Волдыри на половом члене: причины появления, возможные последствия

Волдыри на половом члене: причины появления, возможные последствия

Мужчины любого возраста довольно часто сталкиваются с высыпаниями волдырей на половых органах, представляющих собой мелкие пузырьки, в которых находится белая или прозрачная жидкость. Причины их появления могут быть самыми разными.

Необходимо обратиться к врачу, чтобы правильно диагностировать возможное заболевание и подобрать подходящие методы лечения. Также существуют некоторые профилактические правила, соблюдая которые можно избежать появления высыпаний на гениталиях.

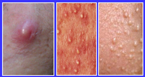
Внешний вид волдырей, образовавшихся на половом члене, может быть разным. Для некоторых заболеваний характерно появление мелкой сыпи, для других — крупных пузырей, содержащих внутри жидкость. При механических травмах и ожогах чаще всего образуется один большой волдырь с лимфой внутри.

Если вовремя не обратиться к врачу, то состояние мужчины может усугубиться. Нельзя терять времени и экспериментировать с методами лечения в домашних условиях, так как заболевание прогрессирует.

К основным причинам появления волдырей на кожных покровах полового члена относят следующие.

Заболевание передается половым путем. Характеризуется появлением пузырьков с жидкостью, из которых образовываются болезненные язвы. Локация высыпаний при генитальном герпесе — половой член и его головка.

Симптоматика: боль, зуд, жжение, образование язв, покраснение.

Причины, способные спровоцировать баланопостит, могут быть самыми разными, начиная от раздражения и заканчивая эрозией либо гангреной.

Симптомы: боль, жжение, образование трещин, покраснение, нарост бугорков.

Аллергия возможна в том случае, если молодой человек пользуется презервативами, гигиеническими средствами, бельем или смазкой из некачественных материалов либо содержащих сильные аллергены.

Симптомы: зуд, покраснение, дискомфорт, боль, жжение, сыпь.

При некоторых видах механических травм на пенисе мужчины могут образоваться водянистые пузырьки, содержащие внутри лимфу. Чаще всего это происходит из-за ожога, защемления или сильного удара по гениталиям. Также волдырь может появиться после полового акта, если во время его свершения головка была сильно защемлена, на нее оказывалось большое давление.

Симптомы: зуд, боль, дискомфорт.

Импетиго является инфекцией, провоцируют которую стрептококки или стафилококки. Проявиться может по причине несоблюдения правил личной гигиены, а также из-за присутствующих на коже гениталии трещин и микротрещин.

Симптомы: появление корочек, имеющих золотистый или желтый цвет.

В периоды обострения данной болезни у мужчины на члене и коже вокруг члена появляются волдыри серого, белого или желтого оттенка.

Симптомы: сильный зуд, образование чешуек.

У пациента, страдающего от сифилиса, волдыри могут появляться не только на гениталиях и в паху, но и на ступнях, ладонях.

Симптомы: повышение температуры тела, образование шанкра, общее недомогание.

При хронической форме заболевания у мужчины нередко образовывается сыпь в паху. Локация высыпаний — лобок, член, головка, крайняя плоть, тестикулы, анальная область.

Симптомы: боль, зуд, раздражение, дискомфорт.

Кандидоз, или молочница, является грибковым заболеванием, появляющимся по самым разным причинам — из-за несоблюдения правил гигиены, незащищенного полового акта, неправильного ухода за собой и тому подобного. Волдыри на члене способны образовываться только в запущенной стадии заболевания.

Симптомы: зуд, боль, жжение, краснота, раздражение, сыпь, рези при эякуляции, затрудненное мочеиспускание.

Паховая эпидермофития — это заболевание инфекционного характера, при котором у мужчины на половых органах образуются волдыри небольшого размера с коркой наверху. Наиболее часто высыпания появляются в местах обильного потоотделения — в паху, в анальной области, а также на самом половом члене. Если вовремя не заняться лечением болезни, то размер и количество пузырьков увеличится.

Симптомы: розовые пятна, зуд, появление складок кожи, воспалительный процесс.

В период обострения данного заболевания на гениталиях и коже вокруг них могут появляться волдыри, представляющие собой пузырьки без наполнения внутри.

Симптомы: легкий зуд, дискомфортные ощущения, изменения цвета кожи.

Патология проявляется в виде чешуйчатой сыпи. Причиной тому – нарушенный щелочной баланс кожи и повышенная потливость.

Симптомы: сильный зуд, дискомфортные ощущения, сухость кожи.

Для заболевания характерно образование мелких пузырьков, которые могут лопаться самопроизвольно. На их месте образовываются язвы и эрозии.

Симптомы: повышенная температура тела, обезвоживание, общее недомогание, дискомфортные ощущения.

Диагностические мероприятия должен производить врач, нельзя ставить себе диагноз самостоятельно.

При постановлении диагноза учитываются другие симптомы, самочувствие пациента, визуальный осмотр его паховой области.

Нередко специалист назначает и другие процедуры — взятие биологического материала или крови на анализ, микроскопические исследование, тест на аллергены, бактериальный посев и тому подобное.

Лечение волдырей на гениталиях может варьироваться в зависимости от поставленного диагноза. Самостоятельно проводить терапию мужчина может лишь в том случае, если точно знает причины появления образований на коже пениса.

Медикаментозные препараты наружного применения помогают снять отек, покраснение, раздражение, боль, зуд и дискомфортные ощущения. В большинстве случаев они не вылечат патологию, а лишь снимут симптомы.

В каждом индивидуальном случае специалист назначит конкретное средство, опираясь на историю диагноза и результаты анализов. Нет единых препаратов, способных вылечить и молочницу, и аллергию, и баланопостит, и сифилис, поэтому дать обобщенных рекомендации невозможно.

Мужчина, страдающий от образования волдырей на половом члене, может воспользоваться противовоспалительными и успокаивающими гелями, кремами, мазями общего назначения. К ним относят следующие:

Средство Описание Способ применения Афлодерм Обладает противовоспалительными свойствами, снимает зуд и жжение кожных покровов Мазать на пораженный участок 2–3 раза в сутки обильным слоем Пантенол Успокаивает кожу, снимает красноту и предотвращает распространение от высыпаний Наносить на поверхность кожи гениталий 3 раза в сутки Эплан Быстро заживляет кожные воспаления, снимает жжение, зуд и боль Смазывать воспаленную кожу около 2 раз в сутки, втирать массажными движениями до полного впитывания

Лекарственные препараты для приема внутрь рекомендуется принимать только по назначению лечащего врача. Иногда пациентам прописывают иммуностимулирующие средства и витаминные добавки.

Из народных средств, способных помочь в заживлении волдырей и предотвращении их распространения, можно выделить три наиболее эффективных настоя:

  • 1. Из березовых листьев и почек. Листья и почки березы залить кипятком и дать настояться в течение суток. Жидкостью пропитать марлю или ватный диск, после чего приложить к проблемной зоне. Повторять данную процедуру трижды в сутки.
  • 2. Из редьки и чеснока. Чеснок и редьку натереть на мелкой терке в равных количествах. Кашицу нанести на проблемные участки кожи. Повторять процедуру 2–3 раза в день в течение 10–15 минут до тех пор, пока высыпание не исчезнет полностью.
  • 3. Из целебных трав. Необходимо предварительно подготовить зверобой, тысячелистник и эвкалипт примерно в равных пропорциях. Травы положить в отдельную емкость, залить кипятком, накрыть крышкой и дать настояться сутки. Охлажденной жидкостью пропитать марлю и делать компрессы три раза в сутки.
  • Чтобы избежать появления высыпаний на половом члене, мужчине необходимо придерживаться следующих рекомендаций:

  • 1. Предохраняться, не вести беспорядочную половую жизнь. Даже презервативы не всегда уберегают молодого человек от заражения венерическим заболеванием. Поэтому рекомендуется минимизировать риски, контролируя свою интимную жизнь.
  • 2. Ухаживать за своим телом, носить качественное белье, пользоваться проверенной косметикой. Пренебрежение этими советами способно спровоцировать грибковую инфекцию либо аллергическую реакцию, а также другие болезни.
  • 3. Нужно регулярно проходить медицинские обследования. Некоторые заболевания проявляются уже в запущенной стадии, поэтому важно хотя бы изредка обследоваться в медицинских учреждениях. Также следует придерживаться предписаний лечащего врача относительно назначаемых им лекарственных средств.
  • Почему вокруг головки полового члена появляются пузырьки? – Лечение в домашних условиях

    Волдыри на половом члене: причины появления, возможные последствия

    Пупырышки вокруг головки — это симптом, который заставит начать беспокоиться любого мужчину, неравнодушного к состоянию своего здоровья. Как правило, прыщики вокруг головки является симптом заболевания или сигналом о проблемах с организмом.

    Они могут появляться на фоне гормональных изменений в организме, из-за обострения хронических или системных заболеваний, при наличии воспалительного процесса, который поражает мочеполовую систему.

    Если пузырьки появились вокруг головки члена, не проходят в течение 10-15 дней, необходимо обязательно обратиться к врачу.

    Он осмотрит эти образования, установит причину их появления, расскажет, как лечить и что делать для того, чтобы убрать прыщики с пениса.

    Пузырьки на члене как вариант нормы

    Пузырьки и прыщики в области головки не всегда является симптомом заболевания. Чаще всего мужчины, увидев вокруг головки своего члена прыщи, начинают беспокоиться и собираются к врачу. Однако важно уметь дифференцировать опасные высыпания от «перламутрового кольца».

    Перламутровые высыпания выглядят как светлые, безболезненные узелки вокруг головки полового члена. Эти образования, как правило, безвредны и свидетельствуют лишь о увеличение размеров сальных желез. Аналогичные пузырьки часто появляются и на самом члене, а не только вокруг головки.

    Беспокоиться из-за таких образований не нужно. Они представляют собой скопление секрета или же непосредственно увеличенные сальные железы. Эти пузырьки могут располагаться вокруг головки на члене и в области мошонки.

    Однако если перламутровые папулы начинают меняться и доставлять дискомфорт, их нужно обязательно показать врачу.

    Основные причины появления пузырьков

    Причин на половых органах могут появляться пузырьки, довольно много. Среди основных можно выделить:

    • заболевания, передающиеся половым путем;
    • болезни грибкового и инфекционного характера;
    • различные воспалительные процессы в организме;
    • воспаление неспецифического характера (дерматиты, баланопостит и др.);
    • раковые заболевания;
    • заболевания, поражающие иммунную систему организма.

    Однако показаться врачу крайне рекомендуется. Своевременно обнаруженные болезни гораздо проще поддаются лечению.

    Когда стоит начинать беспокоиться?

    Многие мужчины беспокоятся о состоянии своего здоровья не меньше, чем женщины, но стараются реже заводить об этом разговора.

    Именно из-за чрезмерной застенчивости, подозрительности, а иногда и равнодушия мужчины часто запускают болезни.

    Поэтому нужно обязательно знать, когда появление пузырьков требует безотлагательного посещения больницы. Записаться на ближайший прием к врачу необходимо в случаях, если:

    • сыпь вызывает дополнительные симптомы в виде боли, жжения, зуда и др .;
    • сыпь не сопровождается дополнительными симптомами, но не меняется более 2 недель;
    • на головке появился отек, она постоянно чешется;
    • параллельно с пупырышками повысилась температура тела и / или увеличились лимфоузлы в области паха;
    • сначала появились пузырьки, а потом на их местах появились язвы;
    • пузырьки заполнены любой жидкостью.

    Для каких заболеваний характерно появление пузырьков?

    Разнообразные пузырьки, прыщики и подобные образования являются симптомами множества различных заболеваний. Сегодня наиболее распространенной из таких болезней является мужская молочница. Сначала головка члена покрывается серым налетом без сопутствующих симптомов. Налет немного напоминает остатки семенной жидкости и легко смывается водой.

    Через какое-то время появляется ощущение, что головка покрылась творожной массой, и начинают образовываться пузырьки. Этот процесс может сопровождаться зудом и другими дискомфортными ощущениями. Требует немедленного обращения к врачу, потому что симптомы молочницы проходят довольно быстро, но она может дать множество осложнений.

    Лечение назначает врач. Как правило, применяются антибиотики, противогрибковые препараты, средства для повышения иммунитета, препараты для локального воздействия на патогенную флору. Врач может порекомендовать дополнительно обрабатывать головку пениса отварами лекарственных трав, тогда пузырьки пройдут быстрее.

    Однако заниматься самолечением не нужно, потому что это может только ухудшить ситуацию.Пузырьки и подобные образования могут появиться на головке из-за еще одной грибковой инфекции, известной под названием трихофития. От других инфекций она отличается размерами высыпаний и местами их расположения.

    Сначала область мошонки покрывается красными высыпаниями. Постепенно пузырьки переходят на половой член, а потом и всю область паха. Также данное заболевание известно под названием стригущий лишай. Передается при половом и нестатевим контактах, через различные бытовые вещи.

    Для лечения используются местные противогрибковые препараты и лекарства для улучшения иммунитета, потому что болезнь чаще всего проявляется именно при снижении естественных защитных функций организма.

    Пузыри и прыщи — это один из симптомов генитального герпеса. При наличии такого заболевания появляются прыщики с кровяной или серозной жидкостью внутри. Для лечения используются препараты наружного действия для снижения воспаления и противовирусные средства внутреннего применения. На местах выявило высыпаний часто появляются болезненные язвы и трещины.

    Пузырьки появляются при наличии папілловірусной инфекции. Они поражают не только головку пениса, но и сам ствол, мошонку и даже паховую область. Болезнь нужно начинать лечить как можно раньше, потому что небольшие и неприметные прыщики со временем вырастают до огромных бородавки. Внешне они чем-то похожи на цветную капусту.

    Подобное «украшение» вряд ли понравится мужчине и уж тем более его половой партнерши. Для остановки развития остроконечных кондилом могут использоваться специальные современные препараты, однако в подавляющем большинстве случаев они удаляются с помощью жидкого азота или с помощью хирургического вмешательства.

    Важно знать, что полностью избавиться от папилломавируса, герпеса и кандидоза невозможно. Однако это вовсе не означает, что их не нужно лечить. При использовании соответствующих препаратов болезнь уходит в ремиссию, но не покидает организм.

    Под воздействием определенных факторов, таких как снижение иммунитета, переохлаждение, использование определенных лекарственных препаратов, стрессы и тому подобное., Болезни опять активизируются.

    Пузырьки и другие высыпания появляются при сифилисе. Сыпь, как правило, имеет розовый цвет.

    В течение 2,5-3 месяцев после заражения появляется шанкр, похож на плотную пупырышку красного цвета. Болезнь требует грамотного лечения, потому что при отсутствии такового появляются очень серьезные осложнения.

    Если не заниматься лечением сифилиса, он приведет к воспалению практически всех систем организма. Начнет разрушаться центральная нервная система и костная ткань. Для лечения сифилиса необходимо обратиться к врачу-венерологу. Самолечение в случае с таким заболеванием категорически запрещено и очень опасно.

    Пузырьки могут быть побочной симптоматикой раковых заболеваний или свидетельствовать о нарушении функции эндокринной системы. Лечение таких пупиришків проводится одновременно с причинами, которые привели к их появлению. При наличии ярко выраженных побочных действий в виде жжения, зуда и др.

    Врач может назначить местные противовоспалительные средства.

    Поражение паразитами и аллергические реакции

    Пузырьки на члене в целом и головке в частности могут появиться после укусов лобковых вшей. Эти насекомые живут в волосяной области половых органов.

    Их можно подхватить при половом контакте с носителем, через постельное белье, полотенца и другие предметы общего пользования.

    Для выведения вшей нужно будет избавиться от всего волосяного покрова и обработать область паха с помощью специальных средств. Конкретное средство порекомендует врач.

    Раньше многие пользовались бабушкиным рецептом, согласно которому для вывода лобковые вши нужно было использовать керосин. Однако важно понимать, что кожа и слизистые половых органов под воздействием такого агрессивного вещества могут очень сильно травмироваться.

    И тогда к пупырышками добавятся еще и ожоги, которые в случае с половыми органами очень сложно поддаются лечению.
    Пузырьки могут появиться при контакте с различного рода аллергенами.

    Также они появляются при использовании агрессивных средств личной гигиены, из-за несоблюдения правил интимной гигиены, при ношении нижнего белья из синтетических материалов.

    Чтобы удалить пузырьки, в таких ситуациях нужно устранить контакт с аллергеном, заменить нижнее белье и регулярно мыть половые органы с использованием специальных щадящих средств для интимной гигиены.

    Волдыри на члене, на головке полового органа, на яйцах, мошонке, лобковой части у мужчин: причины появления и способы лечения

    Волдыри на половом члене: причины появления, возможные последствия

    Что делать при появлении волдырей в паху?

    С волдырями на половом члене мужчины сталкиваются достаточно часто. Это может быть проявлением обыкновенного раздражения или более серьезных заболеваний.

    При появлении данного патологического состояния представителю сильного пола рекомендуется обратиться за помощью к доктору. Только специалист сможет установить причину патологии и направить лечение на ее устранение.

    Причины появления волдырей

    В паховой области мужчин достаточно часто развиваются бактерии. Именно поэтому появление волдырей на члене может наблюдаться на фоне пузырчатки или краснухи. Также причиной патологии могут стать заболевания, которые передаются половым путем.

    В некоторых случаях появление волдырей диагностируется в результате неправильного обращения с бритвой. Патологическое состояние может возникать на фоне:

    • Себорейного дерматита. Данное заболевание характеризуется хронической формой протекания и наиболее часто проявляется в зимний период. При возникновении данного заболевания у мужчин появляются волдыри. Также болезнь сопровождается дискомфортом, зудом и болезненностью.
    • Кандидоза. Возникает заболевание на фоне воздействия грибов рода Кандида. Местом появления волдырей в данном случае являются паховые складки. Появление болезни может наблюдаться на фоне увеличения уровня сахара в крови, а также приема антибактериальных и гормональных препаратов.
    • Паховой эпидермофитии. Это инфекционный процесс, который появляется при повышении уровня влажности и температуры. Наиболее часто волдыри при данном заболевании появляются в местах повышенного потоотделения. Они характеризуются небольшими размерами, круглой формой и наличием корки наверху. При несвоевременном лечении патологии количество и размер волдырей увеличиваются.
    • Эритразмы. Проявляется в виде чешуеобразной сыпи. Причиной появления данного заболевания является нарушение щелочного баланса на коже, а также повышенная потливость. Сопровождается болезнь зудом и дискомфортом.
    • Пузырчатки. Заболевание проявляется в виде мелкой сыпи. В период протекания патологии наблюдается самоспроизвольное лопанье пузырьков. На их месте образовываются эрозии. Тяжелое течение заболевания сопровождается обезвоживанием и повышением температуры тела.
    • Импетиго. Является стрептококковой или стафилококковой инфекцией.
    • Псориаза. В период прогрессирования заболевания наблюдается появление серо-желтых бляшек, которые развиваются в области паха. Также заболевание характеризуется наличием волдырей и чешуек. Болезнь сопровождается постоянным зудом.
    • ПВЧ. В период обострения данного заболевания наблюдается появление волдырей не только на члене, но и на коже вокруг него. Образования характеризуются отсутствием наполнения.
    • Сифилиса. В период протекания заболевания наблюдается появление волдырей не только на пенисе, но и в области ладоней и ступней. При появлении патологии пациенты жалуются на общее недомогание. Также у них может повышаться температура тела.

    Причин появления волдырей в области полового члена очень много. Именно поэтому представителю сильного пола необходимо внимательно относится к своему здоровью.

    Предоставление первой помощи

    При появлении волдырей в области полового члена представителю сильного пола необходимо предоставить первую помощь для устранения симптоматики. В данном случае категорически запрещается, чтобы пузырьки лопались.

    Врач отвечает на вопросы про высыпания в паху, смотрите в этом видео:

    Также можно использовать лекарства, которые имеют обеззараживающий эффект. Достаточно эффективным в данном случае является Хлоргексидин. После предоставление первой помощи пациенту необходимо обратиться к доктору, который сможет назначить адекватное лечение.

    Выбор определенного метода лечения волдырей на пенисе напрямую зависит от причины их появления. Самостоятельно проводить терапию патологического состояния можно только в том случае, если волдыри возникли из-за воздействия определенных неприятных факторов:

    • Для обработки области паха рекомендуется использовать Хлоргексидин. Проводится она два раза в день после гигиенических процедур.
    • Если причиной высыпаний стало раздражение, то для их устранения используются противовоспалительные гели и крема, которыми проводится обработка кожи.
    • Лечение патологического состояния проводится с применением ранозаживляющих мазей, в состав которых входит антибиотик. Достаточно эффективными в данном случае являются препараты, основным компонентом которых является левомицетин или тетрациклин.
    • Если причиной появления волдырей является аллерген, то представителю сильного пола необходимо устранить контакт с ним.
    • Для лечения патологического состояния достаточно часто применяются антигистаминные препараты.
    • Для обработки волдырей рекомендуется использовать противомикробные лекарства, а также антибиотики.
    • Если волдырьки начинают лопаться, то для их обработки применяется цинковая мазь. Мирамистин или йод.
    • Если патология возникла на фоне грибковых заболеваний, то для ее устранения используются антимикотические средства. Достаточно эффективными в данном случае являются таблетки Нистатин или Декамин.

    Если причина волдырей на половом члене является более серьезной, то лечение проводится в стационарных условиях.

    Применение средств народной медицины

    В борьбе с волдырями на половом члене достаточно эффективными являются средства народной медицины. Наиболее часто в данном случае осуществляется применение:

    • Черной редьки и чеснока.
    • Травяной настойки. Готовится лекарство на основе таких растений, как зверобой, брусника, тысячелистник, эвкалипт. Прием настойки должен проводится три раза в день.
    • Листьев березы. Они используются для приготовления отвара, который настаивается сутки. По истечению этого времени в нем необходимо смочить кусочек марли и положить к волдырям. Процедура проводится трижды в сутки.

    Несмотря на безопасность средств народной медицины перед их применением рекомендуется посоветоваться с доктором.

    Лечение в соответствии с местом локализации

    Выбор метода терапии патологии напрямую зависит от места ее локализации:

    • Лобок. Появление прыщей на лобке у представителей сильного пола в большинстве случаев наблюдается из-за неправильной техники бритья. Для устранения образований необходимо обрабатывать лобковую часть зеленкой или йодом. Если высыпания возникли на фоне грибка, то лечение необходимо проводить противогрибковыми препаратами.
    • Головка. При появлении волдырей на головке категорически запрещается заниматься самолечением. Это объясняется тем, что таким образом проявляется сифилис, ВПЧ, герпес, которые необходимо лечить под наблюдением доктора. Если на пенисе имеются новообразования розового цвета, то они являются абсолютно нормальными и не требуют проведения лечения.
    • Мошонка и яичка. В большинстве случаев волдыри в этом месте возникают на фоне грибковых инфекций или ЗППП. Назначение медикаментов в данном случае должно проводиться только специалистом.
    • Крайняя плоть. Появление волдырей в этом месте в большинстве случаев диагностируется на фоне аллергической реакции. Для терапии заболевания необходимо в обязательном порядке устранить раздражитель, а также использовать антигистаминные препараты. Возникновение высыпаний в данной области может наблюдаться на фоне баланопосита. В данном случае пузырьки характеризуются белой окраской.

    Независимо от места локализации высыпаний перед их лечением представителю сильного пола рекомендуется посоветоваться с доктором.

    Что запрещено предпринимать

    При появлении пузырей в области полового члена категорически запрещается предпринимать определенные меры:

    • Даже если у пациента наблюдается сильный зуд, то пузыри категорически запрещается чесать, тем более, вскрывать.
    • Заниматься самолечением мужчина может только в том случае, если будет уверен, что оно возникло по причине негативного влияния внешних факторов.
    • Категорически запрещается интимная близость до полного исчезновения волдырей.

    Также в медицинский центр рекомендуется обращаться в том случае, если используемые средства не дают необходимого терапевтического эффекта.

    Профилактика

    Для того чтобы устранить возможность появления волдырей на пенисе, необходимо устранить провоцирующие факторы. Во избежание появления заболеваний, которые передаются половым путем, необходимо в период сексуальных контактов использовать методы контрацепции.

    После устранения волдырей из паховой области мужчина должен строго придерживаться правил профилактики во избежание появления рецидивов. При этом рекомендуется обеспечение правильного питания и ведение правильного образа жизни, что позволит устранить возможность развития разнообразных заболеваний.

    Именно поэтому перед проведением терапии рекомендуется установить причину их возникновения. Лечение волдырей может проводиться традиционными препаратами или средствами народной медицины.

    Пузырьки на члене у мужчин: причины, лечение

    Волдыри на половом члене: причины появления, возможные последствия

    Кожа на половом члене, а особенно на головке, очень чувствительная и нежная. При этом она часто находится не в самых благоприятных условиях, подвергается трению, сдавливанию, потению, страдает от нехватки воздуха и т.д.

    К тому же подвергается риску инфицирования при половых контактах, аллергическим реакциям, проявлениям системных заболеваний.

    В связи с этим, многочисленные негативные реакции кожи, в том числе пузырьки на члене – не редкость для этой области.

    В некоторых случаях данное явление не несёт угрозы для здоровья мужчины, являясь местной реакцией временного характера. В других же свидетельствует о развитии какого-либо заболевания. К числу возможных причин образования следует отнести:

  • половой герпес (пузырьки на члене с жидкостью и сильный зуд);
  • кандидоз (красные пятна на головке, высыпания, белый налет на пенисе);
  • воспаление сальных желёз;
  • аллергия (мелкие высыпания на коже члена, отечность, зуд);
  • кожные заболевания (лобковые вши);
  • различные инфекции (сифилис, гонорея и др.).
  • Если симптом локализуется только в области полового члена, при этом кожа в остальных частях тела остаётся неизменной, причину следует искать в факторах направленного действия. Иными словами, аллерген, возбудитель инфекции или любое иное негативное влияние воздействовали именно на интимную область.

    Генитальный герпес

    Когда речь заходит о пузырьках на коже, то наиболее вероятной причиной является именно герпес.

    Это заболевание вирусной природы, которое передаётся при контакте с кожей инфицированного человека, реже с его предметами личной гигиены.

    Характерный признак генитального герпеса в данном случае – водянистые пузырьки на члене. На вид они напоминают полупрозрачные бугорки, заполненные жидкостью. При этом возникают следующие симптомы:

    • сильный зуд в области высыпаний;
    • умеренные болевые ощущения при касании;
    • дискомфорт и боли при мочеиспускании и половом акте;
    • иногда общая слабость.

    Через несколько дней пузырьки созревают и прорываются. Жидкость выходит наружу, к этому времени зуд уменьшается. На месте высыпаний образуется твёрдая корочка красного цвета. Спустя ещё несколько дней корочка отходит, под ней остаётся слой здоровой кожи без каких-либо следов.

    Следует отметить, что в период образования, созревания и прорыва пузырьков, возбудитель болезни активно распространяется. Риску подвергаются как половые партнёрши мужчины, так и здоровые участки кожи, соприкасающиеся с поражённой областью и жидкостью, выделяемой пузырьками. Поэтому при расчёсывании образований, мужчина может спровоцировать возникновение новых очагов инфекции.

    Вирус герпеса невозможно вывести из организма, поэтому лечение заключается в воздействии на симптомы болезни и подавлении вирусной активности.

    Необходимо понимать, что после того как пузыри на члене исчезнут, вирус в организме останется, соответственно, он сможет активизироваться при благоприятных для него условиях.

    К таким условиям относятся простудные заболевания, переохлаждение, снижение иммунитета. Впоследствии пузырьки могут образовываться на любом участке кожи и слизистых оболочек.

    Такое явление, как пузырьки в области половых органов, могут образовываться и по иным, не связанным с болезнями причинам. Если речь идёт о местной аллергической реакции, то её признаки обычно проходят через пару дней, при условии устранения негативного воздействия.

    В течение периода восстановления кожи рекомендуется воздержаться от половых контактов. Также в процессе гигиенических процедур желательно использовать гипоаллергенные средства по уходу, либо детское мыло.

    Если через 2 – 3 дня пузыри не исчезнут, вероятнее всего они появились по другой причине.

    Пузырьки на члене у мужчин могут оказаться закупоренными сальными железами, заполненными скопившемся секретом. Это явление довольно распространено и, к счастью, неопасно. На поверхности кожи члена такие железы выглядят как белые пузырьки, иногда совсем мелкие, в других случаях довольно большие. Всё зависит от объёма капсулы и количества скопившегося в ней кожного сала.

    Если на такие образования надавить, их содержимое в виде вязкой массы с неприятным запахом выйдет наружу. Однако проблему это не решит, поскольку условия их формирования таким способом не устранятся. Бороться с таким явлением можно путём дополнительных мер по уходу за интимной областью, тщательной, регулярной гигиеной, использованием средств с антисептическим действием.

    Однако следует знать, что такие пузырьки не представляют опасности для здоровья мужчины, не передаются при любом виде контактов, в том числе при половом.

    Самостоятельные, особенно радикальные попытки удалить их, например, путём прокалывания, напротив, могут привести к занесению инфекции и возникновению действительно опасных проблем.

    При желании их, как и многие другие дефекты кожи, можно удалить с помощью профессиональных косметических процедур.

    Водянистый пузырь на члене — как лечить?

    Волдыри на половом члене: причины появления, возможные последствия

    Изменение кожных покровов на половых органах и нарушение сексуальной функции – проблемы, с которыми большинство мужчин немедленно стараются обращаться за медицинской помощью. Появление волдырей на половом члене обуславливается множеством внешних и внутренних причин.

    Если вы заметили у себя дефекты эпидермиса на пенисе, то это не всегда повод паниковать и диагностировать у себя опасное инфекционное заболевание.

    Чтобы точно определить этиологический фактор и понять, каким образом его можно устранить, необходимо пройти обследование у дерматовенеролога.

    Причины появления волдырей на пенисе

    Существуют легко устранимые факторы возникновения волдырей на половом члене. Эти факторы воздействуют на мужскую половую систему снаружи, поэтому чтобы бороться с ними, достаточно немного поменять свои привычки. К ним относят следующее:

  • Травматизация интимных зон: нежная кожа полового члена чаще всего травмируется вследствие воздействия на нее неправильно подобранного нижнего белья. Не выбирайте тесные модели, которые будут сдавливать пенис и ограничивать оптимальную вентиляцию паховой области. Привыкайте покупать качественное белье из натуральных материалов, обязательно уделяйте внимание технике пошива и качеству швов. Именно из-за трения грубого шва о кожу на коже члена появляются волдыри;
  • Гиперчувствительность к некоторым химическим веществам: аллергические реакции часто проявляются в виде изменений кожных покровов, которые сопровождаются неприятным ощущением зуда и жжения. В большинстве случаев аллергия появляется на некачественные лубриканты или презервативы с ароматизаторами. У мужчин с очень чувствительной кожей аллергические реакции также возникают на гигиенические средства (мыло, гели для душа). В таких случаях для интимной гигиены лучше приобрести специальные гипоаллергенные средства в аптеке;
  • Повреждения эпидермиса во время секса: травматизация происходит вследствие недостаточного количества влагалищной смазки. Такая ситуация возникает из-за того, что партнерша не успевает достаточно возбудиться или во время длительных или повторных половых актов. У некоторых женщин репродуктивного возраста наблюдается синдром сухости влагалища. Это патологическое состояние возникает при недостаточном уровне женских половых гормонов, регулирующих секрецию смазки. Чтобы избежать появления пузырей на члене из-за интенсивного трения во время фрикций, нужно перед каждым половым актом пользовать специальными лубрикантами (желательно без красителей и ароматизаторов);
  • К другой группе факторов относятся патологические состояния, которые могут проявлять себя в виде поражений кожи половых органов. Если причиной появления волдырей является заболевание, то придется тщательно обследоваться и пройти необходимый курс лечения. Волдыри на половом члене возникают из-за таких патологий:

    • Инфекционные поражения головки пениса и крайней плоти: баланопостит возникает из-за внедрения в кожу патогенных микроорганизмов. Инфицирование в большинстве случаев происходит половым путем. Мужчины жалуются на болезненность в области головки члена, кожные покровы в пораженной области гиперемированы, отечны. Белые волдыри на члене свидетельствуют о развитии гнойных процессов в эпителии крайней плоти или головки. Если своевременно не обратиться к врачу, инфекционный процесс может осложниться такими опасными состояниями, как фимоз или парафимоз. Эти патологии требуют хирургического лечения, поэтому обратиться к доктору необходимо как можно раньше;
    • Вирусные инфекции: водянистые пузыри на члене считаются характерным признаком герпесвирусной инфекции. Вирусом простого герпеса заражено большинство людей. В период ослабления защитных сил организма (переохлаждения, длительно протекающие заболевания, психоэмоциональные стрессы) инфекция проявляется с характерной клинической симптоматикой. Генитальный герпес сопровождается ярко выраженным болевым синдромом, образовавшиеся пузырьки могут лопаться и изъявляться. Раневая поверхность может служить входными воротами для проникновения других патогенных агентов и присоединения вторичной инфекции. Заболевание имеет склонность к хроническому и длительному течению, поэтому обратиться к дерматовенерологу нужно сразу же после появления первых симптомов;
    • Дерматологические заболевания: для различных патологий кожи характерно типичное место поражения. Существует ряд заболеваний, при которых поражаются кожные покровы паховой области и наружных половых органов. Для постановки диагноза и дальнейшего лечения нужно обратиться к дерматовенерологу;

    Лечение волдырей на половом члене

    Курс терапии будет полностью зависеть от основного заболевания, которое сопровождается появлением волдырей. При воспалительном поражении кожи при баланопостите основным компонентом лечения будут антибактериальные препараты. Их должен назначить врач после тщательного обследования и выявления возбудителя инфекции.

    Если волдыри являются следствием инфицирования вирусом простого герпеса, то терапию проводят противовирусными препаратами. Назначаются местные противовирусные средства в виде мазей, кремов, они воздействуют на зону поражения локально.

    Также необходимо принимать противовирусные препараты перорально, для борьбы с вирусом по всему организму.

    Профилактика

    Чтобы избежать повреждений деликатной кожи пениса, а также уберечь себя от инфекций, необходимо следовать простым рекомендациям:

  • Постоянно соблюдать правила личной гигиены, использовать специальные гигиенические средства, чтобы избежать аллергических реакций;
  • Выбирать качественное нижнее белье, которое будет подходить для вашего телосложения;
  • Заниматься защищенным сексом с использованием презервативов;
  • Проходить регулярные профилактические осмотры;
  • При первых признаках болезни обращаться к врачу и не заниматься самолечением;
  • Волдыри на половом органе у мужчин: причины и лечение

    Волдыри на половом члене: причины появления, возможные последствия

    Заболевания половых органов – этот тот случай, от которого нельзя отмахнуться со словами «само пройдет!». Любое воспаление в подобном месте может распространиться на весь организм или перейти в хроническую форму. Волдыри на половом органе требуют срочного осмотра врачом и лечения, только тогда болезнь пройдет бесследно.

    Основные причины воспаления

    Волдыри на коже могут возникнуть по самым разным причинам.

    Внешний вид практически всегда одинаков: равномерно очерченный диск небольшого размера, стенка выпуклости состоит из тонкой кожицы, внутри находится прозрачная или желтовато-белая жидкость.

    На половом члене такие образования особенно болезненны, потому что кожа там тонкая и близко к поверхности расположено огромное количество нервных окончаний.

    Механическая травма

    Мужчина может случайно повредить пенис при занятиях спортом, слишком грубом половом акте или совсем случайно: не так повернулся, упал, стукнулся обо что-то, ущипнул.

    При этом кожа краснеет, тонкий слой ее отходит. В получившийся «мешочек» набирается лимфатическая жидкость, которую пациенты на приеме у врача часто называют водой.

    Форма волдыря в таком случае не обязательно круглая, это зависит от характера повреждения.

    Аллергия

    Иногда пузырьки появляются от неприятия организмом какого-либо вещества. Неправильное питание только одна из причин. Вызвать аллергию на теле может и внешний контакт с неподходящим материалом. Например, презерватив, синтетическая смазка при половом акте или одежда.

    Грибок

    На теле человека всегда обитают микроорганизмы. Это считается нормой. Чрезмерную активность же они проявляют, когда нарушается иммунитет. Размножаясь, грибок как раз вызывает появление язвочек, зуд, жжение.

    Баланопостит

    Это воспаление крайней плоти на члене, которое лечится только медикаментами. Главные признаки заболевания: зудящая боль, покраснение, трещинки, бугристость, появление пузырьков с белым содержимым. При отсутствии лечения болезнь может привести к воспалению лимфоузлов или гангрене члена.

    Герпес

    Это вирусное заболевание. Оно сопровождает человека всю его жизнь, то есть полностью вылечиться нельзя. Лекарства принимают для того, чтобы наступило состояние ремиссии, когда вирус никак себя не проявляет.

    Чаще всего генитальный герпес располагается на головке и крайней плоти члена. Кроме пузырьков, появляются еще общая слабость, повышенная температура, отеки и припухлость лимфатических узлов. Лопаясь, пузырьки превращаются в болезненные язвы.

    Венерические заболевания

    Обзавестись ими можно после незащищенного контакта. Уточнить, что именно получил человек, может только врач, потому что многие заболевания внешне проявляются одинаково.

    Возможно, придется еще сдать ряд анализов.

    Общие симптомы венерического заболевания: высыпания на члене или близлежащей области, жар, общая вялость, покраснение кожи на бедрах, увеличение лимфоузлов, выделения из уретры, проблемы с мочеиспусканием.

    Лечение мочеполовых органов

    В случае с механическими повреждениями никаких особенных процедур не требуется. Достаточно делать охлаждающие примочки (с мятой или эвкалиптом), беречь пораженное место и регулярно дезинфицировать его, чтобы не началось воспаление. Пузырек на члене сам исчезнет через пару недель.

    При аллергии врач сначала отправит сдать несколько анализов. Если подозрения подтвердятся, то достаточно просто исключить из своей жизни аллерген. Пересмотреть рацион, сменить марку презерватива и нижнего белья.

    Венерические болезни, в том числе и герпес, лечатся антибиотиками. Сексуальные контакты в это время строго запрещены. Обязательно нужно сообщить половому партнеру  о заражении, чтобы немедленно принять меры по обнаружению и ликвидации болезни.

    Волдыри на члене и в паху у мужчин: что это, лечение

    Волдыри на половом члене: причины появления, возможные последствия

    Такая крайне интимная тема, как волдыри в области паха, редко доходит до врачей, так как больному трудно преодолеть стеснение. Но все заболевания необходимо лечить, чтобы не довести заболевание до печальных последствий.

    В этой статье вы найдете основные причины неприятных высыпаний в области гениталий и определитесь к какому врачу вам стоит поскорее записаться.

    Обычный волдырь в паху может быть и обычным прыщом, и очень серьёзным заболеванием, главное во время разобраться, чтобы не лишиться половой функции (в самом худшем случае).

    Волдыри на половом члене бывают в виде небольших пузырьков, которые наполнены жидкостью или гноем.

    Чаще всего имеют белый, прозрачный цвет, но в отдельных случаях цвет может варьироваться от бурого до бледно-розового или красного. Сопровождаются зудом, жжением и опрелостью, отёчностью половых органов.

    А вот что делать если чешется? Чесать или терпеть? Ответ однозначен — ни в коем случае не рекомендуется чесать волдыри в интимной зоне, так как велика вероятность, что можно разнести инфекцию по всему телу.

    Или наоборот, занести вирус или инфекцию в пораженный участок кожи.

    Причины возникновения на половом органе

    Волдыри в интимной зоне чаще всего появляются в результате заболеваний передающихся половым путём, но это не единственная причина. Вполне вероятно, что это обычное инфекционное заболевание: ветрянка, краснуха или пузырчатка.

    Так же волдыри в паху у мужчин могут вызываться неправильным бритьем, в таком случае гнойный волдырь образуется на месте воспалённой волосяной луковицы. Мужской пах — это идеальное место для размножения грибковых заболеваний, особенно, если мужчина не соблюдает элементарную гигиену.

    Основные заболевания, которые могут вызвать такой неприятный «побочный эффект»:

    • Генитальный герпес: передаётся половым путём, выглядит как россыпь пузырьков с белыми головками, которые лопаясь, образуют болезненные язвочки;
    • Грибковые заболевания: грибки развиваются и размножаются при пониженном иммунитете и не соблюдении личной гигиены, распространяя болезнетворные бактерии;
    • Сифилис: очень опасное заболевание передающиеся половым путём, характеризуется волдырями на половом члене и очень тяжёлом течении болезни;
    • Контагиозный моллюск, вызываемый вирусом: образует белые волдыри, папулы, наполненные жиром и гноем;
    • Папилломавирус человека: остроконечные кондиломы, передаётся половым путём;
    • Ветрянка: если ветрянка началась образованием волдырей именно с паховой области, наблюдается повышение температуры и общая слабость;
    • Баланопостит: инфекционное заболевание поражающее головку полового члена и крайнюю плоть;
    • Пузырчатка: заболевание пониженного иммунитета, при нём образуются пузыри по всей поверхности тела, в том числе и в области гениталий, наполненные серозным содержимым.

    Первая помощь

    Не трогайте пораженные участки руками и не лопайте волдыри, чтобы не усугубить положение. Не зная происхождения заболевания, всё что вы можете сделать это попытаться снять зуд и жжение.

    Обязательно промойте поражённые участки обеззараживающими растворами (без содержания спирта), например, «Мирамистин», «Хлоргексидин».

    ВНИМАНИЕ! Высыпания в интимной области могут свидетельствовать об очень серьезных заболеваниях, не занимайтесь самолечением. Чем быстрее вы обратитесь к врачу, тем лучше. Но если нет возможности обратиться к врачу, продолжайте чтение статьи.

    В зависимости от происхождения волдырей подбирается основное лечение, которое может основываться как на антибиотиках, так и на рецептах народной медицины.

    Медикаментозная терапия

    Если выяснилось, что волдыри имеют отношение к ЗППП, то они лечатся такими препаратами:

      • генитальный герпес лечится противовирусными и иммуностимулирующими препаратами;
      • сифилис лечится комплексом антибиотиков;
      • папилломавирус человека лечится только хирургическим удалением волдырей и противовирусной терапией.
      • Грибковые заболевания, выраженные волдырями на гениталиях, например, кандидоз кожных складок, лечатся противогрибковыми таблетками: «Нистатин», «Декамин». Кандидоз насчитывает около 130 видов грибков, и каждый требует индивидуального лечения.

    СПРАВКА! Грибковые поражения кожи не лечатся антибиотиками, так как они только усугубляют состояние.

    • Контагиозный моллюск лечится удалением волдырей и обрабатыванием пораженного места йодом.

    Для заживления язвочек после того, как волдырь лопнет рекомендуется смазывать ранки цинковой мазью, йодом, мирамистином или хлоргексиином.

    Народная медицина

    Народная медицина может помочь только при лечении волдырей от грибковой инфекции:

    • Отвар из березовых листьев. Листья заливают кипятком и настаивают пару дней. Делать примочки к пораженным участкам;
    • Зверобой, тысячелистник, ягоды брусники, эвкалипт используются при лечении грибка. Залить их в равных долях кипятком и дать настояться. Пить настой три раза в день;
    • Хорошо помогут примочки из черной редьки и чеснока. Все ингредиенты размельчить и смешать, прикладывать к волдырям два раза в день: утром и вечером;
    • Такой микс как измельченная кора дуба и тысячелистник, заливается литром кипятка, остужается и наносится на волдыри примочками два раза в день.

    Появление и излечение исходя из локализации

    На головке

    Волдыри на головке полового члена может вызывать генитальный герпес. Лечение назначается только врачом.

    При таком серьёзном заболевании как сифилис, волдыри могут локализоваться на головке, лечение СТРОГО под контролем врача, преимущественно антибиотиками.

    Пузырчатка может поражаться головку члена. Лечение заключается в обрабатывании поражённой области антисептическими препаратами и повышении иммунитета;

    Маленькие кисты сальных желез могут быть абсолютно нормальным состоянием, не требующим лечения, они есть у каждого мужчины.

    На лобковой части

    • Волдыри на лобке могут появиться из-за не гигиенического бритья. В таком случае воспаляется волосяной фолликул и образуется гнойный волдырь, который не рекомендуется трогать.Лечение заключается в обрабатывании волдыря йодом или зелёнкой;
    • Распространение грибка по лобковой части лечится примочками народным рецептов в комплексе с назначенным лечением противогрибковыми таблетками;
    • При пузырчатке также может поражаться лобок.

    На крайней плоти

    Аллергия от используемых презервативов или смазки, лечение заключается в приостановке половой жизни до полного выздоровления, рекомендуется поменять марку контрацептивов;

    Баланопостит вызывает белые пузырики на крайней плоти, которые возникают из-за занесённой инфекции. Лечится такое заболевание укреплением иммунитета, обрабатыванием пораженной зоны антисептическими препаратами и соблюдением гигиены половых органов и рук.

    На яичках

    Волдырь на яйце у мужчин и на мошонке может появиться при грибковых заболеваниях и ЗППП.

    Чего делать не стоит?

    Рекомендации:

    • не стоит заниматься самолечением;
    • не трогайте и не чешите поражённые участки;
    • на время лечения прекратите половую жизнь;
    • сообщите о деликатной проблеме своему сексуальному партнёру.

    В каких случаях лучше обратиться к врачу?

    СПРАВКА! При появлении волдырей необходимо обратиться к дерматологу и венерологу, изначально получив направление у терапевта. Но это касается бесплатной медицины. Можно узнать результаты анализов в короткие сроки, обратившись в частную клинику. Не стоит экономить на своём здоровье.

    Обязательно стоит посетить врача при следующих симптомах:

    • сильный зуд, отекание половых органов;
    • волдыри не проходят больше двух недель и не изменяются в размерах;
    • повышение температуры;
    • когда волдыри лопаются, на их месте образуются язвы;
    • волдыри после незащищенного полового контакта.

    Профилактика и дальнейший уход

    Профилактикой для таких заболеваний может стать:

    • ведение «защищенной» половой жизни, только презерватив спасёт вас от ЗППП и других заболеваний;
    • соблюдение гигиены в области гениталий, ежедневный душ, свежее белье и чистые руки — предотвратят грибковые и инфекционные заболевания;
    • если вы ведете активную половую жизнь с разными партнёрами, сдавайте анализы в кожном венерическом диспансере раз в пол года, даже если вы предохраняетесь презервативом.

    Заключение

    Если вас беспокоят неприятные волдыри в области гениталий, незамедлительно обратитесь к врачу. Такой симптом могут давать самые различные заболевания, лучше не рисковать своим здоровьем.

    Не стоит стесняться врачей такой практики, это их работа и таких пациентов как вы они исследуют десятками за день. Важно соблюдать назначенное лечение и профилактику для исключения рецидива.

    Понравилась статья? Поделиться с друзьями:
    Все о сантехнике
    1 / 10
    2 / 10
    3 / 10
    4 / 10
    5 / 10
    6 / 10
    7 / 10
    8 / 10
    9 / 10
    10 / 10