таких случаях может появиться кровяной волдырь.
  • Заболевания системы пищеварения, сосудов, сердца.
  • Гиповитаминоз.
  • Реакция на химиотерапию.
  • Иммунодефицит.
  • Злокачественные образования.
  • Болезни почек.
  • Нарушения в функционировании органов дыхания.
  • Патологии щитовидной железы.
  • Нарушения обмена веществ.
  • Стрессы.
  • Хроническое переутомление.
  • Некоторые из перечисленных причин сами по себе не представляют опасности для человека. Угрозой считается скопившаяся в них жидкость, поскольку она содержит бактерии или вирусы.

    Такие патогенные микроорганизмы после самопроизвольного вскрытия пузырьков проникают в образовавшиеся раны и могут привести к осложнениям. Во избежание подобной ситуации важно своевременно проконсультироваться с врачом и подобрать соответствующее лечение.

    Как определить болезнь по внешнему виду и ощущениям?

    В зависимости от места расположения в полости рта пузырик вызывает различные симптомы:

    • болезненность в процессе пережевывания пищи, если волдырь вскочил на языке или деснах;
    • боль, ощущаемая во время улыбки, возникающая вследствие появления пузырьков на слизистой;
    • дискомфорт, вызванный образованием волдырей в ротоглотке, в области корня языка или вверху гортани.

    Признаки воспаления и болячки на деснах и слизистой полости рта:

    • возвышение бугорка над слизистой;
    • покраснение области вокруг появившегося бугорка;
    • отечность окружающих тканей.

    При отсутствии вышеперечисленных симптомов можно предположить, что прозрачные пузырьки во рту вызваны не воспалением. Для определения причины в таких случаях требуется посетить дерматолога. В противном случае самолечение может привести к опасным осложнениям.

    Симптомы проявлений, которые можно выявить в процессе осмотра полости рта:

  • Пятно. Внутренние участки слизистой на щеке меняют цвет, при этом не возвышаются над уровнем ее поверхности. Основная причина пятен – аллергическая реакция.
  • ПапулыЯзык при скарлатине– маленькие образования в форме шара, заполненные жидкостью. Они прозрачные и характеризуются течением незначительного воспалительного процесса, поразившего окружающие участки. Папулы могут появиться из-за царапины от пищи, а также укола в слизистую.
  • Бугорок. Внешне такое образование имеет сходство с пузырьками, но не содержит в себе жидкость.
  • Узел. Он представляет собой плотное на ощупь образование, возвышающееся над поверхностью кожи. Жидкости внутри узла нет. Частой причиной является патология слюнных желез.
  • Волдыри. Они относятся к поверхностным образованиям, содержащим внутри жидкость. Частая причина их появления – ожог.
  • Язва – рана округлой формы. Она имеет различные размеры и углубления. Причины появления разнообразны, но чаще всего развитие язвы происходит вследствие какого-либо заболевания.
  • Что делать при обнаружении пузырька?

    Заметив образование в полости рта, необходимо выполнить следующие действия:

  • Определить внешние проявления пузырька.
  • Вспомнить примерное время его появления.
  • Предположить, с чем связано формирование образования.
  • Обработать антисептическими средствами участки на мягком небе, складки слизистой, на которых возникли пузырьки. При видимом положительном результате нужно продолжить выполнять эти процедуры. Если эффективности от подобного лечения нет, то не стоит пренебрегать врачебной помощью.
  • Для определения тактики терапии необходимо уточнить причину появления образований во рту. Поставить верный диагноз могут стоматологи, терапевты или дерматологи.

    Специалисты проведут опрос пациента, осмотр появившихся пузырьков, назначат прохождение лабораторных исследований. Опытный врач способен определить болезнь даже при первой консультации, а дополнительное обследование понадобится только для подтверждения диагноза.

    Способы лечения

    Терапия зависит от этиологии происхождения пузырьков и включает проведение следующих лечебных мероприятий:

  • Применение антибактериальных и дезинфицирующих препаратов, антисептиков. Метод используется для лечения инфекционных пузырьковых высыпаний. Препараты пагубно воздействуют на бактерии, вызвавшие появление образований. Нередко терапия требует госпитализации.
  • Использование препаратов, оказывающих местное воздействие, для обработки травмированных участков. Средства выступают в качестве профилактики формирования новых образований и устраняют уже имеющиеся возвышения.
  • Применение анестезирующих средств.
  • Обработка слизистой раствором фурацилина, марганца, соды, соли, направленные на местное воздействие. Они помогают устранить симптомы развившегося воспаления и болевые ощущения. Многие растворы подавляют активность стафилококков и стрептококков.
  • Прием противовирусных препаратов, если причина высыпаний во рту связана с герпесной активностью. Может быть назначено комбинированное лечение, включающее не только таблетки, но и мази.
  • Некоторые пациенты отдают предпочтение народным способам, игнорируя врачебные рекомендации.

    Такой подход к лечению многих заболеваний может привести к осложнениям, поскольку большинство патологических процессов не проходит самостоятельно и требует проведения медикаментозной терапии.

    Народные рецепты рекомендуется использовать в комплексе с фармацевтическими препаратами, но после согласования с врачом.

    Популярные домашние способы:

  • Полоскать рот настоем зверобоя. Процедуру следует выполнять до 5 раз в день. Для приготовления раствора требуется засыпать столовую ложку сухого зверобоя в литр кипяченой воды.
  • Измельчить листья алоэ до состояния кашицы. Полученную смесь нужно прикладывать к пораженным участкам на 2 минуты 1 раз в течение суток.
  • Смешать сок из яблока и чеснока в равных пропорциях, затем прокипятить его 5 минут и принимать внутрь по 100 мл трижды в день.
  • Прикладывать ромашковый компресс к пораженным участкам 4 раза в день.
  • Обрабатывать несколько раз в день пузырьки мазью, приготовленной из сока алоэ, измельченного капустного листа и яичного белка.
  • К образованиям, появившимся на внутренней поверхности щек, следует относиться с осторожностью. Они могут быть наполнены кровью, поэтому их травмировать нельзя.

    Осложнения и профилактика

    Профилактические меры считаются лучшим лечением многих заболеваний, так как снижают риск развития патологических процессов.

    К ним относятся следующие рекомендации:

    • соблюдать гигиену в полости рта;
    • вовремя начинать лечение болезней;
    • мыть руки с мылом;
    • использовать правильно подобранную зубную щетку, чтобы не травмировать десна и слизистую;
    • обогащать рацион витаминами.

    Любые образования во рту могут сигнализировать о серьезных нарушениях здоровья. При присутствии осложнений (температура, боль при глотании, увеличенные лимфоузлы и прочее) в течение двух суток с момента их появления нужно посетить врача. Игнорирование врачебной помощи может привести к распространению воспаления в подкожные ткани шеи, лимфоузлы нижней челюсти, ротоглотки.

    Пузырьки во рту на слизистой: прозрачные и белые, лечение

    Волдыри на небе, губах, щеках: профилактика, симптомы, лечение

    В этой статье описаны все возможные причины появления пузырьков во рту на слизистой оболочке и эффективные способы лечения возникшей патологии.

    Первым признаком, который позволяет заподозрить возникновение образования во рту является ощущение инородного предмета.

    В зависимости от своего расположения пузырёк будет вызывать различные симптомы:

  • Боль при пережёвывании пищи в случае расположения пузырька на дёснах или языке.
  • Боль при разговоре или улыбке возникает при возникновении пузырька на внутренней поверхности губ.
  • Боль и ощущение застрявшей рыбьей косточки в горле возникает в случае расположения пузырька на корне языка, в ротоглотке или верхней части гортани.
  • Если посмотреть на новообразование, то можно увидеть и оценить характер изменений в ткани:

  • Возвышение над уровнем слизистой в виде бугорка.
  • Покраснение вокруг возвышения.
  • Отёчность ткани вокруг возвышения.
  • 3 вышеперечисленных признака зачастую являются признаками воспалительного процесса и требуют внимательного наблюдения за течением заболевания с целью своевременного и правильного назначения лечения.

    Стоит отметить, что пузырёк может быть не только воспалительного характера.

    Если формирование пузырька и его присутствие не сопровождается болью, покраснением, отёчностью ткани слизистой оболочки, то причиной пузырька является не воспалительный процесс, что сужает круг возможных причин и кардинально меняет направление лечения.

    В этом случае необходимо обратится к врачу-дерматологу, который оценит состояние вашего здоровья. Самостоятельно лечиться в таком случае опасно для здоровья.

    Особенности внешнего вида и диагностики новообразований

    Для того, чтобы определить истинную причину возвышения слизистой во рту, необходимо посмотреть на него со стороны при дневном свете, хотя зачастую с первого взгляда все изменения на слизистых очень похожи, но всё же отличия имеются.

    Пузырек возникает при скарлатине, аллергии на продукты питания или при использовании некачественной зубной пасты.

    Виды изменений кожи, которые могут возникнуть на поверхности ротовой полости:

  • Пятно – изменение цвета кожи, которое не возвышается над поверхностью кожи. Причиной может быть банальная аллергическая реакция.
  • Папула – маленькое шаровидное образование на слизистой, которое полностью заполнено жидкостью. Зачастую имеет прозрачный цвет и сопровождается незначительным воспалительным процессом вокруг. Причиной такого изменения может быть укол или царапина слизистой пищей.
  • Бугорок – по внешнему виду очень напоминает папулу или пузырёк, но не содержит внутри себя жидкость. Неудачное прикусывание щеки между зубами может спровоцировать длительное заживление раны, что приведёт к формированию бугорка.
  • Узел – плотное образование, которое не содержит жидкость и очень сильно возвышается над поверхностью кожи. При пальпации узел чётко прощупывается и зачастую имеет шаровидную форму. Такая картина встречается при патологии слюнных желёз. Стоит обратиться к челюстно – лицевому хирургу.
  • Волдырь – поверхностное образование, при рассматривании которого виднеется накопление жидкости под верхним слоем кожных покровов. В случае ротовой полости под неороговевающим эпителием. Такая патология возникает после ожога горячей пищей или воздухом.
  • Пузырёк – это папула, которая имеет на поверхности капсулу с жидкостью. Чаще, эта жидкость прозрачного или белого цвета.
  • Язва – округлая рана, которая имеет внутри углубление и огрубевшие края. Может быть различных размеров. Причиной язвы могут быть очень много местных и общих заболевания, поэтому при длительно незаживающей язве необходимо обратиться к стоматологу или врачу – хирургу.
  • Каждое из  образований имеет свою причину появления, что очень влияет на дальнейшее лечение.

    Как определить по внешнему виду и ощущениям?

    Причинами изменений в слизистой ротовой полости может быть очень много факторов, которые условно можно разделить на 2 группы:

  • Группа причин общего характера: сахарный диабет, скарлатина, сифилис, ВИЧ – инфекция.
  • Группа причин местного характера: нанесение травмы слизистой инородным предметом (карамель, зубочистка), рост зуба в неправильном положении, стоматит, прикусывание одного из участка слизистой оболочки между челюстями, местное проявление герпес – инфекции.
  • В зависимости от того, что является причиной возникновения пузырька и к какой из групп относится новообразование и назначается лечение.

    Для первой группы характерны применения лекарственных средств общего действия и лечение в стационарных или амбулаторных отделениях.

    Для лечения пузырьков 2 группы применяются препараты местного действия, которые действуют непосредственно на образование на слизистой поверхности. Эти лекарственные средства устраняют причину заболевания, что является профилактикой появление новых пузырьков и устраняют уже существующие возвышения.

    Что делать при обнаружении пузырька?

  • Определить внешний вид образования.
  • Предположить время его возникновения.
  • Предположить причину его возникновения.
  • Обработать ротовую полость местным антисептическими препаратами 4-5 раз в сутки.
  • Через 12- 16 часов оценить действие антисептических средств, при положительном результате продолжить лечение. Если результат отрицательный обратиться за медицинской помощью.
  • Не стоит пренебрегать лечением в столь деликатной проблеме, так как человек существо социальное и его внешний вид может очень сильно повлиять на судьбу.

    Способы лечения

    Для лечения пузырьков первой группы применяют антибиотикотерапию широкого спектра. Назначение этого лечения предусматривает борьбу с причиной заболевания, которой зачастую становятся микроорганизмы внутри человеческого тела.

    Для местного лечения лучше использовать растворы фурацилина, слабый раствор марганца.

    Они вызывают заболевание, одним из симптомов которого будет поражение полости рта. В таких случаях помимо местного поражения будут симптомы общей интоксикации, увеличение лимфатических узлов, иногда сыпь в других местах кожных покровов.

    Хорошим дополнением общего лечения является применение для ротовой полости анестезирующих, дезинфицирующих и антисептических растворов местного назначения. Они быстро устранят симптомы воспаления и боли, что улучшит самочувствие.

    Для лечения пузырьков 2 группы лучше применять препараты исключительно местного действия. Это позволит снизить возможные побочные эффекты препаратов общего действия и обеспечить быстрое выздоровление.

    Если нет возможности приобрести раствор марганца и фурацилина, можно использовать просто содо-солевые растворы, которые отлично справляются со стафилококками и стрептококками. Именно эти бактерии зачастую вызывают большинство воспалительных процессов в ротовой полости.

    Пригерпес – инфекции лучше использовать комбинированное противовирусное лечение, которое состоит мази, таблеток и витаминов.

    Осложнения и профилактика

    Образования в ротовой полости являются признаком серьёзного нарушения состояния здоровья. Поэтому если в течение 24-48 часов состояние не улучшилось, необходимо срочно обратиться к участковому терапевту, который определит причину данного симптома и направит к нужному специалисту.

    Промедление оказания медицинской помощи может привести к распространению воспалительного процесса в подкожно — жировую клетчатку шеи, лимфатические узлы ротоглотки и нижней челюсти.

    Профилактика является лучшим лечением любого заболевания, поэтому применение только мытых овощей и фруктов, очищение ротовой полости от остатков пищи после еды, чистка зубов и полоскание рта 2 раза в день позволят значительно снизить риск воспалительных процессов.

    Насколько опасны волдыри во рту и на внутренней стороне щеки? Причины, эффективная тактика лечения

    Волдыри на небе, губах, щеках: профилактика, симптомы, лечение

    Это неприятное явление беспокоит как детей, так и взрослых, доставляет дискомфорт и вызывает болевые ощущения во время приема пищи.

    Поражение слизистой оболочки рта и появление россыпи мелких пузырьков способствует появлению зуда и жжения, особенно болезненно переносят эти симптомы маленькие дети.

    Не зря врачи считают, что состояние полости рта – это зеркало, отражающее состояние здоровья пациента. Оказать первую помощь человеку, страдающему этим недугом, можно с помощью народных средств в домашних условиях.

    После лечения необходимо соблюдать профилактические меры, для того, чтобы волдыри во рту больше не возникали. Как выглядит обычный и кровавый волдырь во рту, что это вообще такое, и как действовать, чтобы вылечить проблему?

    Волдыри во рту

    Волдыри во рту представляют мелкие белые или прозрачные пузырьки, расположенные на слизистой оболочке ротовой полости. Обычно появляются небольшими группами. Пораженные участки покрываются налетом желтого или белого цвета.

    Первые симптомы возникновения волдырей во рту:

    • зуд, жжение и покалывание в ротовой полости;
    • появление болевых ощущений во рту;
    • дискомфорт при пережевывании пищи;
    • легкое опухание тканей;
    • сухость в ротовой полости.

    Волдыри во рту: причины

    Если вас беспокоят волдыри во рту, от чего они появились, нужно узнать первым делом. Появление пузырьков на слизистых оболочках ротовой полости может свидетельствовать о наличии заболеваний и проникновение инфекций и вирусов в человеческий организм.

    Появление прозрачных и красных волдырей во рту чаще всего вызвано такими проблемами, как:

    • заболевания желудочно-кишечного тракта;
    • неправильная работа органов дыхательной системы;
    • проблемы с гормонами щитовидной железы;
    • нарушенный обмен веществ;
    • заболевания почек;
    • сбои в работе сердечно-сосудистой системы;
    • снижение иммунитета;
    • гиповитаминоз;
    • несоблюдение личной гигиены, попадание в ротовую полость загрязненных инородных предметов;
    • аллергические реакции;
    • ожоги ротовой полости горячей едой и напитками;
    • реакция на химиотерапию;
    • переживания, стрессы, навязчивые состояния;
    • хроническое переутомление.

    Первая помощь

    Бороться с этим недугом, несомненно, нужно с помощью врача, который проведет диагностику и установит истинную причину появления во рту таких образований, как волдыри. Независимо от размера и количества пузырьков, необходимо немедленно обратиться к специалисту.

    Можно использовать аптечные средства, антисептики, мази для обеззараживания и специальные растворы для полоскания. Эти лекарства успокоят раздраженную слизистую оболочку рта, уменьшат раздражение, снизят болевые ощущения.

    Подобного эффекта можно добиться при помощи народных средств.

    Лечение пошагово

  • Диагностика, определение природы волдырей во рту.
  • Антисептическая обработка ротовой полости.
  • Назначение курса лечения от заболевания, спровоцировавшего появление волдырей во рту.
  • Применение противовирусных средств.
  • Закрепление результата, выполнение профилактических мероприятий.
  • Медикаментами

  • Новокаин. Чайную ложку оливкового масла смешать с содержимым одной ампулы лекарства, смешать с яичным белком. Полученную субстанцию наносить на пораженные участки 2-3 раза в день.
  • Аэрозоль с лидокаином. Избавит от болевых ощущений.
  • Гексорал. Таблетки обладают противовирусным обеззараживающим действием, снижают неприятные ощущения от раздражения волдырей.
  • Настойка прополиса. Ускоряет заживление мелких ранок, которые образуются после заживления пузырьков.
  • Полоскания йодинолом. Помогают при наличии волдырей, вызванных стоматитом.
  • Калгель. Снижает болевые ощущения во рту у детей при появлении образований, вызванных прорезыванием молочных зубов.
  • Ротокан.Полоскания водой с добавлением ротокана позволят облегчить симптомы жжения в ротовой полости.
  • Оксолиновая мазь. Обеззараживает, обладает антисептическими свойствами, питает пораженные участки и не дает трещинам расползаться дальше.
  • Фурацилин.Эффективное антибактериальное средство. Оказывает противовоспалительное действие, не дает инфекции поражать новые участки.
  • Народными средствами

    • Полоскания настоем зверобоя. Проводить процедуру необходимо 4-5 раз в день. На 1 литр воды необходимо засыпать в чайник 1 столовую ложку сухого зверобоя. Отвар должен иметь темно-коричневый цвет;
    • алоэ. Листья растения измельчить до состояния кашицы. Прикладывать к пораженным местам на 1-2 минуты пару раз в день;
    • яблоко и чеснок. Смешать в равных пропорциях свежевыжатый сок и измельченный чеснок. Прокипятить в течение 5-7 минут. Пить по 1/2 стакана 3-4 раза в день;
    • компресс с ромашкой. Прикладывать к местам образования волдырей (в горле, на языке) 4-5 раз в день;
    • мазь. Смешать сок алоэ, измельченный капустный лист и яичный белок. Смазывать пораженные участки на 2-3 минуты. Прополоскать ротовую полость чистой теплой водой с добавлением 1/2 чайной ложки соды.

    Особенности лечения волдырей на внутренней стороне щек

    С особой осторожностью следует подходить к лечению мелких пузырьков на внутренней стороне щеки.

    Пузырьки могут быть наполнены кровью изнутри.

    Нельзя прокалывать кровяной волдырь в полости рта и травмировать.

    Повреждение волдырей на слизистой может вызвать инфекции, сопровождаемые повышенной температурой и аллергическими реакциями.

    Кроме того такие образования можно легко повредить зубами.

    Необходимо осторожно поместить между челюстью и пораженной щекой обеззараживающий компресс и обратиться к специалисту.

    В первую очередь необходимо соблюдать правила гигиены полости рта. Каждые 3-4 месяца необходимо покупать новую зубную щетку, пользоваться зубной нитью и ополаскивателями для рта. Прием витаминно-минеральных комплексов и свежих кисломолочных продуктов, является отличной профилактической мерой против возникновения волдырей во рту.

    Стоит отказаться от курения, ограничить употребление алкогольной продукции и исключить из рациона питания полуфабрикаты и снековую продукцию.

    Любое заболевание лучше предупредить, чем лечить. Поэтому необходимо следить за чистотой ротовой полости, тщательно мыть овощи и фрукты перед употреблением в пищу и внимательно следить за детьми, которые часто любят класть в рот инородные предметы.

    Прозрачные пузырьки во рту – серьезный повод для беспокойства!

    Волдыри на небе, губах, щеках: профилактика, симптомы, лечение

    Слизистые оболочки в ротовой полости подвергаются кожным заболеваниям, и часто становятся областью первичных проявлений дерматологических патологий.

    Стоматология предусматривает изучение подобных явлений, а иногда стоматологу удается диагностировать дерматологический диагноз еще до появления симптоматики заболевания на коже.

    Одной из подобных проблем являются прозрачные пузырьки, появляющиеся во рту или на губах. Подобное явление это реальный повод для беспокойства о своем здоровье и обязательная причина для того, чтобы посетить доктора.

    Проявления таких симптомов могут быть самые разнообразные, и даже идентичные признаки у взрослого и ребенка не всегда спровоцированы одинаковыми инфекциями или вирусами. Важно уяснить – откладывать лечение «на потом» нельзя!

    Особенности нарушения

    Особенностью образовавшихся пузырей на слизистой во рту является недолговечность их существования.

    Появившись, они вскоре вскрываются, образуя эрозию – незащищенная верхним слоем слизистая становится легко доступной воздействию (инфицированию) всевозможных микроорганизмов, постоянно присутствующих в ротовой полости.

    Формируются первые признаки стоматита, обостряются болезненные ощущения, отнимающие у больного покой, сон, аппетит и саму возможность употреблять пищу.

    Проявления пузырных дерматозов

    По разъяснениям Википедии, «пузырьком» считается полостной элемент, до 5 мм в диаметре, возникший в результате ограниченногососредоточения внутри какой-либо жидкости.

    Заболевание, объединяющее клинические проявления, характеризующиеся образованием пузырей на слизистых оболочках или невоспаленной коже, носит название пузырчатка. Без адекватного лечения, патология способна охватить большие участки кожных покровов и отличается злокачественным течением.

    Термин «пузырчатка» применим к ряду болезней слизистых покровов, объединяемых сходными пузырчатыми высыпаниями, но имеющими разные показатели (наличие/отсутствие) в мазках-отпечатках акантолитических клеток, включая клинические и патологические анатомические характеристики.

    Начальная симптоматика часто локализуется во рту, при отсутствии типовых признаков на коже, что осложняет диагностику и может повлечь ошибочный диагноз.

    Классификация пузырчатки в полости рта разделена на следующие виды:

    Истинная (акантолитическая):

    • вульгарная;
    • листовидная;
    • вегетирующая;
    • себорейная (эритематозная), синдром Сенир-Ашера.

    Ложная (неакантолитическая):

    • буллезный дерматит слизисто-синеахиальный атрофирующий (пузырчатка глаз);
    • буллезный пемфигоид Левера (неакантолитическая);
    • доброкачественная неакантолитическая.

    Причины и факторы риска

    Вирусные инфекции на слизистых оболочках рта явление крайне неприятное и болезненное. Чаще всего, как поражающий фактор выступает вирусный стоматит, распространенная инфекция, объединяющая под своим началом целый перечень заболеваний, спровоцированных различными вирусами:

    • простой герпес;
    • ветряная оспа;
    • грипп;
    • парагрипп;
    • аденовирус и еще несколько иных представителей патогенных микроорганизмов.

    Аллергия, травма, инфекция – все это причины возникновения прозрачных пузырьков на слизистой рта. Добавить к факторам риска можно также авитаминоз, болезни ЖКТ, нарушения эндокринной и сердечно-сосудистой систем.

    В списке провокаторов числятся также заболевания крови, интоксикация организма, в первую очередь тяжелыми металлами. Не исключено, что пузырьки на слизистых оболочках сигнализируют о тяжелых заболеваниях, еще не проявившихся в полной мере.

    Наиболее частые причины появления патологии:

  • Герпангина. Наносит ощутимое поражающее действие в полости рта и носоглотки. Сопровождается повышенной температурой, больюпри глотании, потерей аппетита, не исключен понос. Пузырьки в ротовой полости поначалу имеют вид красных точек, позже трансформируются в волдырики, наполненные прозрачной жидкостью. Сопровождается осложнениями – разрушение оболочек мозга, негативное воздействие на сердце и печень.
  • Герпес. Носителями данного заболевания являются 95% жителей планеты, и симптоматика ее очень характерна на момент рецидива недуга. Пораженный участок зудит, затем появляется слабовыраженное жжение и дальнейшее покраснение. Через 24 часа образуются водяные прозрачные с желтизной пузырьки.
  • Афты. Появление афтозных язв в большинстве случаев – осложнения, сопровождающие другие недуги ротовой полости, впрочем, обособленное происхождение тоже не редкость. Характерная симптоматика выражена в сильных болевых ощущениях при жевании, проблемное глотание, высокая температура, лимфоузлы увеличены. Пузыри во рту являются первым признаком возникшей болезни.
  • Опоясывающий лишай. Нарушения поражают нервные волокна, болезнь стартует с боли в месте заражения, повышения температуры тела, ухудшения общего самочувствия. Спустя время болезненные участки покрывают красные отеки, трансформирующиеся через несколько дней в прозрачные пузырьки. Позже жидкость в волдыриках мутнеет, образуются корки.
  • Механические повреждения. Таких причин несколько, наиболее частые – неудачно подогнанные зубные протезы, аллергический отклик на прием лекарственных препаратов, ожег ротовой полости чрезмерно горячей пищей. Механические проблемы сопровождаются болезненностью при приеме еды, жжением, зудом и сухостью. Далее состояние ухудшается отечностью, покраснением, появляются волдыри, переходящие в эрозию или язвочки.
  • Клиническая картина: особенности и нюансы

    Для всех перечисленных выше причин имеется несколько явно выраженных клинических признаков. Наиболее важный объединяющий момент – наличие прозрачных пузырьков во рту.

    Они всегда небольшие, располагаются на щеках, языке, деснах, внутри них серозный экссудат. В то же время, возможно отсутствие общих симптомов.

    Острая фаза болезни обычно характеризуется:

    • общим недомоганием;
    • слабостью;
    • незначительным, в редких случаях существенным, повышением температуры;
    • увеличением лимфатических узлов;
    • покраснением и отечностью в ротовой полости;
    • образованием небольших пузырьков, одиночных или группами;
    • формированием эрозии на месте лопнувших пузырьков;
    • отсутствием аппетита;
    • сложностью с приемом пищи;
    • ноющими болевыми ощущениями, жжением, зудом, неприятным запахом.

    Диагностический подход

    Чтобы определиться, как и чем можно вылечить пузырьки во рту, следует получить подтверждение диагноза заболевания, уточнить причины его появления.

    Без помощи врача разобраться не получится. Обратиться за помощью можно к трем специалистам: стоматолог, дерматолог или терапевт. Диагностика предусматривает опрос пациента, осмотр внешних проявлений, исследования в лаборатории.

    Именно обследования мазков-отпечатков из ротовой полости дают наиболее ценную информацию о патологии. Хотя опытный специалист способен определить проблему визуальным освидетельствованием, а проведение анализов проводится только для подтверждения первичного диагноза.

    Что можно сделать дома?

    Самостоятельно, в домашних условиях человек не сможет оказать себе полноценную помощь. Необходимо следовать, назначенному доктором лечебному курсу – это единственно верное решение.

    И, все же, если к врачу обратиться еще не успели, а облегчить состояние как-то надо, то возможно использовать для полости рта полоскания содовым раствором или отваром из трав.

    Хорошо подойдет для этих целей ромашка и шиповник, которые обладают противомикробными и противовоспалительными качествами. Неплохой вариант – настойка прополиса.

    Средства народной медицины могут отлично сочетаться с медициной традиционной, хотя не стоит при этом забывать советоваться с врачом. Рецептов существует множество, и каждый направлен на определенное заболевание.

    В основном рекомендуют сборы трав для устранения отечности и воспаления, или те, которые имеют противовирусную направленность.

    Наряду с этим очень полезен цветок, часто встречающийся на подоконниках. Алоэ или каланхоэ можно использовать как примочки. Необходимо срезать небольшой листик растения или часть его. Очистив от кожицы, мякоть прикладывают на место высыпания.

    Через несколько минут желательно обновить срез, чтобы снова приложить целебный сок к ранкам.

    Что предлагает традиционная медицина?

    Лечение прозрачных пузырьков во рту рассчитано на полную ликвидацию провоцирующего фактора. Неприятные симптомы лечат параллельно с заболеванием-провокатором, вызвавшим воспаления слизистых и появление волдырей.

    Срок лечебного процесса длится от четырнадцати до тридцати дней, а назначения напрямую зависят от диагностированного специалистом заболевания:

  • Афтозные язвы рекомендуют лечить местными препаратами, в числе которых антисептики, противовирусные, заживляющие. Острыеинфекционные патологии требуют системного подхода и специфической терапии (применение антибиотиков) под наблюдением лечащего врача. Для санации рта применяют гели или полоскания (Холисал, Хлорфиллипт).
  • При кандидозе хорошо помогают противогрибковые препараты – Флуконазол, Полиженакс, Нистатин, Пимафуцин, Клотримазол принимают внутрь. Раны обрабатывают мазями, растворами, спреями.
  • При частых повторах вспышек герпеса или при остром течении болезни, рекомендуются антивирусные средства для приема перорально. Начать прием лекарств желательно уже на первой стадии, в первые сутки после появления симптомов. Анестетики, местного действия (Лидокаин, Каопектат) в целях защиты покровов десен и неба также применяют при диагностировании во рту герпетических проявлений, иногда назначают еще и обезболивающие препараты (Ацетаминофен, Ибупрофен Адвил, Мотрин и пр.).
  • Пузырчатка заболевание аутоиммунное, поэтому лечение ее предусматривает прием кортикостероидных гормональных средств, и заключается в двух фазах: абсолютное прекращение появления новых высыпаний, проходит в стационаре; продолжительная амбулаторная терапия (поддерживающие дозы), проводится при диспансерном наблюдении.
  • Эффективны полоскания, с применением раствора Мирамистин. Для скорейшего выздоровления и повышения иммунитета дополнительно к основному лечению рекомендуются витаминные комплексы либо иммуностимулирующие средства (Декарис, Имудон). В случаях сильно выраженной болезненности прописывают обезболивающие гели.

    Возможны ли осложнения?

    Стоит сразу сказать, что сами по себе прозрачные пузырьки во рту осложнений не вызывают, но при отсутствии лечебных мер может начаться нагноение, что само по себе малоприятно.

    Большие проблемы начинаются, если не вылечить основное заболевание, спровоцировавшее появление волдырей с прозрачной жидкостью внутри.

    О профилактике

    Профилактика, так же как и лечение, будет зависеть от причин заболевания. Но, есть несколько общих правил, подходящих на все случаи:

    • следует соблюдать гигиену ротовой полости;
    • своевременно лечить любые заболевания, связанные со ртом;
    • перед едой тщательно мыть руки с мылом;
    • выбирать правильную зубную щетку (не травмирующую десна);
    • обогатить рацион свежими овощами, ягодами и фруктами.

    Причиной какого заболевания является прозрачный пузырь на губе

    Волдыри на небе, губах, щеках: профилактика, симптомы, лечение

     

    Волдырь на губе — это новообразование, что может быть косметическим дефектом или симптомом заболевания. Важно вовремя обратиться к врачу, чтобы диагностировать и вылечить его.

    Причины и симптомы появления волдырей

    Новообразование на губе могут выскочить в любое время, причиной станут внешние или внутренние воздействия.

  • Частая причина сыпи на лице – аллергия. Косметические средства, гели, растворы для полоскания рта, зубные пасты, уколы с гиалуроновой кислотой содержат химические соединения, которые могут вызвать аллергическую реакцию. Характерные симптомы: появляется небольшой зуд, потом – мелкая красная сыпь, отек и трещины. Жизнеугрожающее состояние – отек Квинке. Все мягкие ткани лица и носоглотка отекают, человек ощущает сдавливание горла, нехватку воздуха. Это состояние требует неотложной помощи.
  • Закупорка сальных желез. При несоблюдении правил гигиены или проблемной коже поры лица забиваются, а жир не выходит наружу. На лице можно увидеть белые безболезненные вдувшиеся прыщики с четкими границами. Когда присоединяется бактериальная флора, возникает воспаление, повышается температура тела, выходит гной с жирным секретом.
  • Механическое повреждение слизистой рта (конфеты, соль, сахар, зубы с острыми краями, случайный прикус губы). На слизистой оболочке надувается маленький водянистый пузырек. Вскоре он лопается, и возникает рана, которую могут заселять бактерии.
  • Вирусные заболевания. Прозрачный пузырь на губе свидетельствует о герпесе. Вирус простого герпеса тропен к нервным клеткам. Он проникает в генетический аппарат человека и больше никогда не покидает его. Если заболеть хотя бы раз герпесом, то полностью излечиться не сможете. Инфекция рецидивирует на протяжении всей жизни. Симптомы: на губе располагается много мелких водяных пузырьков с прозрачным содержимым на воспаленном основании. Потом волдыри лопаются, и образуются язвочки. Их часто можно встретить в уголках губ.
  • Гормональный дисбаланс, менструации. У женщин при патологии эндокринной системы часто выскакивают черные точки.
  • Снижение иммунитета (при ВИЧ-инфекции, гепатите, туберкулезе), недостаточность витаминов.
  • Частые переохлаждения.
  • Стоматит – воспаление слизистой полости рта. Раньше считалось, что болеют только дети. В современном мире часто стоматит сопровождает взрослых. Локализация – внутренняя поверхность губ, щек, под языком, на небе, миндалины. На пораженном участке возникают покраснения, которые болят. На следующий день – язва с ровными и четкими краями, вокруг нее – покраснения. На ране видна тонкая белая пленочка. Образование болезненное, мешает кушать и разговаривать.
  • Мозоли младенцев. Многие молодые мамы обеспокоены наличием водянистых образований на верхней губе новорожденного ребеночка. Пузыри наполнены прозрачной жидкостью. Малыши натирают мягкую кожу во время кормления грудью. Образования быстро проходят благодаря хорошо развитому регенеративному слою клеток, и мамам не о чем беспокоиться.
  • Ретенционная киста нижней губы. При повреждении слизистой ротовой полости или воспалении образуется единичный пузырь. Пузырек имеет розовый цвет или налит кровью, безболезненный.
  • Микротравмы слизистой полости рта. Имеют вид кровяных пузырьков.
  • Особенности локализации

    Прыщи имеют разное местоположение. В зависимости от локализации можно выделить:

    • волдырь на внутренней стороне губы (стоматит, герпес, кандидоз);
    • на внешней стороне рта (герпес, атеромы);
    • сыпь в нижней области (аллергии);
    • высыпания над верхней губой (неврит лицевого нерва);
    • в углах и вокруг рта (стресс, пмс, гормональные нарушения).

    Виды пузырьков на губе

    При внешнем осмотре врач может заподозрить заболевания. Не занимайтесь диагностикой образования по фото в интернете. По структуре различают:

    • пузырек белого цвета имеет головку с гнойным содержимым. Причину нужно искать внутри организма (инфекция, стресс, витаминная недостаточность);
    • прыщ красного цвета выскакивает при аллергической реакции. Имеет вид пузырьков, очень зудит;
    • группа водянистых волдырей снаружи свидетельствует о заражении герпесом. Характерно, что до высыпания за несколько дней больной ощущает зуд и жжение;
    • прыщи на внутренней стороне щек, языке называются афтозными. Наиболее часто так проявляется стоматит, он может болеть;
    • кровяные прыщики (при травме, гемангиомах).

    Варианты лечения

    Появление на губах волдырей – деликатная проблема, с которой хочется справиться как можно быстрее.

    Что делать, когда в самый неподходящий момент вылез прыщ на губе? Главное условие – не выдавливать! Можно с грязными руками занести инфекцию.

    В зависимости от причин, выбирают дальнейшую тактику лечения. Кисту необходимо удалить хирургическим путем, другие заболевание лечатся консервативно.

    Аптечные препараты

    При аллергии необходимо сменить косметические средства и после консультации врача пропить противоаллергические средства (эриус, цетрилев, тавегил). Противогерпетические лекарства – ацикловир, валацикловир в виде мази и таблеток. Чтобы уменьшить болевые ощущения, применяют лидокаин, бензокаин. Снизить количество рецидивов поможет вакцинация.

    Стоматит лечат антисептиками (мирамистином, гивалексом). Афты обрабатывают гелями (стоматофит А, солкосерил). Сбои в работе эндокринной системы может выявить только врач и назначить соответствующее лечение.

    Народные методы

    Дешевле и проще вариант лечения на дому – народные средства. Они должны использоваться в комплексной терапии с лекарствами. Водянку на слизистой оболочки рта в домашних условиях лечат так: налаживают на пузырьки внутреннюю пленку яичной скорлупы или серную пробку. Полезно полоскать ротовую полость растворами ромашки, календулы, череды, шалфея. Делают компрессы с каланхоэ и алоэ.

    Возможные осложнения и профилактика появления

    Пузырек на губе может вызвать осложнения:

  • Хронизация процесса. Если вовремя не выяснить причину и не лечить ее, то заболевание будет рецидивировать все чаще и чаще.
  • Возникновение абсцессов и флегмон на лице. Формируются при инфицировании волдыря бактериальной микрофлорой.
  • Эндокринные заболевания. При несвоевременном обращении к специалисту могут быть серьезные нарушения со стороны гормональной системы.
  • Для профилактики патологии необходимо вести здоровый образ жизни, избегать переохлаждения, употреблять сбалансированное питание, пользоваться только проверенными косметическими средствами, соблюдать личную гигиену.

    Главное – вовремя обратится к врачу (дерматологу, невропатологу, стоматологу, инфекционисту). Квалифицированный специалист поможет вылечить и не запустить заболевание, найти и убрать причину.

    Если пузырик возник на губе у ребенка, не занимайтесь самостоятельным удалением, обратитесь к врачу, чтобы исключить неприятные осложнения и регенерационную кисту.

    Понравилась статья? Поделиться с друзьями:
    Все о сантехнике
    1 / 9
    2 / 9
    3 / 9
    4 / 9
    5 / 9
    6 / 9
    7 / 9
    8 / 9
    9 / 9